人类为了揭开大脑的奥秘,走过了漫长的道路。在这条坎坷却充满光明道路上,最亮眼的一盏路灯莫过于核磁共振成像技术,这项技术曾6次摘得诺贝尔奖的桂冠。
要了解核磁共振的秘密,首先要从质子的自旋磁矩说起......
质子的自旋磁矩
质子具有自旋这一内在属性。由于质子带正电,自转就会产生环状电流,而环状电流又会产生磁场,效果类似于一个小磁铁棒。

质子的自旋产生磁矩,效果就像一个小磁铁
科学家用磁矩来描述这一类磁场。磁矩的方向垂直于质子旋转平面或电流面,方向由右手螺旋定则决定。
对于原子核,只有那些拥有奇数个质子或中子的,才对外表现出磁矩。而那些质子和中子都为偶数的原子核磁矩为零。
一个鲜明的例子是氢原子核,只有一个质子,它的磁矩就是质子的自旋磁矩。这也是科学家选择氢原子核作为核磁共振目标的原因之一。另一原因是生物体富含氢原子,比如水和脂肪含有大量氢原子。

氢原子
通常,由于随机热运动,自旋磁矩方向是杂乱无章的。但当一个外加磁场出现时,氢原子核磁矩就开始排起队来。一部分顺着磁场的方向站,另一部分逆着站。
顺着磁场的质子处低能态,而逆着的质子处于高能态。所以,顺着磁场方向的氢原子核总是要多于逆着的,虽然多出的数量通常很少。

在外磁场作用下,质子自旋磁矩平行或反平行于外磁场
质子在外磁场影响下站好队后,还会做一项广播体操——进动。
磁场和质子的进动
什么是进动呢?来看神奇的动图。

进动演示
一个自转的陀螺在重力作用下,不会倒下去,而是绕着重力的方向旋转,这就是进动。
同样,自旋的质子磁矩在磁场的作用下,也会绕着外磁场做进动。

自旋的质子在外磁场下做进动
氢原子核进动的频率由磁场和旋磁比决定,而旋磁比原子核本身决定。同一磁场下,不同原子核,进动频率不同。对于氢原子核,每特斯拉的磁场会让它每秒绕磁场转42.6兆次!即进动频率为42.6MHz。

进动频率w由旋磁比r和外加磁场B决定
磁场的单位是特斯拉(Tesla),是以一位传奇的物理学家尼古拉·特斯拉命名的。1 Tesla的磁场的强度相当于20000倍的地磁场。临床用核磁共振仪器产生的主磁场通常为1.5T或3T,科研用的核磁共振主磁场强度最高可达11.7T。

地磁场约0.00005T,临床用核磁共振磁场强度通常为1.5或3T
纵向磁场
脑内氢原子核进动相位是随机的,并不同步。换句话说,在某一时刻,有的质子自旋磁矩朝向左上,有的朝右上,还有的朝其他方向。这会使磁矩在垂直于磁场的平面内的分量相互抵消。而在磁场的轴向,由于平行磁场方向的磁矩多于反平行的磁矩,加和抵消后,就只剩下平行于磁场的磁矩。

纵向磁场M和外加磁场同方向
也就是说,脑组织内的氢原子核在磁场作用下,总体会表现出一个净磁场,这个净磁场的方向平行于磁场,通常称为纵向磁场。
纵向磁场和核磁共振的T1加权图像密切相关,下面会详细讲解。接下来先看一下什么是核磁共振。
共振和射频脉冲
共振是自然界中广泛存在的一种物理现象。当外界输入的频率和系统本身的频率一致时,共振就会发生。这对机械系统和电磁系统都成立。
对于围绕磁场进动的质子磁矩,它也有频率,即进动频率。当一个外界的射频脉冲(radio-frequency pulse)和进动频率接近时,共振就会发生。这也是核磁共振名字的源头。
射频脉冲引发的共振对质子有两个影响:
1)磁矩平行于主磁场的质子处于低能级,它们吸收射频电波的能量后,一部分会变成高能级,即反平行于主磁场。
这会导致纵向磁场强度减弱,甚至消失、反转。

射频磁场使部分质子磁矩翻转,纵向磁场减弱、消失甚至翻转
2)射频脉冲引发的共振会使氢原子核进动相位同步(in phase)。
在共振之前的热平衡状态,氢原子核的进动相位千差万别,这导致自旋磁矩在垂直于磁场的平面内(横向)分量相互抵消。相位同步意味着在每一时刻,所有氢原子核的磁矩朝向都相同,那么它们在垂直于磁场的平面内的分量方向也相同,不会再相互抵消(如下图)。

90度脉冲使横向磁场产生过程动图
这意味着共振使一个新的磁场在一个新的方向产生——横向磁场。
横向磁场
横向磁场的产生也可以从另外一个角度来解释。新产生的横向磁场和原来的纵向磁场实际上等价于一个合成磁场,而合成磁场的方向位于两者之间。这相当于原来的纵向磁场在射频脉冲作用下倾斜了。
如果射频脉冲的能量恰到好处,可以使纵向磁场倾斜90度,即纵向磁场完全消失,只剩横向磁场。这样的射频脉冲叫90度脉冲,是核磁共振里经常使用的脉冲类型。
横向磁场跟T2加权成像密切相关。

90度脉冲的效果等价于让纵向磁场翻转90度
共振使氢原子核的磁场发生改变,随后会逐渐恢复。这一过程的磁场变化可以穿越颅骨,抵达记录仪器。
笼统的说,核磁共振成像就是依此来成像的。具体的说,氢原子核恢复的过程包括T1弛豫和T2弛豫,分别对应于纵向磁场的恢复和横向磁场的消失。我们先来看T1弛豫。
T1弛豫和T1加权图像
弛豫这个名字很唬人,但如果你看它的原始英文名,relaxation,就容易理解多了。弛豫是放松、缓和的意思。
我们知道,一部分氢原子核吸收射频电波的能量,跳到了紧张的高能级。射频消失后,它们会逐渐回到轻松自在的低能级。这是一个氢原子们缓松下来的过程,是纵向磁场恢复到之前热力学平衡状态的过程,叫T1弛豫。
氢原子并不是在同一时间点全部恢复到原始低能级的,因此,T1弛豫是一个连续的过程。

T1弛豫过程即纵向磁场恢复的过程
不同分子里的氢原子核具有不同T1弛豫时间。绑定在膜磷脂大分子上的氢原子核,它们的T1弛豫时间很慢,可达4000毫秒。而位于半绑定的结构水中的氢原子核,比如半绑定于蛋白质的水分子,它们的T1弛豫时间很短,约为400~800毫秒。
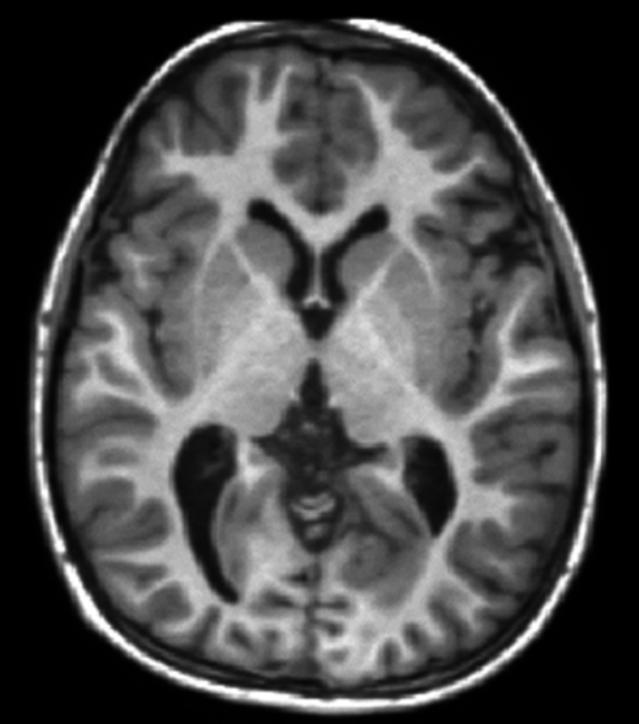
基于脑内不同结构T1弛豫时间的不同,核磁共振可以给出T1加权图像(T1 weighted image)。T1加权图像可以很好的区分大脑的灰质(神经元胞体聚集地)和白质(神经纤维聚集地),常用于大脑解剖结构成像。

T1加权图像可以很好区分大脑灰质和白质
T2弛豫和T2加权图像
T2弛豫是共振生成的横向磁场逐渐消失的过程。
当射频脉冲撤掉后,部分质子返回到初始的低能级(T1弛豫)。于此同时,共振中进动相位同步的氢原子会逐渐去同步。由于横向磁场就诞生于相位同步,所以,随着去同步的进行,横向磁场也会跟着减弱,直到消失。
为什么质子进动会逐渐变得不同步呢?

T2弛豫过程
主要原因是质子自旋产生的小磁场会影响到它周围的质子,由于质子进动频率由磁场决定,所以在周围邻居的影响下,质子的进动频率会发生微小改变。
这些微小进动频率的波动会导致原来以相同频率同步进动的质子群体慢慢变得不再同步,最终恢复到原始状态。至此,横向磁场消失。

质子进动相位不同步最终导致横向磁场消失(T2弛豫)
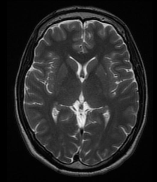
不同的组织内的氢原子核,其T2弛豫时间也不同。比如,脑组织的T2弛豫时间要短于脑脊液。基于T2弛豫生成的脑图像称为T2加权图像(T1 weighted image)。

T2图像无法区分灰质白质,脑脊液呈亮白色
总结
基于大脑不同部位的氢原子核所处不同状态,科学家通过核磁共振技术,实现了非侵入式的全脑成像。这一伟大的技术从30年质子磁共振的发现开始,到1973年第一张活体蛤蜊的核磁共振图像诞生,只用了40来年的时间。
核磁共振技术是极其深奥的,本文只是对它最基本的物理原理做了浅显的解读。在这些简单的物理规律之上,构筑的是盘根错节的技术细节,比如,如何基于T1弛豫和T2弛豫提取合适的信号?如何将记录到的信号定位到三维大脑中?等等。希望本文能起到读者的兴趣,起到一个抛砖引玉的作用。