
医学博士 博士研究生导师 教授 主任医师
首都医科大学附属北京中医医院 骨科行政主任
兼任北京中医医院顺义医院、北京中医医院平谷医院、北京中医医院怀柔医院、北京中医医院延庆医院骨伤科大科行政主任
骨科总床位数共286张(在扩建床位150张)
首都医科大学附属北京中医医院骨伤科教研室主任
北京中医药大学中医骨伤学系副主任
北京中西医结合学会骨科专业委员会主任委员
北京中西医结合学会脊柱微创专业委员会首届主任委员
中国医师协会中国中西医结合分会脊柱伤病专家委员会副主任委员
专业特长:从事骨科医教研工作三十余年(1988年毕业后一直从事骨科临床工作至今),对骨科危重疑难病例具有丰富的诊治经验,擅长开展复杂脊柱开放及微创手术,髋、膝、肩、肘、踝关节人工置换术。作为第一负责人完成省部级课题2项,参与国家自然基金课题2项,发表SCI及中文核心期刊论文50篇。每年完成复杂脊柱开放手术及关节开放手术360余例,均取得良好临床疗效。
以下为李春根主任主刀完成的部分病例

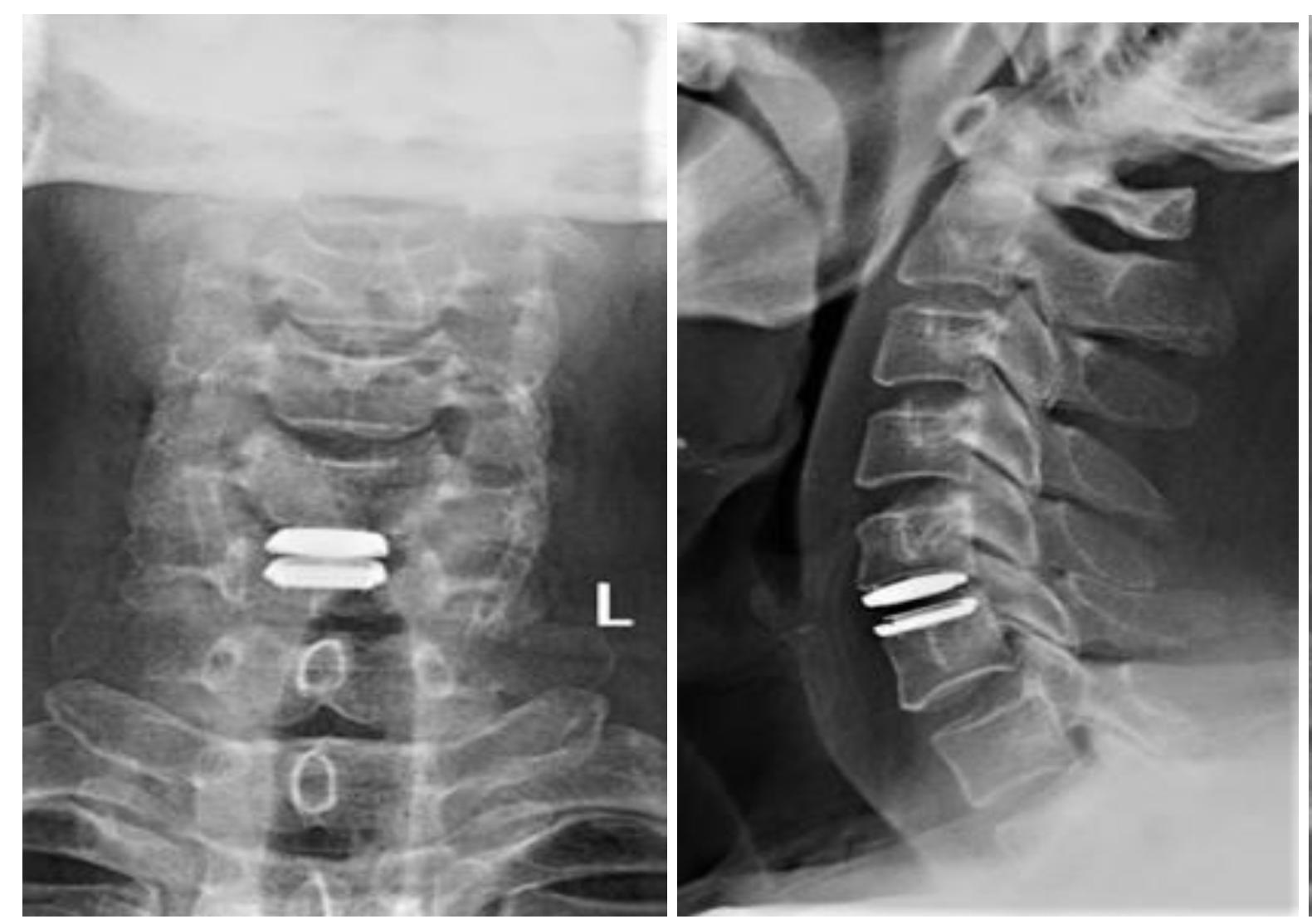
颈椎人工间盘置换术(ACDR)

椎板成形术 (单开门颈椎管扩大成形术)

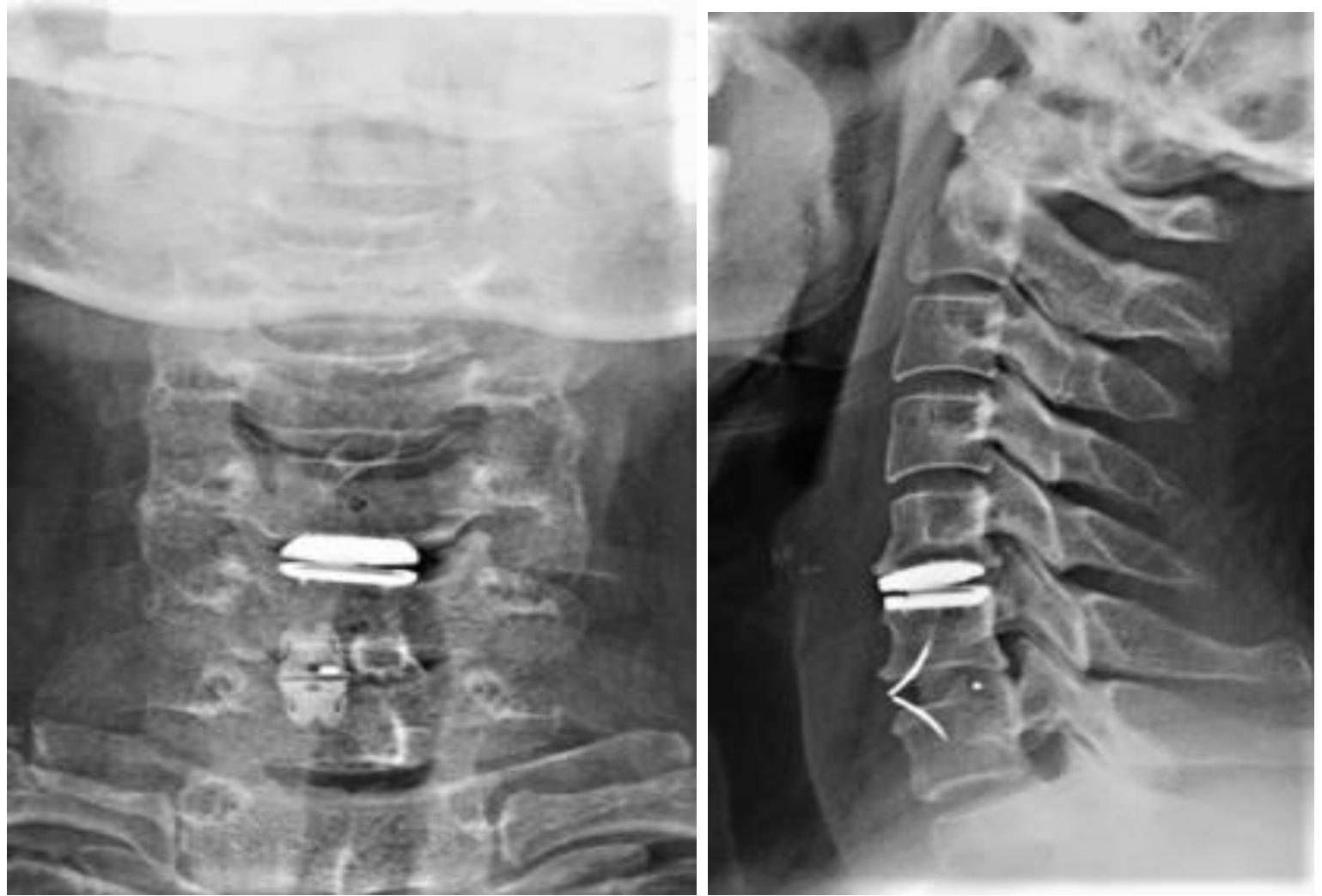
颈椎前路Hybrid术

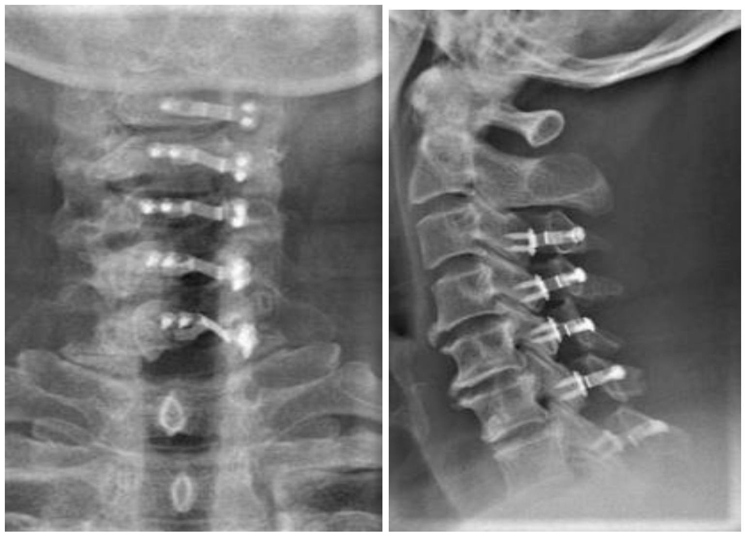
前路减压、融合、内固定术(ACDF)

颈椎外伤后行:颈椎前路椎管减压、椎间盘切除、椎体次全切除、钛笼植入椎间融合、钢板螺钉内固定术及颈椎后路椎板切除减压、侧块螺钉内固定术

后路腰椎融合术(PLIF)

双侧人工全髋关节置换术

人工肱骨头置换术

人工肘关节置换术

人工肘关节置换术

人工膝关节表面置换术

人工膝关节表面置换术

精准人工智能导航脊柱内固定手术

精准人工智能导航脊柱内固定手术