你好,我是繁育人东东。
做猫咪繁育的人似乎都喜欢研究猫咪的便便。
为啥呢?原因很简单,这并不是因为我们这波人有多么变态,而是因为通过猫咪的便便,我们可以掌握很多关于猫咪健康状况的讯息。
所以,自然我们就会更愿意关注主子们的屎尿了。
便秘,是我们需要引起重视的问题。
对于小猫来说,尤其是处于断奶期的宝宝,情况更是如此。
而且在断奶期间便秘的可能性会增加,因为此时小猫的消化系统还未完全发育成熟,从母乳过度到固体食物,的确是一个挑战。
▍正常的大便
一只成年猫咪,一天应该排 1 - 2 次大便。
小猫,每天排便的次数会更多。正常的大便应该微硬,深棕色。
▍便秘的症状
小猫便秘的话,还是有一些可以寻找的迹象的,这其中包括以下我列举的这些:
- 小猫没有排便的动作
- 使了老大劲儿才拉出来
- 排便的时候嗷嗷叫
- 像下图一样,你会看到在肛门口卡主的便便

- 肛门红肿或者有扩大的迹象
- 触摸肠道区域,能够摸到硬硬的肿块
- 可能有一点点腹泻
腹泻这个问题我要讲一下。这种由于便秘的腹泻,一般都是水样粪便。因为只有水样粪便才可以通过硬硬的阻塞物。
一定要会区分这种情况与真正的腹泻。这种由于便秘引起的腹泻,只会加重便秘这个问题,所以要更加引起重视。
▍诊断方法
如果怀疑小猫便秘的话,你可以通过触摸肠壁来确诊。
方法如下:
- 四指并拢,跟拇指呈 V 字形
- V 字驾到肚子上,尽量靠近尾巴,拇指在肚子一侧,另外四指在肚子一侧
- 轻轻按压,慢慢往前推
- 如果小猫便秘,你会摸到肿块
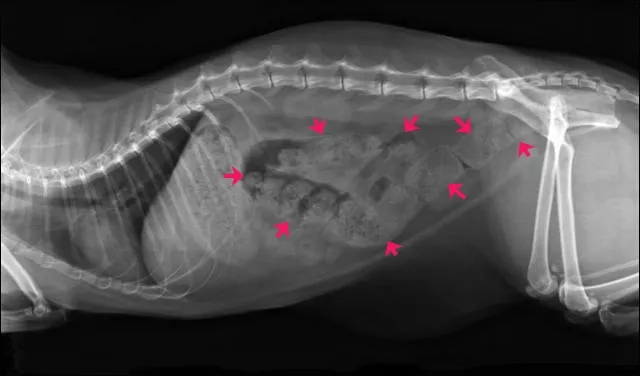
实在不会的话,可以让医生摸,医生也不会,或者不确定,还可以拍 X 光。
下图片子中,红色箭头部分,都是未排除的屎:

▍治疗方案
首要任务就是清空,未排除的屎。有几种选择:
- 口服泻药
- 灌肠
- 手术
手术极少采用,除非特别极端的情况。
▍口服泻药
如果猫咪的年龄足够大,是可以口服泻药的。
比如:口服液体石蜡油
一般猫的话 3 - 5 毫升之间。
▍灌肠
比口服泻药更好的方法就是给猫灌肠。
▍手术
如果以上两个方法都不好使的话。
就需要送到医院,进行全麻,在兽医的协助下清理干净粪便。
同时会将生理盐水灌入结肠,进一步通过触诊排空粪便。
如果以上操作失败,有时候可能会需要切除结肠。但这种情况非常罕见。
▍预防
猫咪康复之后,你可以采取以下措施,以预防再次便秘:
- 增加饮食含水量
- 额外补充乳果糖,买人喝的就可以
- 在饮食中添加益生菌
- 遵医嘱服用西沙必利,改善肠道收缩性
欢迎大家找我交流哦!我们一起学习