肾绞痛是 泌尿外科常见的急症之一, 它不是一个独立的疾病,是由于多种原因导致的肾盂或者输尿管平滑肌痉挛所致。
其特点是突然发作剧烈疼痛,疼痛从患侧腰部开始沿输尿管向下腹部、腹股沟、大腿内侧、*丸睾**或阴唇放射,可持续几分钟或数十分钟,甚至数小时不等。
发作时常伴有恶心呕吐、大汗淋漓、面色苍白、辗转不安等症状,严重者可导致休克。 其疼痛程度甚至可以超过分娩、骨折和手术等。

肾绞痛为何如此疼痛?
肾绞痛之所以如此疼痛,是机械刺激和化学刺激相互作用的结果,发生机制有二:
- 上尿路急性梗阻,由于管腔内壁张力增加,这些部位的疼痛感受器受到牵拉后引起剧烈疼痛;
- 输尿管或肾盏壁水肿和平滑肌缺血使炎症递质增加,激活了更多的疼痛感受器,进一步加重了痛感。

引起肾绞痛的原因有哪些?
肾、输尿管结石 在肾绞痛病因中所占比例最大(约90%);
肾盂输尿管连接部梗阻、上尿路大量出血、泌尿系严重感染 亦可引起结石样绞痛;
还有 泌尿系统外的疾病, 压迫输尿管引起梗阻,包括:肠道疾病(如肠道肿瘤、憩室炎)、妇科疾病(如卵巢肿瘤、附件囊肿)、后腹膜疾病、血管疾病(如腹主动脉瘤破裂出血)等。
肾绞痛需与哪些疾病相鉴别?
由于肾绞痛常伴有恶心、呕吐、腹胀等消化道症状,易与急腹症混淆,因此在诊断中应注意排除下列常见的急腹症: 急性阑尾炎、急性胆囊炎和急性胰腺炎 等;女患者还应排除 卵巢囊肿蒂扭转、宫外孕、急性输卵管炎 等。
肾绞痛患者需要做哪些检查?
B超检查是肾绞痛患者的首选筛查方法,它的主要优点是不受结石性质的影响,无论是X线透光或不透光结石,而且还可用来鉴别其他一些急腹症。
螺旋CT可进行无漏层连续扫描,非常精确,是诊断上尿路结石最可靠的影像学方法。肾绞痛发作后,螺旋CT常可显示肾包膜下积液,这是诊断急性肾绞痛的有力佐证。
还有尿常规、血常规、肾功能等以及鉴别其他疾病的相关检查项目,以便后续的进一步治疗。

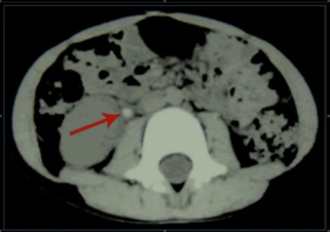
泌尿系CT可清晰显示右侧输尿管上段结石
肾绞痛应该如何治疗?
规范的治疗方法是明确诊断,排除其他疾病引起的肾绞痛后,就可先用药物缓解患者的症状,予以止痛、解痉、抗感染等治疗。
再 根据泌尿系结石的位置、大小、数目以及是否有合并症,再采取合适的治疗方式。如药物排石、体外冲击波碎石、输尿管硬镜碎石、输尿管软镜碎石、经皮肾镜碎石、开放手术取石等。

外冲击波碎石示意图

肾绞痛会复发吗?
流行病学调查发现,5%女性一生中至少发生1次肾绞痛,男性这个比例则高达12%。引起肾绞痛的原因90%左右是泌尿系结石,泌尿系结石复发的比例很高,后期再发生时肾绞痛症状有可能会更严重,也有可能很轻微。
特别是症状不明显时,患者不引起重视,又未定期体检,长期以往会造成患侧肾积水萎缩,双侧都有病变时会引起肾功能衰竭。所以医生叮嘱的定期复查绝对不是废话!

如何预防泌尿系结石发生?
由于目前泌尿系结石成因未完全明确,预防结石的方法主要是大量饮水(每天尿量达到2L左右)、多运动,少吃海鲜、动物内脏,不过量补钙,部分患者还需要治疗原发病。
同时不同成分的结石还要因人而异,提醒各位结石患者排出结石不要随意丢弃,最好收集做结石成分分析,找出大致病因,后期才能更有效的预防。