译者:凤凰重生 许昌市公疗医院放射科

原作者:James Collins, Robin Smithuis and Matthieu Rutten
本文介绍了关节注射超声引导的诊断和治疗的应用。超声是盲法、透视、CT引导下穿刺的有价值的替代方法。
肩关节
盂肱关节
前路途径 在前路方法中,患者仰卧仰卧,伸出的手臂外旋(图)。超声探头在腹侧平行于肩胛腱的长轴放置。探头侧的灰线表示长轴。
如果使用直径为21号或更细小的针头,则不需要局部麻醉。由于抽吸物的高粘度,可能需要使用较大的钻孔针, 在这种情况下,指示局部麻醉。为了便于注射药物或对比剂,可以在针和注射器之间使用连接管,注射器由助手保持和管理。
使用22号针,针连接到包含造影剂的50mL注射器,由助手保持,在适当的针位置注射15-20mL造影剂时,针垂直于肱骨头的内侧边缘前进,穿透肩胛腱。
如果刺中肱骨头的软骨,针应该拉回1或2毫米,稍微倾斜大约15◦,然后前进切向与头部进入关节,针的斜面朝向关节(图) 。不应该感觉到注射阻力,并且应该看到对比剂自由进入关节并且存在于肩胛下凹部中。
后路方法 A.针处于关节内位置,其中尖端在下筋膜(ISP)和后盂唇(L)下面并且接近肱骨头的透明软骨(星号)。B.相应的尸体标本部分显示最佳针迹(白线)。C. 15毫升注射对比剂后声像图。 针在关节内正确位置可以在注射期间实时可视化,但是也通过由关节内注射的流体在后盂(箭头)的“逗号”样构型来确认。
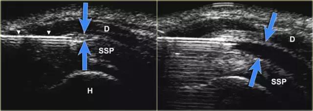
肩峰下滑囊
肩峰下 - 三角肌囊是滑膜内衬空间,其不包含可观察到的或仅很小量的流体。滑囊由两个法氏囊叶组成。 外侧和内侧叶分别与三角肌筋膜和肩袖融合。 滑囊叶可以容易地彼此滑动,从而便于肩部的运动范围。盲性肩峰下注射药物到肩峰下囊中是全科医生和矫形外科医生经常进行的治疗。 错过肩峰下囊肿的注射发生率为12%至70%。

肘关节
对于肘的注射,患者仰卧,臂在90°弯曲,升高并搁置在垫子上。桡骨小头与肱骨小头之间的关节间隙很容易触及。 手必须是旋前或可以变成拇指向上的位置,以最大程度地打开关节。
探头被放置在关节可视关节间隙。针(22号,30mm)在关节的背外侧朝向朝向桡骨头的关节表面的关节空间以微小的头尾向角指向。

当看到已经进入关节并且感觉到径向头部的软骨时,针被稍微拉回,以确保斜面从离开软骨并且面向关节。注射5-8mL的造影剂。 不应感觉到注射阻力。

腕关节和手
桡腕关节 患者仰卧,手腕靠在45°海绵或卷起的毛巾上。在一些情况下,将手腕保持在尺骨偏离中可能是有帮助的,以便更多地打开关节空间。
在超声波上识别桡骨和舟骨之间的空间。在超声引导下,将23-25号,30mm针推进到指向半径的关节表面的关节中,直到感觉到与桡骨接触。在确保针的尖端没有刺入软骨中,注射2-4mL对比度。针的斜面面向关节空间,并且看到对比度流入关节。

下尺桡关节(DRUJ)
线性阵列探头轴向定位在远侧桡骨和尺骨上。 沿着探头的短轴,从尾部方向从近侧指向远侧插入23-25号,30mm针。 根据注射期间的压力注射总量为0.5-1mL。
腕,腕掌和指间关节
医生和专科医生通常在小腕关节和手指关节进行关节内穿刺和注射,以减轻关节积液或注射药物。关节周围注射的失败率和发生频率高:15% - 32%,特别是小指和DIP关节的关节。此外,意外的关节周围的药物渗漏可能影响周围的韧带或腱,导致严重的并发症。使用23-25号针头的背部方法是优选的。尽管具有18至12MHz的频率的高频线性阵列探头经常用于扫描手腕和手的表面软组织结构,但由于探头体积小可允许更好地接近小的外周接合部。
骶髂关节
骶髂关节已被认为是腰疼和下肢疼痛的来源之一,其被认为是由骶髂关节炎引起的。治疗包括关节内注射皮质类固醇。 经常进行诊断注射或阻滞,以区分下背疼痛的可能原因,因为在15-25%中这是由SI关节产生的。
上层骶髂关节注射
轴向定向的探头从第五腰椎的尾部的水平移动,扫描骶骨的背侧表面与中间和外侧骶骨顶,髂骨的臀部表面和第一后骶骨孔。穿刺针沿着探头的短轴插入位于骶骨表面和髂骨轮廓之间的低回声裂隙中。针插入的角度被调整到SI关节的低回声裂隙的方向,其呈现头部更内侧到外侧定向,并且尾侧更垂直定向。
较低的水平骶髂关节注射
从上层,通过中间和侧面骶嵴,在骶骨的背表面和髂骨的臀部表面的描绘,传感器向下移动,直到第二后骶骨孔可见。与上层一样,针插入骶骨和髂骨之间的低回声裂缝中。
髋关节
患者仰卧。腿被保持在微小的内旋和外展,从而缓和局部囊结构的紧张和使髂腰肌腱和囊在中心移出预期的针路径。优选地,使用5-3.5MHz的弯曲阵列换能器,其提供必要的穿透深度。通常,对于平均成年人使用长度为9cm的21号针。 在较小的成人或儿童中,可以使用23号5cm皮下注射针。
局部麻醉剂可以在主要注射之前注射,但是这需要额外的操作以及在关节中的非造影流体(麻醉剂)留下较少的空间,使有限的关节空间更小,以及可能的2个穿刺。
可以通过在包含麻醉剂和注射流体(对比剂或药物)的两个注射器之间使用三通连接器,来避免麻醉后换造影剂时引起的以外的脱针。

膝关节
膝关节CT或MR关节镜的适应症是手术后半月板的评估,查询关节内体,评估骨软骨病变的稳定性和评价关节软骨。如果需要治疗,则注射药物,例如皮质类固醇和/或局部麻醉剂。对于注射,我们不使用超声引导,但使用标准的“盲法”程序,使用侧向中髌方法在髌骨后面引入针(21号,50mm)。髌骨是单侧和从中间横向侧面朝向由左食指指示的髌骨的中心瞄准引入的针。针水平地向后引导到髌骨的中心,直到与外侧髌骨面或外侧股骨髁接触,并且当被感觉到在关节中时,注射造影剂40mL.CT或MR此前可以选择适用上述髌骨从而迫使从髌凹陷反差进入关节间隙适当紧的绷带。


踝关节和足
胫骨关节 CT或MR关节镜可用于查询韧带,骨软骨或软骨损伤,评价自由体或查询骨软骨病变的稳定性。对于踝关节(胫骨关节)的注射,患者仰卧,足部轻微的跖屈。用超声波检查胫骨关节的内侧,以确定合适的注射部位,同时检查任何过量的关节液。我们使用小型弯曲阵列8 MHz传感器,但如果优选,可以使用18-12 MHz线性阵列传感器。 探头的长轴保持在矢状面内。

通常为22号(长度:30mm)的针被引入与在前关节空间的内侧上的换能器的长成像轴线,内侧到前胫骨韧带,避免韧带和血管。应该确定距骨穹顶和悬垂的前胫骨唇。 针头在胫骨远端成角度地进入远侧胫骨的腹侧唇下的关节,瞄准远侧胫骨的关节表面。感觉到接触,并且再次确保针尖离开胫骨软骨并且斜面面向接头。

将8-10ml的对比剂注入胫骨关节,并且看到前囊与流体一起膨胀。
患者不应该有疼痛而抵抗。

跗骨窦
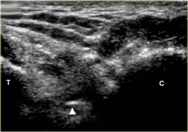
跗骨窦是锥形空腔,在后内侧到前外侧方向上延伸。它位于距骨的颈部和跟骨的前上表面之间的脚的外侧面。跗骨窦内侧继续作为跗管,这是距骨与跟骨间一个漏斗形的空间。它包含脂肪,动脉吻合,关节囊,神经末梢和五个韧带结构 - 下伸肌视网膜的内侧,中间和侧根; 颈韧带; 和骨间骨骨膜韧带(图)。

这个空间可以是脚部疼痛在跗骨窦综合征的原因。治疗的第一步是用epomedrol和局部麻醉剂(利多卡因)的混合物封闭治疗。这对于外科医生在非引导方法中可能是挑战性的,但是用超声引导相当容易和准确地实现。
超声引导的跗骨窦的注射在右手侧与外侧入路。探头保持在冠状倾斜平面中。针沿着探头的长轴引入。

使用超声波可以容易地观察窦性骨壁。患者转向对侧,将待治疗的足以其内侧表面靠在桌面上,脚的外侧位于最上面。探头保持在关于脚的冠状平面中。

在跗骨窦被识别为跟骨的前处理和距骨颈之间的三角空间。针(箭头)的前端的锥形跗骨窦,这是由距骨(T)和跟骨(C)的边界内可以看到。

根据炎症的程度,可能存在空间的充血,并且可能存在中间血管可见,这是人们希望避免的。但是这又是比较容易的,特别是彩色多普勒。

注射量
US-guided injection of the upper and lower extremity joints.
by Collins JM, Smithuis R, Rutten MJ. Eur J Radiol. 2012 Oct;81(10):2759-70