我们医生对患者最常说的话恐怕就是"要注意口腔卫生,每天晨起睡前都要刷牙"。很多患者看牙的时候经历了痛苦,养成了这样的好习惯。但也有很多患者却置若罔闻。刷牙在很多人看来是微不足道的小事,小到随时可以忽略的程度。可是你知道吗,如果长时间不好好刷牙,口腔疾病的发病概率会直线上升,伴随着年纪的增长,牙齿也会更早地脱落。

我们的牙齿自上而下从牙冠到牙根,有很大一部分是肉眼不可见的。健康状态下的牙齿很稳固。如果口腔、牙周出现问题牙齿就会受到影响。我们平时用以维护牙齿健康的最常用的手段就是刷牙。刷牙的手法,频率都直接决定了刷牙的质量。如果刷牙不当或者不按时刷牙,日积月累会有很多问题出现:

首先,细菌的增多,本身就给我们口腔带来了不稳定的因素,导致各类口腔疾病的发生。牙齿发生龋坏的概率也会大大增加。

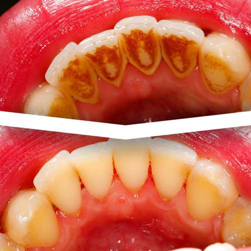
其次,长时间不刷牙会导致口腔内食物残渣的沉积,细菌的生长会逐渐在牙齿表面形成一层坚固不易去除的牙结石。牙结石是会随着口腔环境的恶化逐渐变多的。
初期只是沉积在牙龈和牙齿结合的地方,这种情况下去除难度很低,对牙龈和牙齿的影响也比较小。
中后期就会逐渐下移,我们称之为侵犯下牙。这个时候简单的洗牙都无法将其清除彻底,必须要用龈下刮治的办法来进行治疗。
如果患者还不注意,牙结石进一步下移,牙槽骨就会出现萎缩,牙根部会有病变反应,牙齿松动等级过大时,就会有掉牙的风险了。

最后,有科学的研究证明,口腔环境的恶化和心脏病的发病几率是有关联的。正常刷牙的人和不经常、不刷牙的人相比,患心脏病的概率要高出百分之七十。

如果我们在平时保持良好的生活习惯,牙结石的形成过程会非常缓慢。注意,牙结石总是会形成的,毕竟细菌的生长速度非常快。所以说,牙结石几乎就是每个人不可避免的问题,只是有的人比较轻微,有的人比较严重。
那么当我们出现了牙结石时,最有效也是最简单的解决办法就是:洗牙。洗牙又叫做洁牙,现在很多地方都能做,不只在医院里。我们医生倡导一年洗牙1次或者2次,可以有效的保持口腔健康。

首先,洗牙可以帮助患者去除牙结石。能够有效的改善口腔环境,让牙周疾病的症状有所缓解。
其次,洗牙可以作为治疗口腔疾病的先行步骤。例如,在牙齿缺损需要补牙时,洗牙去除牙结石就可以让我们的牙模更加精准。

最后,洗牙有很好的预防作用。洗牙是医学上认可的,可以有效地维持牙周健康的手段。同时,通过洗牙,患者可以发现很多本身自己并不知道的牙齿问题。例如比较隐蔽的龋齿。
不刷牙不仅影响我们自己的口腔卫生,同时产生的口气还会影响他人的感受。很多牙齿的疾病都是由小问题引起来的。刷牙一个简单的过程,就可以帮助我们解决掉很多潜藏的风险,为什么我们不好好保持呢?还是希望所有的人都能养成按时刷牙的习惯,保护口腔健康,还是要先从自己做起。
