“你明天带我去趟医院吧,最近背上的疙瘩越长越大了。”这天周女士一回家就听到父亲这样一句话,顿时吓得不轻,连忙上前询问。
原来多年前老周的背上就有个疙瘩,只不过不痛不痒就没怎么重视,但是最近疙瘩长得很快,他只好向女儿寻求帮助。周女士听完赶紧带父亲去医院,经过详细的检查医生建议老周做切除手术,好在手术顺利且术后恢复良好,两人这才松了一口气。
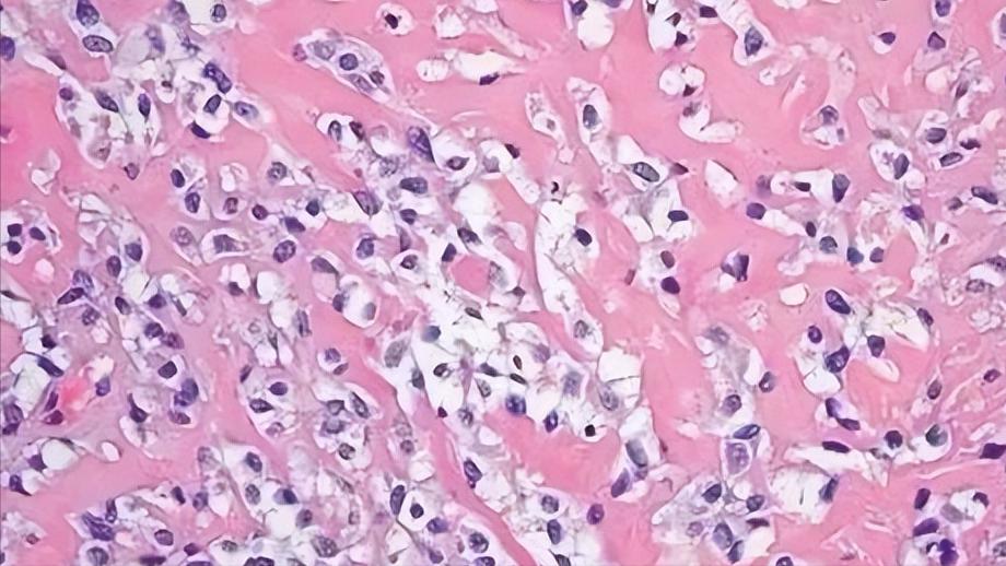
然而医生看过病理病例结果后怀疑是脂肪肉瘤,建议继续放疗和化疗,可老周今年已经70岁,自觉不能再接受治疗就出院回家了。

谁知3个月后,老周发现手术位置周围又长出一个小疙瘩,便和女儿再次前往医院。在经过心脏彩超、增强CT等检查后,老周被告知患有恶性软组织肉瘤。
两人都不知道这是一种什么疾病,连连询问医生,医生解释道:“这是一种罕见的恶性肿瘤,可能需要综合治疗。”
朋友们,你们对软组织肉瘤的了解有多少呢?其实它的发病率很低,属于罕见的肿瘤,正因如此才会被人忽视。今天恰逢头条健康联合广东省润希靖南抗骨癌基金共同发起的#被遗忘的癌症#旨在共创权威肉瘤健康科普,呼吁关注肉瘤患者健康。来和大家说说陌生又危险的软组织肉瘤。

一.软组织肉瘤只占恶性肿瘤的1%,危害却不容小觑
我们要说的肉瘤是一种少见的具有不同病理、临床特征的间叶来源的肉瘤,可分为骨肉瘤和软组织来源的肉瘤。软组织肉瘤来自于全身的间充质细胞,可能会发生在身体的任何部位,例如腹膜后、头颈部、躯干、四肢等。
像恶性纤维组织细胞瘤、滑膜肉瘤等都属于软组织肉瘤的常见类型。其中恶性纤维肿瘤多发于成年人,而滑膜肉瘤在青少年中比较常见。值得注意的是,软组织肉瘤的的发病率较低,仅占所有恶性肿瘤的1%,很多人会因此忽视这一疾病,殊不知它可能会给患者带来致命的伤害。
患上软组织肉瘤后,患者5年的生存率约为50%,晚期远处转移和局部复发是其重要的生物学特征,多数患者会因为肉瘤发生远处转移而死亡,所以它对身体的危害不容小觑,更不应被遗忘。

而且由于软组织肉瘤有众多亚型、生物学行为多样,所以诊断的难度比较大,公众甚至非专科的医生也难以认识,等到发现时往往病情已比较严重。
除病人不能接受手术、不可切除的病灶等情况外,治疗软组织肿瘤的重要方式还是手术,不过也会结合化疗、放疗等综合措施。在这里要提醒大家,如果发现身体有异常,不能像开头的老周那样不重视,而是要及时咨询医生,避免病情恶化。

二.查出软组织肉瘤建议及时就医,以综合治疗为主
随着医学技术的不断发展,对软组织肉瘤的生物行为认识也在不断提高,这就让以手术为主的综合治疗逐渐在临床中得到应用,且取得了一定的进展。那么你知道应用于临床的综合治疗都有哪些吗?
手术切除是软组织肉瘤的重要方法,例如囊内切除、根治手术、边缘切除等。
单一的手术治疗方式虽然不适应肉瘤的治疗,但对于软组织肉瘤来说,手术治疗仍是一种重要的方式,特别是对于低度恶性的肉瘤来说,像囊内切除、根治手术、边缘切除等都是常见的手术方式。

值得注意的是,软组织肉瘤治疗需要兼顾疗效和对身体的损伤,也就是说在取得同样的疗效又不损伤机体功能的基础上,进行适度的手术切除,还要辅助以其他的治疗。
术前放疗能提高肿瘤的切除率,增加局部肿瘤控制率。
如果患者的软组织肿瘤恶性程度较高,那么术前放疗或能起到提高肿瘤的切除率、增加局部肿瘤控制率的作用。但是若采用这种方式,可能会影响伤口的愈合,而且术后切口出现并发症的可能性也会增加。
所以对于术前放疗的患者来说,距手术3~6周的间歇期,可以减少放疗急性损伤、手术并发症的风险。

术后放疗可抑制残留的微小亚临床病灶,但对于团块状的巨大肿瘤难以奏效。
如果患者的软组织肉瘤组织学分级高,那么术后放疗通常是合理且需要的。不过术后放疗的效果有限,主要抑制残留的微小亚临床病灶,对于大结节形、团块状的巨大肿瘤,往往很难发挥效果。
对于小于5cm复发率较少的肿瘤来说,放射治疗并不是必须的,还需要听取医生的建议,根据具体的情况制定合适的治疗方案。

三.随着综合治疗的进步,精准外科理念也在逐渐更新
综合治疗的技术不断进步,精准外科理念也在随之更新。我们都知道手术是软组织肉瘤的主要根治手段,但是术后局部复发可能会影响软组织肉瘤的远处转移,所以,外科追求的是肿瘤切除为目标的外科切缘与保肢和重建之间的平衡、兼顾。
而综合治疗在软组织肉瘤治疗中的广泛应用,同样给手术切缘提出了新挑战,要知道合理的手术切缘能反映局部治疗成功与否,还是预测局部复发风险的关键因素。

根据2021年发布的《CSCO软组织肉瘤诊疗指南》整合了外科边界、综合治疗、肿瘤的生物学特征等,提出根据软组织肉瘤的不同生物学行为,进行外科分层治疗。若患者的软组织肉瘤处于安全外科边界下,且切除后不会对肢体重大功能造成影响,主要还是手术治疗。
若患者的软组织肉瘤对于传统的放疗化疗比较敏感或极度敏感,其治疗则以放疗化疗为主,手术治疗为辅助。即便如此,治疗软组织肉瘤仍以手术为重要方式,而对于已经接受手术治疗的患者来说,还要注意影响软组织肉瘤预后的因素。

四.注意!这些因素会影响软组织肉瘤的预后
局部复发是评价手术质量的主要指标,是临床上非常棘手的问题。
如果患者术后出现局部复发,那就意味着肿瘤的局部治疗失败,因为评价手术质量的主要指标就是局部复发。随着对肿瘤生物学行为认识的深入、治疗手段的进步,虽然能够把肿瘤的复发率控制在20%以内,但是不可否认的是,术后局部和复发仍旧是临床上棘手的问题。
因为影响复发的因素有很多,肿瘤的大小、分级、分型、病人的年龄等都可能会增加复发的风险。例如对于纤维肉瘤、恶性外周神经腱鞘膜患者来说,由于这类肿瘤亚型的边界不清,复发的风险也会比其他类型高,其中纤维肉瘤可能会达到2.5倍。

而且手术治疗是肉瘤治疗的主要方式,如果患者出现复发的情况,很可能需要再次进行手术。
肿瘤分期是影响生存的重要预后因素,不同分期存活率存在差异。
和其他疾病一样,肿瘤的分期同样会影响患者的预后情况,例如一期患者5年的存活率为90%,二期患者的存活率为70%,但是四期患者5年的存活率仅为10%。由此可见,早期诊断和及时治疗对软组织肉瘤患者的预后非常重要。

远处转移是患者最主要的死亡原因,或受肿瘤大小的影响。
要知道发生远处转移是软组织肉瘤患者死亡的主要原因,而肿瘤的分级、大小、手术切缘等都是影响肿瘤远处转移的重要因素。
就拿肿瘤的大小来说,根据一项报告显示,直径>5cm且<10cm的肉瘤发生转移的概率为34%,当肉瘤的直径≥15cm且<20cm,出现转移的概率为58%!这也会影响软组织肉瘤的预后。


参考文献:
[1]王亚农, 陈勇. 软组织肉瘤诊治热点和难点问题[J]. 中国实用外科杂志, 2013, 33(2):5.
[2]殷静综述, 杨锡贵审校. 软组织肉瘤综合治疗进展[J]. 实用癌症杂志, 2009, 24(3):3.
[3]石远凯, 郏博. 软组织肉瘤治疗进展[J]. 中国肿瘤临床, 2014, 41(24):5.
[4]周宇红, 牛晓辉. 软组织肉瘤的精准化诊疗[J]. 中国骨与关节杂志, 2022(005):011.