反复的发热,口腔溃疡,先后三次发生偏瘫,左侧肢体已经有了严重的运动障碍……这样的痛苦,成人都无法忍受,却成为宁远县女孩小慧(化名)从出生至今的“梦魇”,一直持续了11年。
长期不明原因发热,小慧到底怎么了?
从出生三个月起,小慧就开始出现间断性的发热,经常一个月里,有一半的时间在医院。
口腔溃疡也常年伴随着小慧,不要说吃饭了,喝水都疼痛难忍。
10年间,小慧还先后有三次肢体偏瘫发作,虽然前两次康复了,但最近一次的偏瘫发作,还是导致左侧肢体严重的运动障碍。
长时间的病痛一直折磨着小慧,家人心急如焚,辗转多地求医,包括多家省级医院,却始终无法明确诊断。
2021年3月,小慧再次出现发热,在朋友介绍下,他们来到郴州市第一人民、郴州市儿童医院儿童神经、遗传、内分泌科。
世界罕见先天性疾病,怎么治?
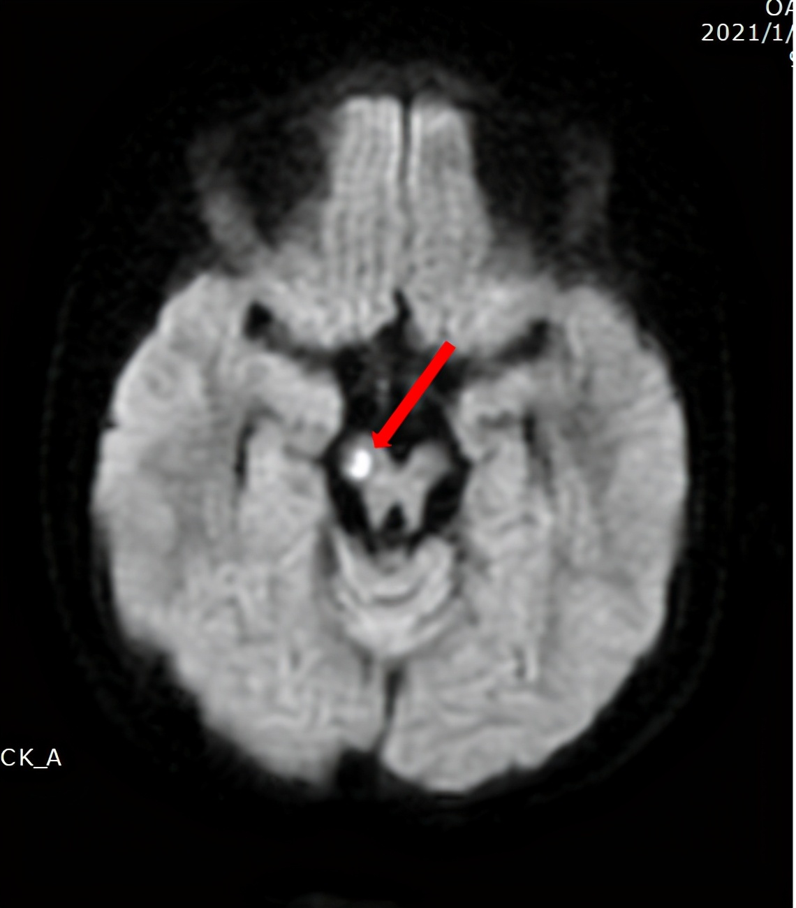
经儿童神经、遗传、内分泌科和儿童影像中心多次讨论分析,考虑到小慧的病程时间长,成发作性病程,且出生没多久就出现了症状,考虑“先天性疾病”的可能性大,建议进一步完善头颅功能核磁和相关基因检测。
多年的求医和治疗,早已让这个家庭“负债累累”。儿童神经、遗传、内分泌科廉荣镇主任和儿童影像学胡石腾主任决定,从各自科室的科研经费中拿出费用,先给小慧完成了相关检查。
一个月后谜底终于解开,原来“小慧”所患的是ADA2缺乏综合征,一种全世界都极其罕见的疾病。
(此处已添加小程序,请到*今条头日**客户端查看)
什么是ADA2缺乏综合征?
ADA2缺乏综合征是指由CECR1基因突变引起,无功能性突变导致ADA2缺乏,ADA2 主要表达于淋巴细胞和单核巨噬细胞中,可直接结合腺苷受体、蛋白多糖以及T细胞其他表面分子,被认为起桥接细胞作用而起到促进免疫突触的形成。
因此ADA2缺乏综合征是一种累及多系统的综合征,表现多样,包括自身炎症反应、血管炎以及轻度免疫缺陷等。

总结小慧的临床表现,发现其皮肤、神经、免疫系统都有相应症状。再结合其头颅影像学以及基因检测结果,支持ADA2缺乏综合征的诊断。

困扰一家人10年的谜团,终于解开了!
多学科联合定制诊疗方案破解罕见病
虽然明确了诊断,但疾病的治疗成为摆在医生面前的另一个难题。
ADA2缺乏综合征目前无标准治疗方法。治疗上可选TNF-α拮抗剂、激素、缓解病情抗风湿药(DMARDS)、抗凝、酶替代、新鲜冰冻血浆,严重者如重症联合免疫缺陷者可选造血干细胞移植。
虽然骨髓移植理论上可以根治该疾病,但因涉及骨髓配型、巨大的经济负担,短时间内较难实现。那么TNF-α拮抗剂(依那西普),就成了首选方案。
治疗方案有了,药物来源又成了问题,因为该药物常在成人患者中使用,且为生物制剂,作为儿童专科医院,一直没有备该药物。
经廉荣镇主任积极和儿童医院药学部沟通、协商,特开设绿色通道,1天之内,药品到位了!
4月9日下午,第一针“依那西普”注射进了“小慧”体内,持续十余天的发热,当晚就没再出现!
按既定的照治疗方案,“小慧”每三到五天需要注射一次,接下来的10天,“小慧”再也没出现发热。
考虑到“小慧”既往“脑梗塞”导致左侧肢体运动障碍,医院又为其制定了详细的康复计划。
“孩子有机会摆脱病痛的困扰,我们很欣慰。”廉荣镇主任介绍说。
第一次用药效果显著,说明诊疗方案方向正确,也让治疗有了良好的开端,但治疗并没有结束,远期效果还要继续在治疗中观察。
“希望“小慧”能够早日摆脱病痛的折磨,过上幸福快乐的生活。”廉荣镇主任说。

疑难罕见病多学科联合机制为患儿带来希望
小慧妈妈非常感谢郴州市儿童医院的医生和护士,他们对待病人高度负责、关怀备至,不但让人感受到了家的温暖,也给一家人带来了新的希望。看着“小慧”及其父母久违的笑容,所有医护人员也像感受到了充满阳光的夏天。
小慧病情的精准诊断和治疗方案制定,得益于医院的疑难罕见病多学科联合机制。
医院始终高度重视疑难罕见病的诊断和治疗,组成了以郴州市第一人民医院、郴州市儿童医院为依托,儿童神经内科专家、医学遗传科专业、儿童血液科血液科、儿童呼吸科专家、儿童消化科专家、新生儿科专家、检验医学中心专家、医学影像中心专家等共同组成的多学科会诊机制,为诊断不明的罕见病患者提供诊断、治疗、遗传咨询和健康生育指导。
就诊指导:
郴州市儿童医院儿童神经、遗传、内分泌内科目前收治病种包括:各种发作类型的癫痫、中枢神经系统感染性疾病、脑瘫、脑损伤、急性偏瘫、脊髓病变、神经肌肉病变、脱髓鞘病变、遗传代谢病、周围神经病、心因性发作性疾病、各种内分泌疾病、矮小症以及小儿神经内科危重疑难病例的抢救。
如有就诊需求,请点击医院官方小程序,提前挂号就诊。
(此处已添加小程序,请到*今条头日**客户端查看)
主任:廉荣镇
护士长:何琼芝
电话(医生):0735-2898713
电话(护士):0735-2892720
通讯员:肖能