杭州的小吴同学被自己吓坏了,嘴里一直在流血,刷牙时更是变成“血盆大口”,大学室友都调侃她,好像吸血鬼刚刚出去觅食过一样。
更让小吴害怕的是,她嘴里个别牙齿还出现轻微“摇动”,这让22岁的她害怕不知所措,“我是才22岁的小仙女啊!怎么会牙松掉了!”

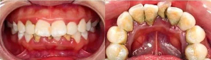
22岁小仙女的牙居然长满“苔藓”
小吴同学出现了以上症状后,吓得有点不知所措,大学室友建议她要不去口腔科看看,小吴就赶紧来到浙江大学医学院附属第一医院口腔科就诊。
小吴长得白白净净,打扮得也很时髦,但口腔科姚亚男主治医师在看到小吴这口牙后,着实吓了一跳,这哪是22岁小美女该有的牙齿!
牙齿上结满牙结石,还长满了绿色的“苔藓”,而这“苔藓”是细菌长期在牙齿上繁殖出来的菌斑,就像过期的食物不处理掉,就会长霉斑一样。
牙菌斑的堆积会刺激牙龈,引起牙龈炎症,牙龈就会变成鲜红色或者暗红色,质地松软,容易出血,特别是刷牙或者咬硬物时容易出血,还会有口臭。
而且小吴的牙龈炎症已经影响到牙根周围的牙槽骨,牙槽骨有炎症会导致骨头吸收,就像树根周围的水土流失,而导致牙齿松动。

刷牙不到位,引发慢性牙周炎
口腔科姚亚男主治医师在排除了血液相关疾病后,初步诊断小吴为慢性牙周炎。
牙周炎危害可大可小,毕竟牙周炎可能会影响到全身健康,因为细菌会通过血液传播到全身其他脏器。
当得知自己牙龈出血,牙齿松动的原因竟然是刷牙刷的不好,口腔卫生差,小吴感到很委屈,“我每天都有刷牙啊!也都保持3分钟以上,为什么还没有刷干净?”
小吴经过姚医师解释后,才明白并不是拿牙刷随便刷满3分钟即可,正确的刷牙方式才是关键。
通过姚医生的口腔模型演示,小吴才得知口腔里最容易堆积菌斑的位置是牙齿与牙齿之间的缝隙以及牙齿与牙龈交界的位置。

所以正确的刷牙方式是,先将牙刷刷毛放于牙齿上方约3毫米的牙龈上,然后自牙龈向牙齿方向轻轻旋转,以剔除牙齿与牙龈交界处以及牙缝间的堆积物。
最好选择软刷毛或超软刷毛的牙刷,以便在按摩牙龈的同时,去除菌斑软垢,如果是刷毛尖端经过软化处理的牙刷更佳。
刷牙是为了去除的是牙菌斑,一般认为清洁后8-12小时可以再次形成成熟的菌斑,我们应该在菌斑成熟前就进行一次清洗,换句话说就是一天刷2-3次比较合适。

洗牙后焕然一新,养成良好的口腔习惯很重要
由于已经形成的牙结石是无法通过日常刷牙进行清除的,必须由专业口腔医生通过专用器械清洁干净。所以小吴需要进行牙周基础治疗,也就是常说的“洗牙”。
肉眼可见的牙结石可以通过基础的洁治就可以了;而对有些隐蔽的,躲在牙龈里面的牙结石需要通过特殊的深刮技术去除。
洗牙后小吴的病情得到极大的改善,刷牙基本没有出血的情况,牙齿松动基本感觉不到了。

洗牙的好处在哪里?
一:清除牙菌斑、牙结石
牙结石、牙菌斑升级成牙结石后就比较难缠了,而且牙结石喜欢长在牙龈与牙齿交界的地方。这个地方,就是我们刷牙的死角。洗牙则可以去除。

二:清除牙渍、清新口气
喜欢抽烟、喝咖啡、喝茶的宝宝们,牙齿上往往有很多色渍,通过刷牙是去根本刷不掉哒。所以,为了美观,也需要洗个牙啦。还有,因为口腔不洁引起的口臭也是可以通过洗牙清新口气啦。
三:最省钱的口腔检查
为什么说洗牙是最省钱口腔检查呢?我们先来算下 洗牙,大概在300-400元左右~ 每年洗个1-2次,最多也就七八百;如果不愿意花这个钱,最后补牙啦、牙周治疗、甚至种植牙都要上万了~
总而言之,洗牙对牙齿只会百利而无一害啊!
洗牙并不根治,良好的口腔环境更需要您的维护。洗牙效果以及口腔健康离不开自我口腔维护。
除了按照医生推荐的方式正确刷牙,还需同时使用牙线清洁牙齿邻面,饭后漱口,对于牙龈萎缩牙间隙较大、经常食物嵌塞的人,可以使用冲牙器清洁牙缝。

每年至少进行一次口腔保健洁牙与口腔检查,能够及时发现口腔内积累的牙石及其他口腔疾病,从而更好的维护口腔健康。
因此建议最好一年洗一次牙,患有牙周炎的患者还需要深度刮治等进一步治疗。