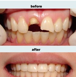
患者提问:我妈的牙齿被我儿子的头给撞了,牙齿断了一半,这种情况该怎么补好呢?(患者门牙折断)

医生:门牙折断一般是做烤瓷牙修复,给折断的门牙做一个烤瓷牙牙冠,将整颗牙齿修复、保护起来,既美观又结实。您可以先带您母亲做一个检查,因为门牙折断可能会导致牙神经暴露。
【门牙修复】
门牙是我们牙齿门面的担当,门牙缺失、缺损,都十分影响牙齿美观;门牙的功能和后牙不一样,门牙是负责将食物撕咬下来,再给后牙进行充分咀嚼,所以,门牙修复时,不仅要保证美观,更要保证满足其耐磨耐用、结实、稳固等实用性要求,烤瓷牙修复是常用于门牙的修复方式,满足美观和使用上的需求。

【门牙修复注意事项】
修复前,需要对缺损面积较大的门牙进行拍片、检查,因为门牙缺损面积较大,容易暴露出牙神经,或者损伤到牙神经,需要先处理牙神经出现的问题。
在烤瓷牙修复上,烤瓷牙分为全瓷牙和金属烤瓷牙,又再分为很多不同材质的,使用者可以根据自己的实际需要来选。
刚做完烤瓷牙修复,注意它一个逐渐适应的过程,不要一开始就用来咬硬物。

【口腔医院的选择】
门牙不同于其它牙齿,出现缺损同时影响美观和使用,而且影响会很大,好在大多数人都能及时考虑做修复。
深圳麦芽口腔专家提醒,任何一颗牙齿出现缺损,都会影响到牙齿的整体美观和使用功能,尤其是门牙,更要及时做修复。
牙齿是吃饭的重要工具,保证对食物充分咀嚼,供身体吸收,所以,对牙齿的负责和重视,也是对全身健康的重视。
文章来源深圳麦芽口腔www.maiyaoral.com,转载请注明来源!