隨着人们的生活水平的提高,代谢综合征,即高血压、高血脂、高血糖、高尿酸、的发病率的增高。促使了动脉粥样硬化,心肌梗死和脑梗塞的发病,呈上升趋势。

脑梗塞分三种:脑血栓形成;脑栓塞;腔隙性脑梗塞。
1,脑血栓形成,主要原因是动脉硬化,动脉斑块软化脱落而形成脑梗塞。根据栓塞部可分前循环梗塞和后循环梗塞。
前循环梗塞主要是颈内动脉系统的脑血栓形成。表现为大脑中动脉缺血症状,出现高级神经活动障碍、同向偏盲、偏身运动或感觉障碍等。

后循环梗塞主要为椎基底动脉脑血栓形成。主要小脑和脑干的缺血症状,出现头晕、呕吐、大汗、呛咳、吞咽困难、语言不利、共济失调、面部麻木、面瘫、听力下降、听觉过敏等。
2,脑栓塞,多为心源性,由房颤、心脏瓣膜病、感染性心脏内膜炎、心肌梗死、心肌病、先天性心脏病、心脏病术后、都易在心脏内形成附壁血栓,血栓脱落,就会随血液循进入脑动脉形成栓塞。和脑血栓形成一样可造成前循环梗塞和后循环梗塞症状。

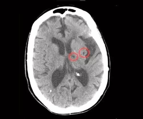
3,腔隙性脑梗塞,通常为1、5公分以下的较小的梗塞灶。是较细的穿支血管发生堵塞,梗塞后死亡的脑细胞被巨噬细胞吞噬,形成了一些空腔,所有就叫腔隙性脑梗塞。其临床症状较轻,往往被基础病症所掩盖,只是体检时被CT发现。

脑梗塞治疗,1,急性期梗塞的静脉溶栓治疗时间窗为4~6小时内。超过6个小时不适合静脉溶栓。8小时之内可通过介入的方式进行动脉溶栓。也可进行大血管的机械取栓或支架。对于后循环梗塞,因基底动脉梗塞病情重,死亡率高,时间窗可延长24小时,因静脉溶栓对大血管闭塞的开通率很低,溶栓时,可同时进行介入取栓或血管内支架。2,脑梗塞在6个小时内脑组织改变不明显,隨着梗塞时间的延长,梗塞区脑细胞逐渐水肿、坏死、毛细血管扩张,液体渗出。急性期过后病变区软化,病灶区神经细胞消失,脑组织开始液化。一个月后胶质细胞、毛细血管增生,形成胶质瘢痕及中风死腔。从病理上讲,时间窗以外病损区,己经没有任何办法恢复正常。不是一些广告上吹的五年可以再通。正如以上所说,別说五年再通,就是梗塞超过24小时,再通后病灶区也会发生出血。所以对慢性脑梗塞注重基础病的治疗,应控制血压、降糖、降脂、抗血小板、的同时,要维持电解质平衡、降低颅压、改善脑循环、保护神经血管等。中医可以采用针灸、及活血化瘀通络中药。上述措施主要目地是改善脑循环,建立侧支循环。

脑梗塞的治疗,在溶栓的时间窗内开通血管是治疗的关键。减少病人的致残、致死率,愈后良好。错过时间窗,康复运动是治疗的关键。对3级以上级肌力的卧床病人,鼓励左右翻身,一则便于提高肌力,防止肌肉萎缩和废用性骨密度减低。二则防止褥疮发生。对于4级以上肌力的病人要求自由的翻身,并练习坐起运动。然后根据肌力恢复情况做行走训练。逐步能达到穿衣、吃饭生活能夠自力。事实证明,康复治疗是脑梗塞治疗的最重要的一环,活动越早康复效果越好。能夠起到稳定病情、缓解症状、早期恢复正常生活状态。俗话说,有病三分治七分养,这句话放在这里最实用。
