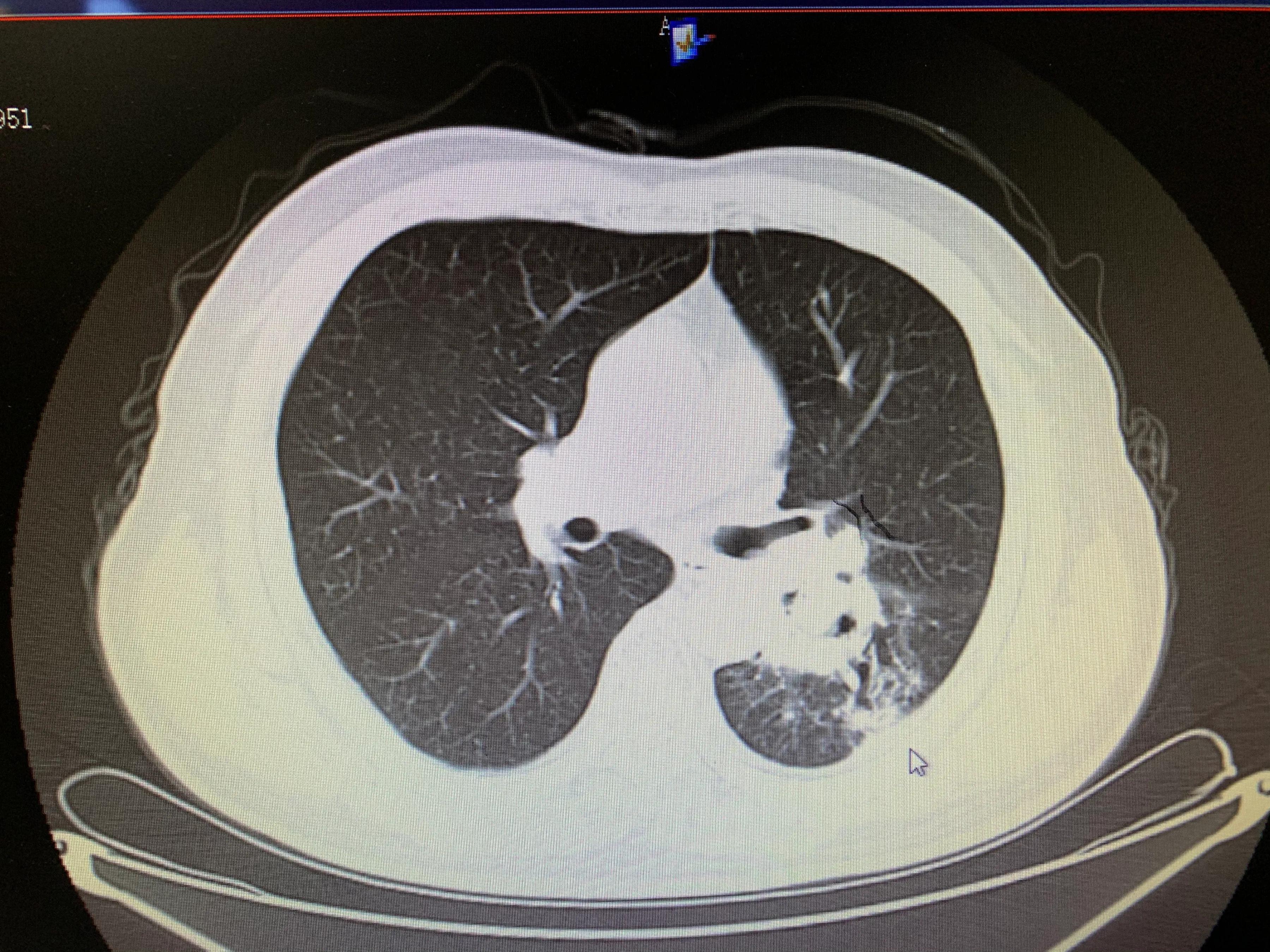
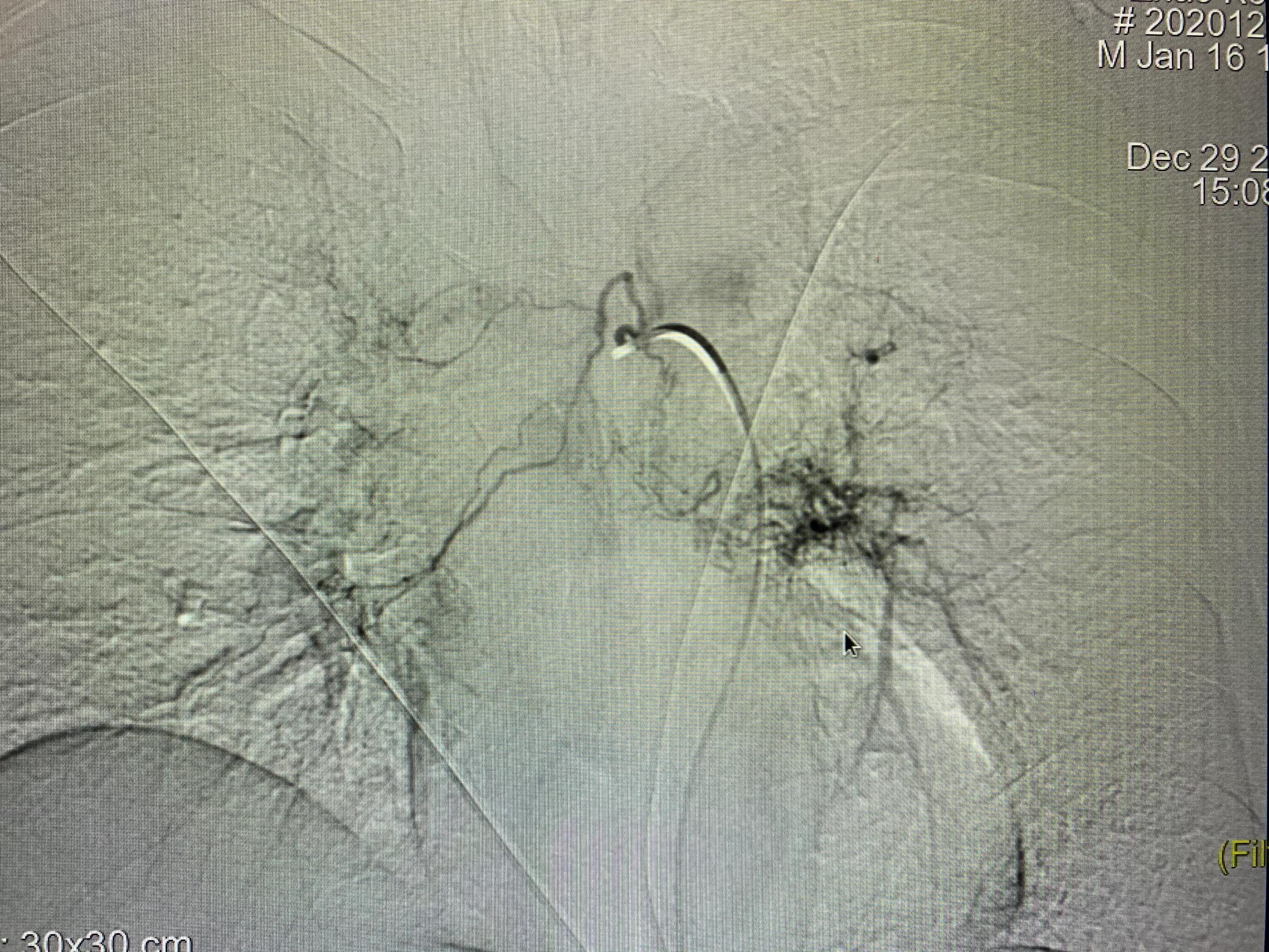
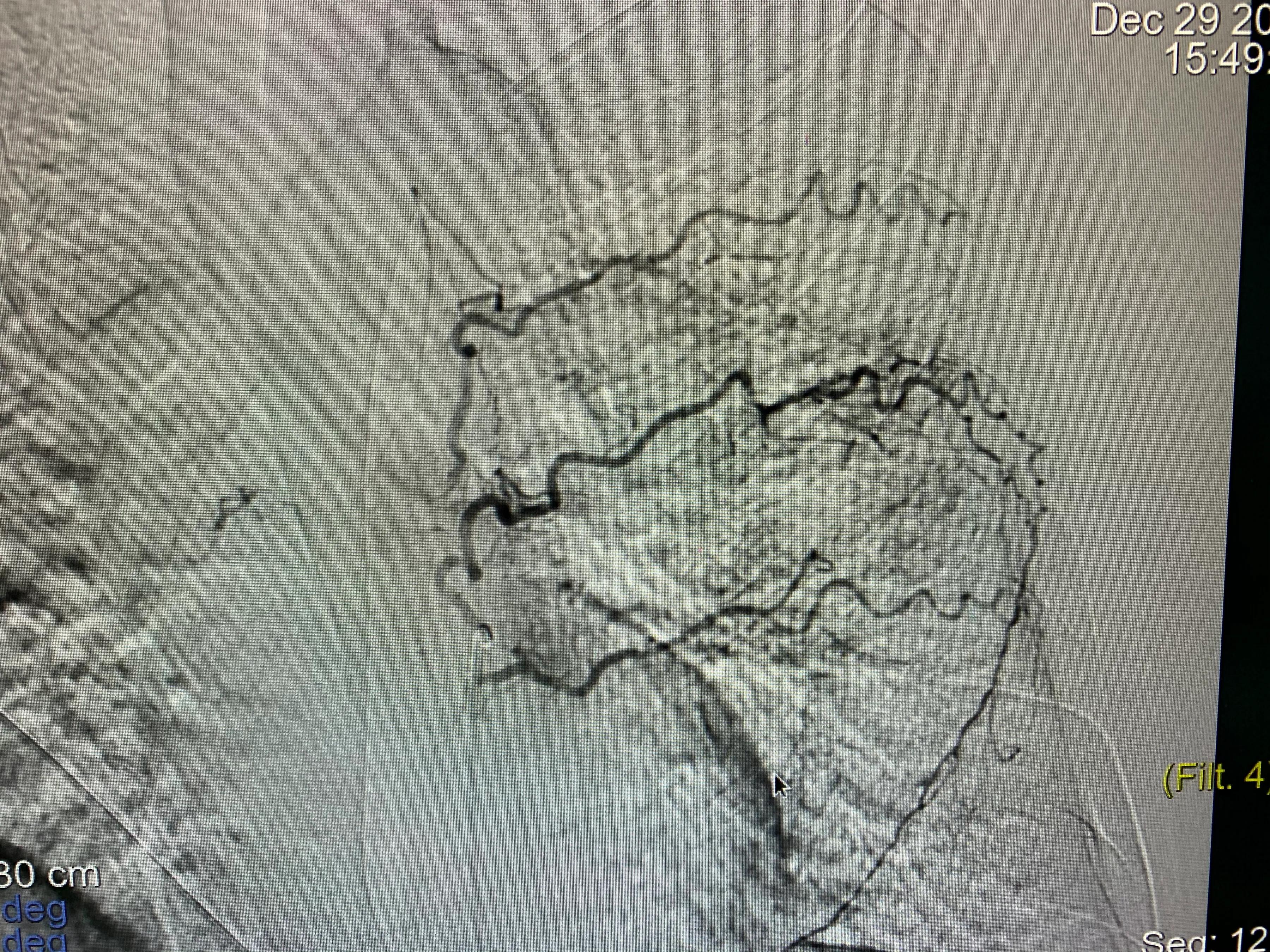
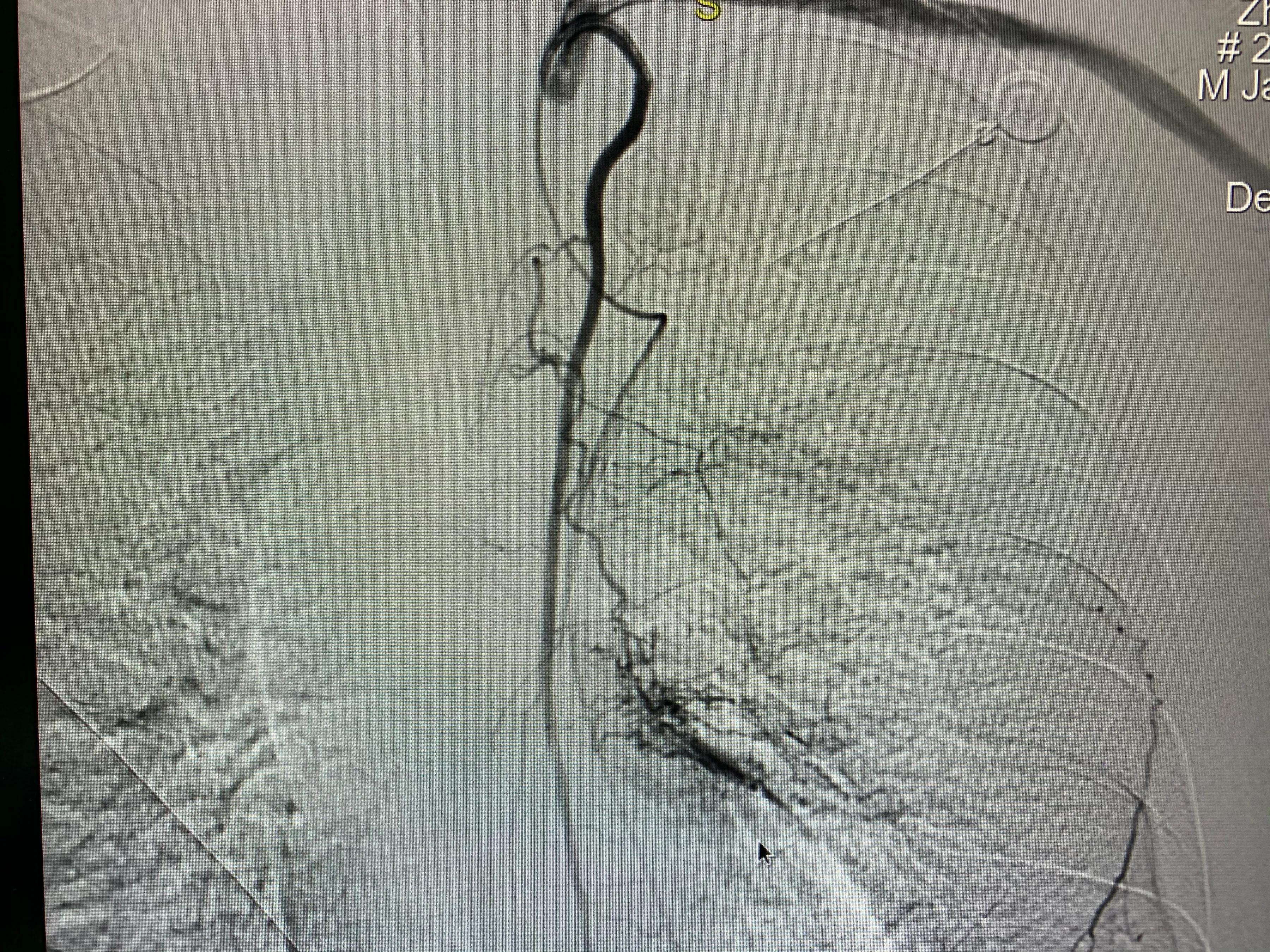
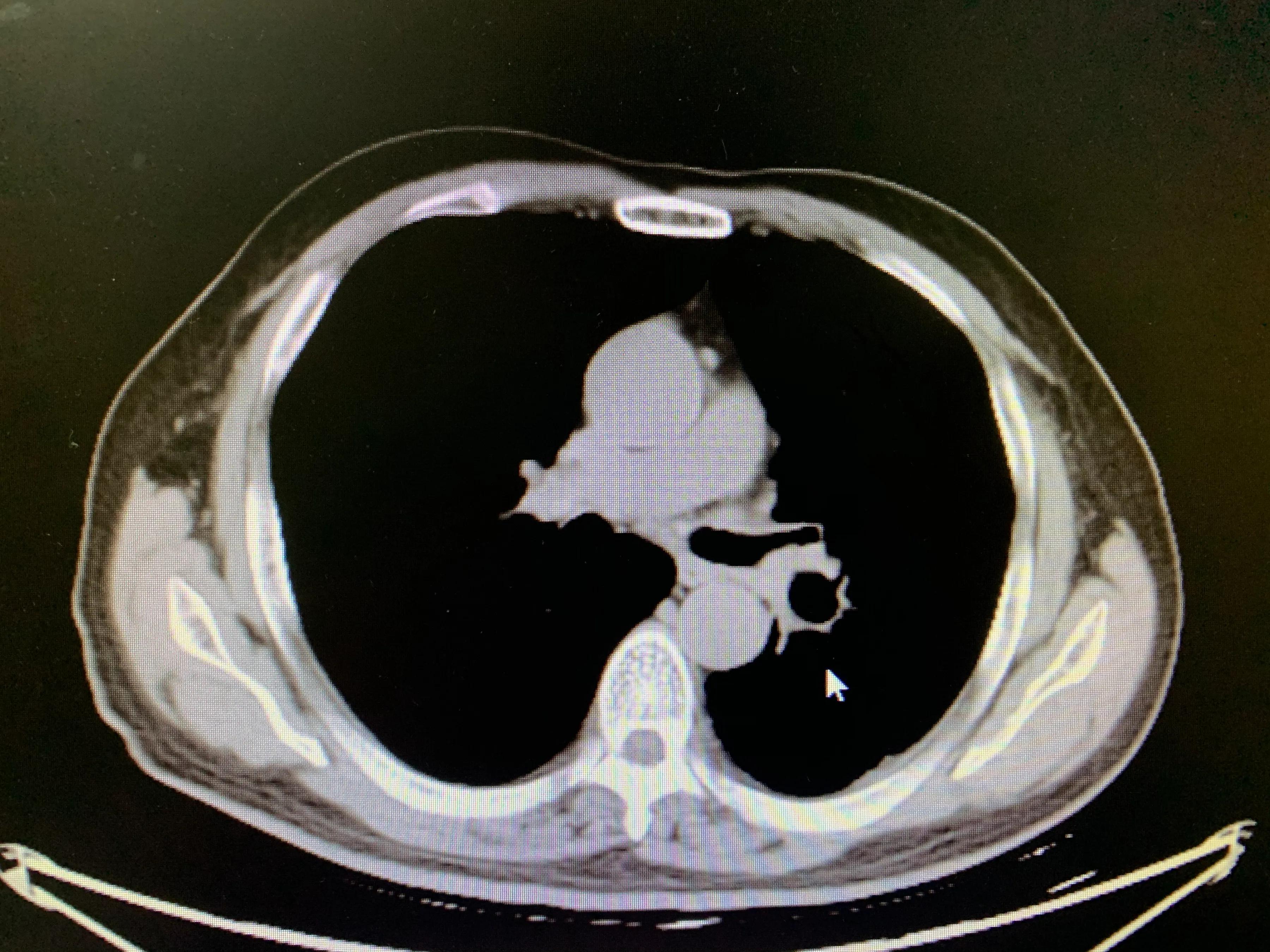
老年男性患者,左肺腺癌,化疗期间出现了咯血,术中可见左侧支气管动脉、左侧多支肋间动脉及左侧胸阔内动脉均参与肿瘤的血供,并可见以上动脉-肺动脉瘘,经肿瘤供血动脉灌注化疗药并且进行栓塞,术后未再出现咯血,一个月复查ct提示肿瘤较前明显减小,阻塞症状较前缓解。微创介入即经导管灌注化疗栓塞治疗肺肿瘤能够有效治疗肿瘤并且缓解肿瘤引起的一系列并发症,如咯血、阻塞性肺炎等,当然,肿瘤的治疗是综合治疗,需要多学科的共同参与。









老年男性患者,左肺腺癌,化疗期间出现了咯血,术中可见左侧支气管动脉、左侧多支肋间动脉及左侧胸阔内动脉均参与肿瘤的血供,并可见以上动脉-肺动脉瘘,经肿瘤供血动脉灌注化疗药并且进行栓塞,术后未再出现咯血,一个月复查ct提示肿瘤较前明显减小,阻塞症状较前缓解。微创介入即经导管灌注化疗栓塞治疗肺肿瘤能够有效治疗肿瘤并且缓解肿瘤引起的一系列并发症,如咯血、阻塞性肺炎等,当然,肿瘤的治疗是综合治疗,需要多学科的共同参与。








