
一、NIV在病毒性肺炎中的历史与临床现状
NIV在重症SARS(轻度ARDS)中的应用经验

无创通气(NIV)在重症SARS达到ARDS的标准为氧合指数低于200~300mmHg之间。如上图所示,这张照片很珍贵,是2003年抗击SARS时,广州呼吸健康研究院使用鼻罩CPAP作为首选的治疗方法,依从性比较好,少量的漏气不影响人机同步。当时广州呼吸健康研究院收治的39例重症患者中,38例使用鼻罩CPAP 1~2小时后,氧饱和度和呼吸困难均有所改善,改善率为97%。预设气管插管标准为FiO2>0.6,PaO2<70mmHg (P/F<120mmHg)。这39例患者中有26例无需气管插管、康复出院,成功率为67%;13例进行气管插管,插管率为33%;3例死亡(8%)。广州市SARS的总体病死率3.6%。根据结果来看,我们认为这些策略还是有效的。
NIV治疗1-2小时后的反应

无论是成功组还是失败组,无创通气治疗1~2小时后都有改善。但是失败组的基线氧合功能更低,尽管刚开始进行的1~2小时均有改善,但随后病情逐渐恶化,最后达到气管插管的标准。
成败组之间的参数比较

进行成败组之间的参数比较,差别最大的就是氧合指数(P/F)的基线,失败组的基线为183.1,所以氧合指数的基线与成败的关联度比较高。
气管插管的原因(n=12)

如上图所示,NIV转换为气管插管的主要原因是严重的呼吸困难。极少数等到严重低氧血症才进行气管插管,因为这时才进行气管插管的难度会很大。所以患者使用无创通气以后,呼吸困难不缓解是气管插管的重要依据。
NIV在重症流感(H1N1)中应用的经验

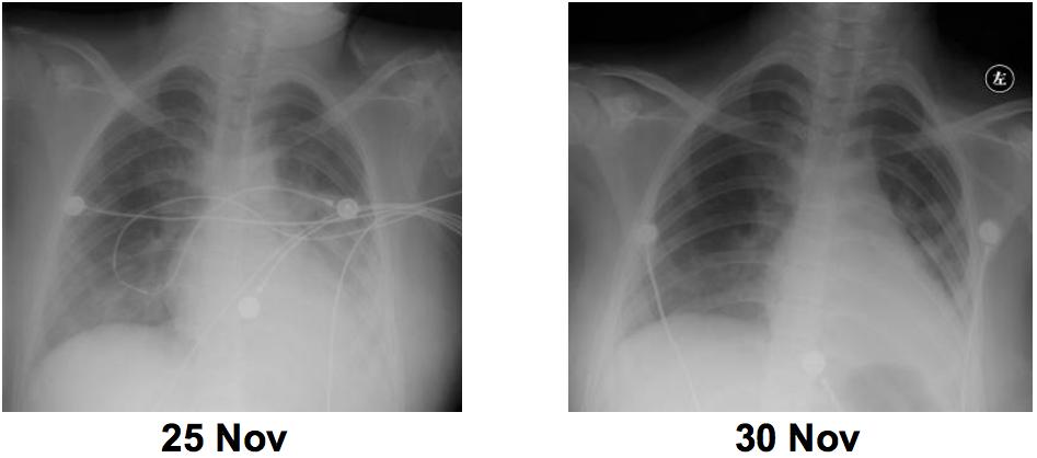
这是广州呼吸健康研究院的一个病例。17岁的女孩,发热4天、气促1天,2009年11月25日入院。胸部CT显示肺炎,WBC:3.6×10^9/L,H1N1 PCR:阳性。SPO2 90%(鼻导管氧疗3L/min)。
NIV 治疗的反应与结局

这时使用鼻罩CAPA治疗,5cm H2O,连续不间断使用3天后开始改善。随后改为间歇使用鼻罩CPAP 3天,总共6天。症状改善、耐受性好,P/F改善到320mmHg,最终康复出院。我们的应用体会是,对此类患者,NIV治疗需要时持续不间断使用,直到病情缓解后才过渡到间歇使用。
二、NIV在新冠肺炎中的研究报道
现在缺乏对新冠肺炎的前瞻性对照研究的数据,所以我们只能参照以前治疗重症病毒性肺炎的经验在新冠肺炎的探索中前行。下面来看看临床的实际情况。
HFNO和NIV在新冠肺炎中应用比例—武汉的早期报道

这是武汉最早报道的一项回顾性队列研究,14%使用无创通气,21%使用高流量鼻导管氧疗(HFNC),较大的比例使用无创通气和高流量鼻导管氧疗,从这个数据告诉我们临床实际上是在使用。
广州的治疗情况分析

使用无创通气的多和少有没有区别?因为现在没有横向对比的研究,但是在广州的治疗情况中进行了分析总结:在重症病例中有32.4%使用无创通气,而总体的病死率比较低。
国家指南的推荐意见

NIV在重症新冠肺炎中应用——需要考虑的问题
实际上,由于缺乏前瞻对照性研究,有很多问题在临床实践中还需要大家共同关注。比如HFNC和NIV的异同,如何选择;NIV的应用指征与禁忌症;应用方法学和治疗反应的评估;NIV转为气管插管的指征;医务人员的安全性(感染的传播与防控)。
回顾近期相关的研究报道
1、面罩CPAP治疗SARS-CoV-2肺炎:两阶段回顾性病例对照研究
背景:CPAP在ARDS中应用不肯定;CPAP应用于SARS-CoV-2肺炎缺乏证据;临床经验提示CPAP可能有效。
目的:评估CPAP治疗SARS-CoV-2肺炎对插管率的影响。
研究终点:第7天插管率、死亡率。
插管指征:血流动力学不稳定、神志恶化、呼吸衰竭加重(呼吸>40次/分、呼吸肌肉动用增高、pH<7.35、SPO2<90% );持续超过5分钟且相应干预措施无效。
方法:观察性、短期历史对照研究(2020年3月11日至4月8日)。
病例入选和排除标准
入选标准:实验室诊断SARS-CoV-2感染与急性呼吸窘迫(呼吸>25次/分,胸部X线或CT提示双侧肺部浸润,且需要氧流量>6L/min以维持SpO2 ≥ 92%)。
排除标准:①肺泡低通气(PaCO2 ≥ 45 mmHg);②在阶段1已接受CPAP治疗或阶段2首次应用CPAP 30分钟内需要插管。
CPAP参数设置:①大部分患者使用面罩与家用呼吸机或Boussignac正压阀连接;②CPAP最初参数为10cmH2O(在8-12 cmH2O之间进行调整),根据临床耐受性、漏气和SpO2来调整。
研究流程图

这是入组病例的情况,一共97例,其中需要氧疗的有66例,第一阶段有20例只使用氧疗,第二阶段有46例使用氧疗+CPAP,排除一些干扰因素后,最后观察插管率的情况。
结果
共纳入66名COVID-19患者,CPAP使用中位天数:5d(IQR, 2-7.5d);每日使用中位时间:8h(IQR, 4-11h)。在广州我们更多的是强调不间断使用,包括喝水、吃饭的时候也不间断。氧分压平均为70mmHg左右。

14天后,9例出院,1例好转及暂停俯卧位NIV,3例持续俯卧位NIV,1例插管进ICU,1例死亡。

总体来说,使用CPAP后,在第14天观察到和第7天相同的结果,都能降低气管插管的需求。
结论:①在呼吸科病房中,对恶化的COVID-19患者应用CPAP是可行的;②CPAP可以避免7天和14天插管率,特别是对于拒绝插管的患者。
2、头盔CPAP治疗COVID-19合并急性低氧呼吸衰竭

这是意大利发表的一种管理策略建议,我认为有值得我们学习的地方。虽然没有进行严格的随机对照研究,但是临床工作还是非常强调建立比较完善的管理流程。记录和分析住院的病人的相关因素,包括是否需要胃管、静脉置管、镇静等。当P/F<250mmHg时,会发生呼吸窘迫,这时先使用头盔CPAP。我们通过视频会议了解到他们使用头盔CPAP的原因是戴上后基本不用更多的管理,而且呼出气排放出口增加了过滤器,减少房间里面的空气污染,对医护人员有良好的保护作用。以前的研究也证明,戴上头盔CPAP后,可以不拆下来持续使用,喝水、吃饭通过一个专门的孔道,也不用拆除。之后观察病人是否改善,再决定继续使用头盔CPAP,还是改为气管插管。形成工作规范后,就可以论证工作规范的疗效、安全性如何。
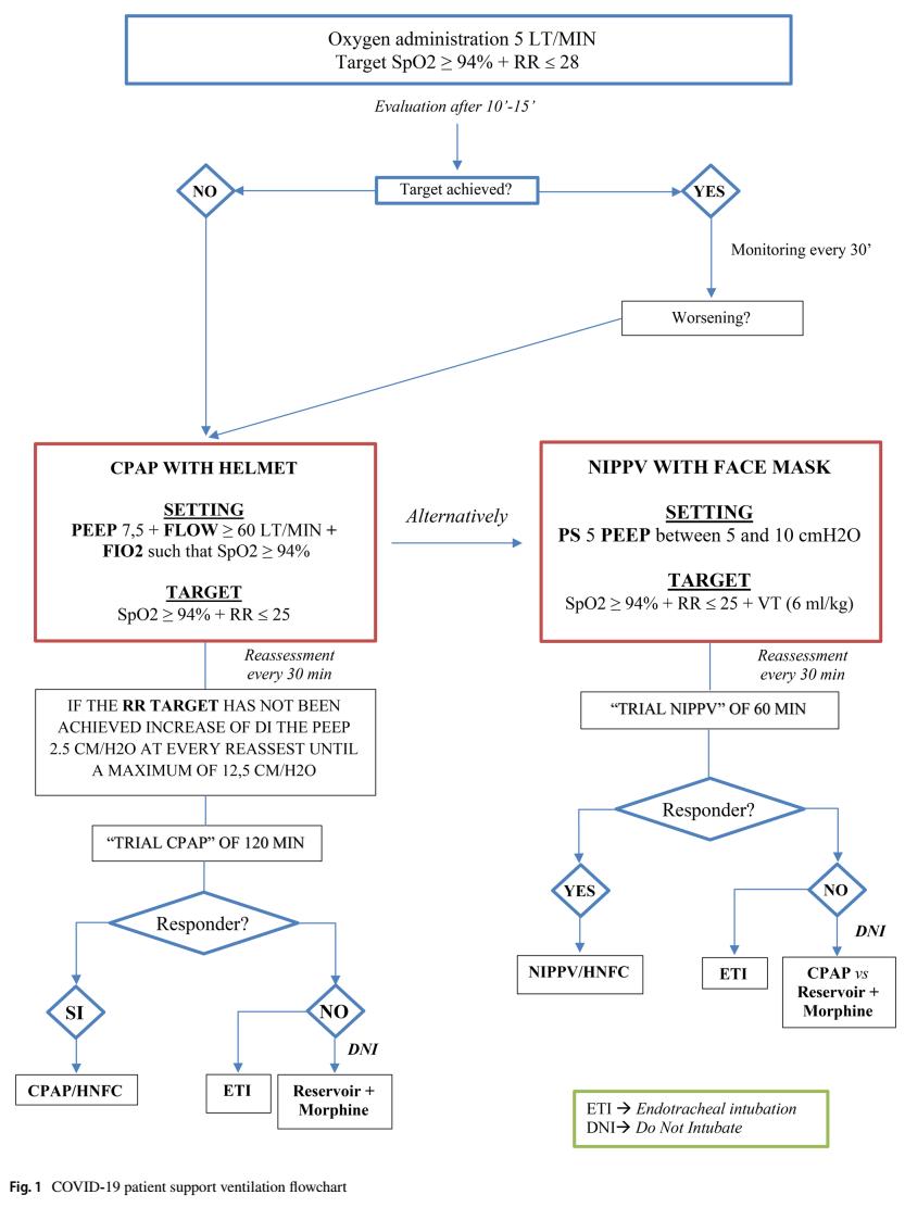
3、意大利北部急诊科COVID-19患者无创通气支持流程图

根据氧饱和度,需要5L/min氧流量,目标是SPO2≥94%+RR≤28,10~15分钟评估是否达成目标,若SPO2<94%,使用头盔CPAP,调节参数后如果成功就继续使用头盔CPAP,不成功的话再改为气管插管,大致是这样的工作流程。
4、COVID-19患者在ICU外接受俯卧位无创通气后的呼吸力学参数
背景:在普通病房中应用NIV很少被报道;俯卧位在 ARDS有创患者:背侧肺复张,气道分泌物引流,改善气体交换和生存率。
研究终点:应用NIV前、应用俯卧位NIV 60min后、NIV结束后60分钟的呼吸力学参数[SpO2、PaO2:FIO2、呼吸频率];患者舒适度(0分为非常不舒适、10分为非常舒适)、14天随访预后。
方法:为单中心观察性试验。
入选患者:在ICU外行俯卧位NIV的15例COVID-19患者

入组病例的平均P/F为157mmHg,符合我国建议做无创通气的水平(氧合指数150~200mmHg之间可以长期使用无创通气)。作为一项短时间观察研究,基线俯卧位,观察俯卧位后的SPO2、P/F、呼吸频率。发现俯卧位时,能够明显提高氧饱和度,增加氧合指数,降低呼吸频率,即使停止俯卧位NIV,这种作用也能维持一段时间,不会完全降低到基线。

上图中的数据有好有坏,这说明不同的病人,应答存在一定的区别。
结果:共纳入15名COVID-19患者,俯卧位NIV使用中位时长:3h(IQR, 1-6h)。

这是俯卧位NIV60分钟后和NIV结束后60分钟的结果,数据以与应用NIV前对比是否改善来计算。做俯卧位NIV60分钟后,100%的呼吸频率、氧饱和度、氧合指数有改善,舒适度为73%,还比较能够接受。而且停止NIV后翻身为平卧,NIV结束后60分钟还有较大的比例能维持这个作用。14天后,9例出院,1例好转及暂停俯卧位NIV,3例持续俯卧位NIV,1例插管进ICU,1例死亡。这项研究还是支持清醒状态无创通气下的俯卧位的通气应用。
5、无创氧合策略与成人急性低氧呼吸衰竭全因死亡率的相关性:一项系统综述和荟萃分析
背景:对于急性低氧呼吸衰竭患者,NIV和HFNO可能比普通常规氧疗更有效。
目的:比较无创氧合策略与成人急性低氧呼吸衰竭患者死亡率和气管插管的相关性。
方法:在MEDLINE, Embase, PubMed, Cochrane Central Register of Controlled Trials, CINAHL, Web of Science和LILACS中检索比较HFNO 、面罩NIV、头盔NIV或普通常规氧疗应用于急性低氧呼吸衰竭患者的随机对照研究。
研究流程图

总共筛查5246个研究数据,最终符合标准的有25个。

结果(共纳入25项随机对照研究,3804名受试者)
病死率(与标准氧疗相比):
*头盔NIV(RR 0.40 [95% CI, 0.24 - 0.63];绝对风险差,-0.19 [95% CI, -0.37 至 - 0.09];低确定性);
*面罩NIV( RR 0.83 [95% CI, 0.68 至 0.99];绝对风险差,-0.06 [95% CI, -0.15 至 -0.01];中等确定性)。
插管率(与标准氧疗相比):
*头盔NIV(RR 0.26 [95% CI, 0.14至0.46];绝对风险差,-0.32 [95% CI, -0.60 至 -0.16];低确定性);
*面罩NIV( RR, 0.76 [95% CI, 0.62 至 0.90];绝对风险差,-0.12 [95% CI, -0.25至-0.05];中等确定性);
*HFNO(RR, 0.76 [95% CI, 0.55-0.99];绝对风险差,-0.11 [95% CI, -0.27 至 -0.01];中度确定性)。
结论:
1)与标准氧疗相比,采用头盔NIV与面罩NIV与较低的死亡风险有关;
2)未来需要进一步的研究来更好地理解每种策略优势。
三、新冠肺炎临床分型与机械通气
SARS-CoV-2的临床表型:对临床医生和研究人员的意义
新冠肺炎的临床分型有如下图所示的五种不同的类型,第四种和第五种类型需要机械通气,主要是第四种类型病人需要无创通气的支持。

COVID-19合并低氧 呼 衰是不是都是ARDS?

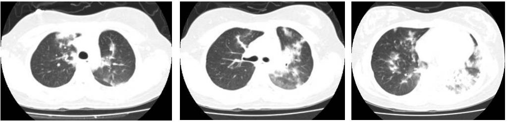
现在大家争论比较大的问题是关于新冠肺炎合并低氧呼衰是不是都是ARDS。把新冠肺炎分为两种类型,L型是肺的弹性回缩力不是很高,肺还没有变得很硬,低通气/灌注比值低,肺的重量比较轻,肺复张的部分少。另一个是H型,肺的弹性回缩力高,肺比较僵硬,从右到左高分流,高肺重,高肺复张性,这是典型ARDS的改变。所以分出两种类型。如果是L型,低氧血症的严重程度与相对良好的呼吸力学参数之间的分离,与不同COVID-19合并低氧呼衰临床分型的共性及基础存在一些区别,肺灌注失调节和缺氧性血管收缩可能是一个重要因素。

这是利用胸部CT分析,氧合指数分别为95mmHg和84mmHg,A肺大部分良好,而B肺大部分是实变和液体浸润,整个病变分布的特点不同。所以,只有在分出一型和二型的新冠肺炎中去看到的影像学也存在明显的区别。

L型和H型的治疗原则不同。对L型来说,肺顺应性好的患者应保持较低水平PEEP,潮气量阈值不应限制在6ml/kg,呼吸频率不应超过20次/分钟,病人应该保持「安静」;避免做得太多比进行过多干预更有好处(less is more)。当食道压力波动从5-10 cmH2O增加到15 cmH2O以上时,肺损伤的风险增加,应尽快插管。对于H型来说,应采用标准ARDS治疗(低潮气量、俯卧位和相对高PEEP),必要时采用ECMO。
在严重的COVID-19中,不同的表型需要不同的呼吸管理策略

这个分型是根据病变范围和力学特点把新冠肺炎分出三个类型。
第一种类型,顺应性好,但严重低氧血症。应以重新分配肺内血流和减少分流为目的设置PEEP。在这种情况下,采用ARDS中常用的原理,将PEEP设定在最佳驱动压力下,可能会导致使用较低的PEEP(由于肺顺应性好),导致氧合较少。这些病例可以考虑iNO,俯卧位可以重新分配灌注,但在这个阶段通常不是很有用。注意排查血栓的问题。
第二种类型,主要是肺不张和塌陷。在这种情况,高PEEP和俯卧位可以复张肺部无通气区域。肺复张策略可能在这些情况下发挥作用,而iNO则没有那么有用。
第三种类型,典型中重度ARDS CT表现伴肺泡水肿,低顺应性。呼吸机参数设置应遵循ARDS的一般原则。PEEP应按最佳驱动压力设置;最终,可以考虑肺复张策略、俯卧位和ECMO。
四、治疗新冠肺炎期间气溶胶产生的防护
使用无创呼吸支持过程中呼出气传播SARS-CoV-2需要被更多重视
在整个机械通气过程中,尤其是进行无创通气过程中,对于如何减少气溶胶的产生和减少院内传播的问题,有不少的国家和地区考虑到医务人员感染问题,完全拒绝给病人做无创通气,我不太赞成这种观点。

这项研究显示,使用不同的呼吸支持的方法都会导致呼出气体的传播距离有所延长。尽管气体排出的距离延长,但气体稀释以后是否会增加感染的风险,实际上我觉得这个领域的研究不够充分。

如果担心呼出气直接排到空气中影响医务人员感染的问题,有几个办法,可以使用高流量鼻导管氧疗或者鼻罩CPAP的同时佩戴口罩,因为有口罩遮挡,呼出气就不会直接呼出。这是国内的很多呼吸治疗学专家的建议,尽管我们没有做系统的评估,但是最起码气体不会直接呼出,减少传播的距离。另外,在呼吸机的入口和出口处增加过滤器,减少呼出气里面含有病毒颗粒的排放。
NIV与预防传播

我国呼吸治疗学组的同道写了一个专家共识。如果通过过滤网有可能减少呼出气所含病毒的排放;如果给病人做气管插管或者做气管镜进行气道清理的时候,最好使用电子气管镜;如果有全封闭的阀门,避免气体排放。应该说这些能够对医务人员的感染方面具有一定的保护作用。
COVID-19:使用创新的恒流罩进行产生气溶胶呼吸治疗期间,最大限度降低卫生保健工作者的风险

这是国外的报道,采用床头保护的办法,通过负压吸引把呼出气全部抽走,呼出气就不会进入这个房间。
ICU隔离罩可降低COVID-19患者NIV使用过程产生的气溶胶风险

这是另一种ICU隔离装置,把病人罩在里面,在里面进行无创通气和高流量鼻导管氧疗,气体颗粒不会排到房间中,而且能够抽到外面。研究人员检测到能够减少气体颗粒在房间中的排放。
应用于COVID-19患者产生气溶胶医疗操作的通用移动保护系统

国外还有很多不同的设计,如上图所示,这项操作使用的是挡板,手通过挡板中间的洞进出,减少了医务人员和病人的直接接触。采用可视喉镜进行气管插管,可以减少医务人员和病人的气道之间的距离。
五、展望与思考
中国学者发表的相关论文

中华医学会呼吸病学分会呼吸治疗学组的专家发表《新型冠状病毒肺炎患者呼吸机使用感控管理专家共识》,希望在使用呼吸机的过程中,能够减少医务人员的感染风险;还发布了《新型冠状病毒肺炎患者经鼻高流量氧疗使用管理专家共识》;另外,对于护理操作也发布了《新型冠状病毒感染重型及危重型患者呼吸治疗相关操作防护措施专家共识》,指导大家如何做好操作,又能够减少感染。我们也写了几篇文章,关于无创通气治疗过程中,减少医务人员感染的思考;还有改善机械通风不仅仅需要增加通风机的可用性;CPAP和鼻导管氧疗比较的文章。
改善机械通气不仅仅是增加呼吸机的数量

我们当时不是很担心呼吸机的数量的问题,因为很多非呼吸专科医生,比如消化科医生、皮肤科医生等参与到新冠病人的救治过程中,所以会有很多呼吸机,而缺乏专业的呼吸治疗师或者熟悉呼吸机操作的医生,这是我们必须要考虑的问题。所以建议进行在线培训及远程医疗,通过网络教育去指导未经规范化培训不同专业的医生优化呼吸机的应用。
在线人员培训

无创通气治疗COVID-19导致的早期低氧性呼吸衰竭:考虑首选鼻罩CPAP

关于高流量鼻导管氧疗和无创通气的选择,我们列举的已经发表的文章里面所占的比例,在不同地方的选择应用不同。目前HFNO或NIV的选择没有循证依据指引,操作者倾向于根据个人偏好进行选择。
鼻罩CPAP与高流量鼻导管氧疗的比较

高流量鼻导管氧疗比较容易使用,接上去通常调节流量、氧浓度、温度就可以使用,鼻罩CPAP也很简单。鼻罩CAPA的耐受性不错,但高流量鼻导管氧疗的耐受性相比鼻罩CAPA更好。我们对于低氧呼衰的病人,最主要希望持续的气道正压维持肺泡的开放,改善氧合,鼻罩CPAP的稳定性、可调节性比高流量鼻导管氧疗好很多。另外,吸入氧浓度的稳定性是高流量鼻导管氧疗更稳定,但它对氧耗量消耗很大,当氧供应不足时,要多注意这一点。我们进行了一个对比,同样是50%左右的吸入氧浓度,高流量鼻导管氧疗可能需要18L纯氧,而鼻罩CPAP可能需要5L左右就足够。
从作用原理、耐受性、气道压力的维持、和氧气的消耗的角度对比思考,鼻罩CPAP似乎有更多的理由应该被首先选用。
在湖北参与现场工作的人员的体会和经验
这次的新冠疫情我未能前往武汉,所以我和武汉的同道进行了交流。在当时的紧急状态下,很难形成统一方案,所以缺乏统一的方案;不同专业背景的医务人员参与工作,我有一个学生,他原来跟我学习无创通气,下图为他在武汉所拍的实际应用情况的照片;HFNC作为首选、依从性好,容易使用,但通常使用到吸入氧浓度达70%~100%仍然有呼吸窘迫和低氧血症时才考虑NIV;此时再改为NIV,通常总的有效反应率低、依从性差或好转后就停用或改为FHNC,再次恶化时对NIV反应差。所以真正在武汉使用无创同期的成功率还是比较低。

广州呼吸健康研究院收治重症Covid-19 病例应用总结(16 Jan to 12 Mar)

对此我和广州呼吸健康研究院奋战在一线的黎毅敏、刘晓青等人探讨,在SARS时期感觉无创通气比较有效果,对于新冠肺炎是不是效果不太好?他们认为使用无创通气有效,对广州呼吸健康研究院收治重症Covid-19病例应用进行了总结 (16 Jan to 12 Mar) 。按当地政府规定收治重症和危重症患者17例(统计到4月24日),危重症16例,重症1例。外院转入时已经气管插管12例(包括ECMO 5例);氧疗(未插管):5例。结局(统计到4月24日):无死亡病例,8例已经拔管(8/12);4例仍然有创通气(包括2例需要ECMO),5例接受NIV治疗患者全部康复。下面我们回顾这5例的数据。
(以上数据为广州呼吸健康研究院钟南山、黎毅敏、刘晓青、李时悦等带领的团队提供的未发表数据)
NIV 危重症新冠肺炎(病例2)
这是病例2的数据。男,42岁,1月26日发烧,1月31日确认PCR。因严重呼吸困难和高流量氧气疗法,于2月4日转移至GIRH ICU。入ICU时的评估:RR:30-35bpm,呼吸窘迫,PaO2/FiO2:128mmHg(偏低)。NIV:BiPAP S/T,FiO2:0.5,IPAP:14-16,EPAP:6。在使用NIV两小时后,氧合指数升到198mmHg,所需吸入氧浓度50%。第一周连续使用,病情好转后间歇使用。2月14日转移到病房,2月25日出院。

所以对于这种病人来说,使用NIV要持续不间断,通常连续5~7天甚至10天的应用NIV,等到病情开始缓解,才改为间歇使用。
NIV 治疗危重症新冠肺炎(病例5)
病例5是一个典型病例。38岁,女,咳嗽,3月26日发烧,4月1日证实有PCR 因严重呼吸困难和高流量氧气治疗,于4月4日转移至GIRH ICU。入ICU时的评估:RR:36-40bpm,呼吸窘迫,PaO2/FiO2:189mmHg。NIV:BiPAP S/T,FiO2:0.45→0.6,IPAP:14,EPAP:6。使用NIV两小时后,氧合指数升到250mmHg。但是总体来说,氧合指数会随着病情进展还会降低,此时需要上调吸入氧浓度,上调压力,才可以维持氧合指数。连续使用12天,病情好转后间歇使用。最终康复出院。

NIV治疗重症-危重症新冠肺炎5例的回顾分析


总体的治疗效果—广州的经验

因为没有前瞻对照性研究,所以最终结局我们来看广州的总体治疗效果,总体病死率1.4%,所以我们感觉使用NIV策略总体结局比较好。
总结:NIV在新冠肺炎中的应用
缺乏循证医学证据;主要依据既往治疗SARS和病毒性肺炎的经验和研究结果,以及新冠肺炎病人前期的观察性数据,没有随机对照的研究数据;临床实际使用率:1%-64%;缺乏公认的操作流程;广州的经验支持NIV的选择应用(P/F: 150-300mmHg之间),尤其使用两小时后,氧合指数和呼吸困难明显改善的病人,建议继续使用。
需要深入研究的问题:总体的疗效与安全性,选择应用指征;HFNC与NIV之间的选择应用;应用流程和参数调节;转为气管插管的指征;医务人员的安全保护。
致谢:广州医科大学附属第一医院的钟南山老师、黎毅敏教授、刘晓青教授、林志敏医师、关力理博士提供的数据。
答疑讨论
王一民:关于面罩CPAP、头盔CPAP和具有隔离功能的面罩,或者一些新技术,在国内目前应用的好像比较少。请问您的团队目前有接触过这些比较新型的设备吗?
陈荣昌:头盔CPAP在国内应用较少,个别医院比如郑州大学第一附属医院有使用。头盔CPAP最大的好处在于有进气口和出气口,在出气口处增加了一个过滤网,所以呼出气不能直接排到房间里面,而是经过过滤。另外,前面几个研究也显示头盔CPAP比面罩CPAP的效果好,我们在思考原因,因为头盔CPAP戴上去后,不用拆下来,所以有利于持续不间断的使用。
对于面罩CPAP来说,在《新英格兰医学杂志》发表的低氧呼衰患者无创通气应用,每天使用8小时以上,我们认为这是不能接受的观点,要不然就不使用,用的话就要持续使用。不像高碳酸血症的呼吸衰竭,可以每次使用2~3小时,过一会再使用。而低氧呼衰非常强调的是持续不间断的应用,因为维持肺泡开放,当气道压力降下来以后,肺泡塌陷以后,再让肺泡开放很困难。关于过滤网,现在每个医院都有过滤网,只要在使用无创通气的时候,比如鼻罩或者面罩,把过滤网接上去就可以,这应该可以作为工作常规。
关于防护气管插管,有专用的面罩,但使用的不多,大家可能还不太习惯。所以,现在可视的插管喉镜可能是大家比较常用的选择。但据说武汉的同道也有很多经验,让病人充分麻醉,没有呼吸状态,短期间内气管插管也能够保护医务人员的作用。需要进一步探索「全封闭的气管插管面罩」的疗效和安全性。
王一民:我们非常关注新设备或者新技术能够应用到国内,因为我们未来面临的可能不仅是新冠肺炎,还会面临其他的呼吸道传染病,所以我觉得这样的设备未来可以多尝试,多积累一些经验。还想请问您,很多病人使用了有创通气,在撤机之后可能会面临一些情况,比如有些病人存在二氧化碳持续升高,一直持续在四五十的水平;有些病人使用普通的鼻导管吸氧不能完全维持氧合指数,尤其是病人在后期需要康复训练的时候,氧合指数可能会存在波动。对于撤机之后的病人,现在的经验是选择经鼻高流量给氧较多,还是选择无创通气更多?
陈荣昌:这是大家比较关注的问题。我每年会做无创通气的年度进展,去年有一篇前瞻性随机对照的研究,对气管插管有创通气的低氧性呼吸衰竭病人,当病情比较稳定,肺部感染得到控制,探索无创通气序贯辅助撤机的疗效与安全性。以前这种策略主要用于高碳酸血症的呼衰患者,之前王辰院士也牵头做过研究。现在开始在低氧性呼衰中探索这种策略。需要吸入氧浓度在50%以下,氧合指数达到200mmHg左右,感染控制住了,如果病人状态比较好,循环稳定的情况下就可以拔管,拔管以后马上使用无创通气,参数设置和有创的参数一样。所以,前瞻对照实验的研究告诉我们,这样能够缩短气管插管的时间,还能够减少肺部再感染(院内获得性肺炎)的风险。这个研究的结果支持这种策略的应用,但是现在还没有进入临床常规的实践中。
王一民:您在最后提到了关于气管插管时机的思考,目前把握什么基本原则去判断病人使用无创通气或者经鼻高流量氧疗不耐受或者效果不好,会面临气管插管的选择?目前从参数上有没有更多参考的选择?
陈荣昌:现在大部分的文章建议使用无创通气1~2小时后,氧合指数仍然低于150mmHg且呼吸困难不缓解,作为气管插管的指征。个别会尝试氧合指数到120mmHg作为转折点。各个医院掌握的程度可能会有区别,与气管插管的应急能力有所不同。
王一民:还有一点是关于无创通气的参数的选择。有很多来自于相对基层的一些医生,对于无创通气比较细节的参数方面,可能不像对有创通气的了解的那么多,对于无创通气的参数,您有什么建议?
陈荣昌:如果使用鼻罩CPAP很容易,把压力调到6~10之间,就调节这一个参数即可。当时我们首选鼻罩CPAP考虑几个因素,不存在人机不同步的问题,哪怕有些漏气也不会影响人机不同步,因为持续使用,尤其晚上万一出现漏气,没人发现,如果用双水平气道内正压模式的就会存在人机不同步的问题。如果鼻罩CPAP没有效果,再改为双水平,这就要综合考虑。如果使用经鼻高流量氧疗,对于低氧性呼衰的病人,我建议使用氧流量不要太低,在45L/min以上,因为只有到45L/min以上,才会产生类似于CPAP的效益。
专家介绍

陈荣昌
主任医师、教授、博士生导师;国务院特殊津贴专家、卫生部有突出贡献青中年专家;深圳呼吸疾病研究所所长;广州呼吸健康研究院前任院长;中华医学会呼吸病学分会前任主任委员;中华医学会呼吸病学分会慢阻肺学组组长/慢阻肺联盟主席 等;主要从事呼吸力学与机械通气、呼吸与危重症医学、慢性阻塞性肺疾病等领域的工作。

王一民
中日医院呼吸与危重症医学科主治医师,中国医师协会呼吸分会青年委员会委员,中国医疗保健国际交流促进会临床微生物与感染分会青委副主委。
本文完
未经许可,请勿转载
本文由《呼吸界》编辑 大奔 整理、*今条头日**排版,感谢陈荣昌教授的审阅修改!