“大夫,听说不拔牙也可以矫正,您看我这不拔行吗?”近日,一位30岁模样的李女士来到航空总医院口腔诊疗中心正畸科,向正畸专家苏牧大夫这样询问。细聊之下得知,李女士觉得自己的牙齿不齐并且有些前突,很久前早就想正畸治疗,但是因为害怕拔牙一直犹豫。当在某报刊看到题为“女大学生矫正被误拔4颗牙欲哭无泪”报道,她就希望通过不拔牙的正畸治疗来矫正自己的牙列不齐和前突。
原来文章是这样写的

苏牧大夫表示,矫正牙齿是不是需要拔牙,是要考虑患者面型及牙齿情况进行综合评估,经过影像数据分析、模型测量以及治疗方案方式来决定的,该拔的牙肯定跑不了,不该拔的牙也不能乱拔。
对于李女士的情况,苏牧大夫经过检查发现她上下牙列不齐,而且因为上颌前牙过于唇倾,就像两颗小兔牙伸在下唇外面,因此李女士不敢自然放松嘴唇,这种开唇露齿不仅影响面部美观,而且非轴向的咬合慢慢会引起前牙咬合创伤;而牙周损害可能导致继发性咬合创伤,上颌前牙前突加重形成恶性循环。如果不解决前牙覆合覆盖问题,可以想象若干年后上颌前牙可能会出现的问题。
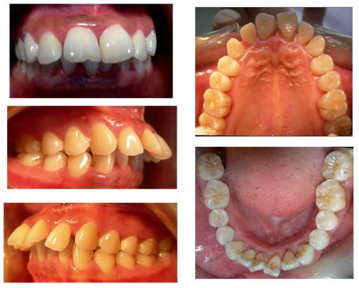
苏牧大夫向李女士介绍了与她情况类似的一位患者的治疗过程。该患者也是上下牙列不齐,同时上前牙唇倾,正面观嘴唇外翻、开唇露齿,侧面观亦不协调,上唇突出。虽然患者的上下牙列均拥挤不齐,但考虑到面型及上下前后牙的咬合关系,该患者拔除了上颌左右的第一前磨牙来进行矫治,通过内收上颌前牙,排齐上下牙列,建立正常的前牙覆合覆盖,消除了牙周创伤因素,牙列咬合关系与口周肌肉建立平衡,也极大改善了患者的容貌。




牙齿矫正不是简单的排齐牙齿
正畸治疗一个很重要的问题就是:拔牙还是不拔牙?
在制定矫治计划时很多患者对正畸拔牙矫治充满焦虑,有的认为拔牙矫治会导致年纪大后牙齿松动,有的以为拔牙后口腔功能下降,会有害于口腔健康。多方面考虑固然是好事,但是由于专业知识不对称,容易产生误区而耽误了及时有效的治疗。
苏牧表示,正畸技术发展至今,医生会综合考虑患者面型的凸度、牙列拥挤的程度、咬合关系及长期稳定性等等因素,以达到容貌美观与口颌系统健康的和谐统一,而不是简单地排齐牙齿。
六成人矫正牙齿需要拔牙
苏牧指出,牙列不齐又称“牙列拥挤”,在错合畸形患者中最为常见,60~70%的错合畸形患者中可见到拥挤的存在。由于面型凸度、牙列拥挤、咬合关系等原因,东方人中大约有60%左右的患者需要拔牙矫治。一般来说,通常会拔除对美观、功能影响最小并且有利于矫治的牙齿。
矫正牙齿是否拔牙需要经过缜密的诊断分析,像上面展示的病例中虽然患者上下牙列都存在拥挤不齐,但通过综合评估患者的正侧容貌、骨面型及上下牙列之间的咬合关系,从而选择在上颌拔除左右第一双尖牙,下颌不拔牙矫治的方案,不仅明显提升了患者的颜值,建立了稳定平衡的咬合功能,同时也有效降低了正畸治疗的时间和风险。

拔牙矫治后年纪大了牙齿不会松动,拔牙矫治不会降低口腔功能。
牙槽骨是人体中最容易改建的骨骼,具有高度可塑性。在矫正中,牙根在牙槽骨内缓慢的移动是生理性改建过程,因此正规的正畸治疗不会影响牙齿的稳固度,年龄增大后也不会比未接受正畸治疗的牙齿更容易脱落。
反之,错合畸形不仅影响面部的美观,患者在社交时缺乏自信甚至会产生强烈的自卑感,同时对口颌系统的健康和功能也造成极大的危害。错乱不齐的牙齿不易清洁,长期堆积软垢菌斑,导致牙齿龋坏、牙龈发炎,长期以往逐渐发展为不可逆转的牙周病变,最终可能导致牙齿早失;咬合关系的异常还会导致咀嚼效率下降,牙齿的异常磨耗,颞颌关节紊乱等等。
当牙根周围的牙槽骨因为某些原因(主要是长期的牙周病)而逐渐吸收时,牙齿便会开始松动。这种松动是病理性的。当牙槽骨完全吸收时,牙齿便会脱落。牙周病是慢性发展的过程,早期患者往往没有明显症状,随着年纪的增长及一些全身系统疾病的影响下,老年时牙齿逐渐松动、移位甚至脱落。
“牙齿矫治后排列整齐,咬合受力均匀,有利于口腔清洁及牙周维护,明显降低牙周病的发生率,口腔系统也会更健康。”苏牧说,其实,矫正拔牙是很成熟的治疗方式,只要是到正规医院口腔正畸专科,拔牙不会对患者的牙齿功能和健康造成危害。苏牧大夫同时提示,错合畸形的形成因素和机制错综复杂,由于专业知识不对称,网络上虽然信息爆炸但真伪难分,每个个体、每位病例差异性很大,千万不能一概而论或道听途说,而在制定矫治方案时与主诊大夫针对个人病例充分沟通交流尤为重要。