去年有个很火的小伙子,爱闻自己的臭袜子,结果肺部被真菌感染了。
今天这个病例,21岁小伙子,也是差不多的路数被感染,气管和肺发霉了,治了6个月才好:

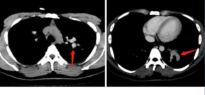
CT发现他的支气管多发扩张,箭头所示,像手指套一样白色迂曲的影子,这个叫“指套征”,周围还有一些白色小点片状浸润影,和一些小树芽征。
这种手指套样的改变,其实还可发生于肺结核、肺癌阻塞支气管等情况,为什么会直接考虑真菌感染呢?答案在下面这张图:

箭头区就是扩张的支气管,它有个典型特征是密度增高了,比血管的密度还高,提示里面有高密度的黏液栓,这是变应性支气管肺曲霉病(ABPA)的典型表现。
这种高密度黏液栓,是由于曲霉菌丝侵入小伙子气道后,引起变态反应,腺体分泌增加、炎细胞浸润,并且在菌丝作用下黏液变稠、浓缩,加上钙、金属粒子沉积形成(曲霉能富集空气中的铁、锰离子)。
见到这个高密度黏液栓,通常提示 局部炎症更严重,且容易复发。
除了上面这些表现之外,ABPA病人的CT片还有另一个常见的典型表现:病变游走性!一处病灶吸收,过一阵子另一叶肺里又出现新病灶。
这是因为机体不同部位对吸入的霉菌孢子产生变态反应的程度和时间有差异,或者再次吸入霉菌孢子引发新的变态反应有关。

这倒霉催的,他是怎么被感染的呢?
答案就是一个字儿:懒!
一个人住,厨房垃圾不及时清理,总是攒好几天才清理,连冰箱里的东西都能放到发霉……

还别说,给这霉斑放大了,再加点美颜,还挺好看的,可惜长到气管里就让人开心不起来了。
上图这种烟曲霉分布广泛,几乎无处不在,因为它产孢能力强大(繁殖力强大),不论室内室外,每平方米空气孢子浓度可达1~100个,人类每天都能吸入100~1000个孢子(孢子类似于植物种子)。
而且烟曲霉胞壁富含疏水蛋白,易分散于空气中,且在一定湿度范围内变化不大,较其他同等大小的孢子更易被肺泡摄取。

这里就有个疑问,既然每个人都会吸入真菌孢子,为什么只有少数人会感染发炎呢?
因为勤劳的健康人有免疫系统保护,气道纤毛、黏膜表面活性物质、抗菌肽和肺泡巨噬细胞等可以在24-48小时内,清除掉90%的真菌病原体。
所以霉菌不可怕,是个条件致病菌。
变应性支气管肺曲霉病好发于哪些人呢?
它好发于20~40岁,发病无性别差异,在湿润温暖气候或冬季室内条件下高发,多数病人有特异性体质,对多种药物及食品过敏。

据估计,1~2%的支气管哮喘和7~9%的囊性纤维化(CF)病人会合并ABPA。但囊性纤维化在北美洲白种人最常见,其他人种极少见,所以我国主要见于哮喘病人。
发病时,喘息为最常见症状,有些病人会咳出棕色痰栓(约31-69%),这些棕色痰栓里很容易查到真菌菌丝,对ABPA具有诊断意义。

所以提醒大家:生活垃圾要及时清理,尤其是冬季供暖的时候。
那么,如果不小心接触了发霉的食物、臭袜子,并出现喘息、咳嗽等症状,怎样判断是不是被感染了呢?
看下面的表格:

除了胸部CT之外,呼吸科医生还会安排化验检查,包括外周血嗜酸性粒细胞(血常规)、血清总IgE、烟曲霉特异性IgE检测等,都不贵。
血清IgE值正常,通常可排除活动性ABPA(没有经过系统的激素治疗)。
最后就是治疗了:
除了保持卫生,及时清理、隔离霉变垃圾之外,主要是激素治疗,通常需要6个月的疗程。
还有抗真菌药,这个有点小贵,可见减少气道内的真菌定植,降低抗原负荷,减轻炎症反应,缓解症状。
好,本篇内容不多,但基本讲清了ABPA的知识点,希望对大家有帮助。
参考文章:
肺部真菌感染临床与影像解析,张嵩
肺部疑难病例多学科会诊,路希维、李海潮
#非常病例#