患者男性,77岁,因反复腰腿痛,右下肢疼痛5年入院。
曾于三个半月前住我院治疗,因麻醉准备过程中血压偏高,达到220mmHg以上,转入我院心内科控制血压。腰腿痛症状基本没有缓解。
三个月前再次腰腿疼,入院要求进一步治疗,考虑到患者体弱多病,行L4/5右侧神经根封闭术,封闭后三天内疼痛有明显改善。
近一个月又出现腰痛,伴右下肢疼痛、麻木,行走距离约100米,行走艰难,休息后腿痛能够缓解。

腰椎正位片腰椎退变增生,其他问题并不严重。
腰椎正位片子看腰椎退变增生,其他问题并不严重。

腰椎侧位片子看腰4/5有轻度滑脱。
既往史:患者男性77岁,高血压病史10余年,血压最高可达180/100mmHg,现在口服苯磺酸氨氯地平片5mg qd控制血压,硫酸氢氯吡格雷片75mg qd预防血栓,慢性前列腺增生病史十余年。
手术史:1997年因腰椎间盘突出,于北京XH医院行腰椎后路手术,具体不详,2007年行前列腺增生手术,2010年因肛裂手术治疗,2017年经皮冠状动脉洗脱支架置入+经皮冠状动脉球囊扩张成形术,置入三个冠脉血管支架,2017年慢性萎缩性胃炎,结肠多发息肉,结肠镜下息肉电凝切除术,2018年行CAG+PTCA术。
一个年弱多病的老年患者,腰椎手术之后造成的不稳定,腰椎管狭窄,症状反复,需不需要进行手术治疗?不治疗的风险有多大呢?手术治疗的风险又有多大呢?
患者和家属有明确的手术意愿:
原因之一是经过多种保守治疗的手段,并没有真正的解决问题。
原因之二是家属是三甲医院的内科专家,经过多方的评估,对预后有充分的心理承受能力。
那么问题来了,我们采取什么样的手术方式呢?是采取经皮微创减压的办法,还是采用开刀手术减压的办法?这个时候要听一听麻醉师的意见!和麻醉主任充分的沟通之后,认为局部麻醉的风险可能比全麻的风险更高,局麻手术疼痛刺激可能会使血压升高,脑血管意外的风险增加,而全麻手术时,麻师可以很好的控制血压。
那么再看看患者的CT和MRI。问题并不简单。1997年因腰椎间盘突出,于北京XH医院行腰椎后路手术

腰椎退变增生

腰椎退变增生
重建的片子上看不到太多的手术痕迹。

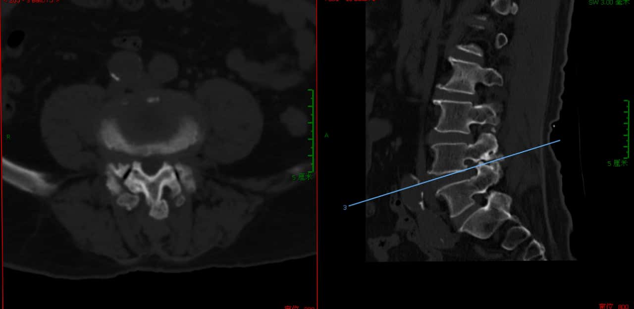
腰4/5水平,小关节及关节后方有大量的增生
腰4/5水平,小关节及关节后方有大量的增生。

多个腰椎小关节及关节后方有大量的增生。
断面可见明显的增生改变,提示腰椎不稳定。

核磁上可见椎4/5间孔狭窄,神经根受压变形。

核磁上可见椎间孔狭窄,神经根受压变细。
这位老年患者有明确的手术适应症。和患者家属(内科专家)沟通后,最终决定采用切开减压内固定的办法。手术方案明确,手术时间可控。

腰椎术后正位片

腰椎术后侧位片
手术顺利,麻醉师功不可没!整个减压内固定的时间1小时23分钟,手术中出血约200毫升,出血回吸收122毫升。手术后右下肢疼痛消失,术后第四天下地行走,双下肢活动正常。术后两周一切平稳,没有出现高血压,心脏病相关的并发症。
患者在疫情常态化的日子里,在医院里度过了双节假期,拆线出院。
腰椎管狭窄症是个老年常见疾病。不是每一个患者都需要手术,需要手术治疗的患者不一定能实施手术,只有在一切条件都具备的情况下才可以变为现实,首要条件是患者需要手术!