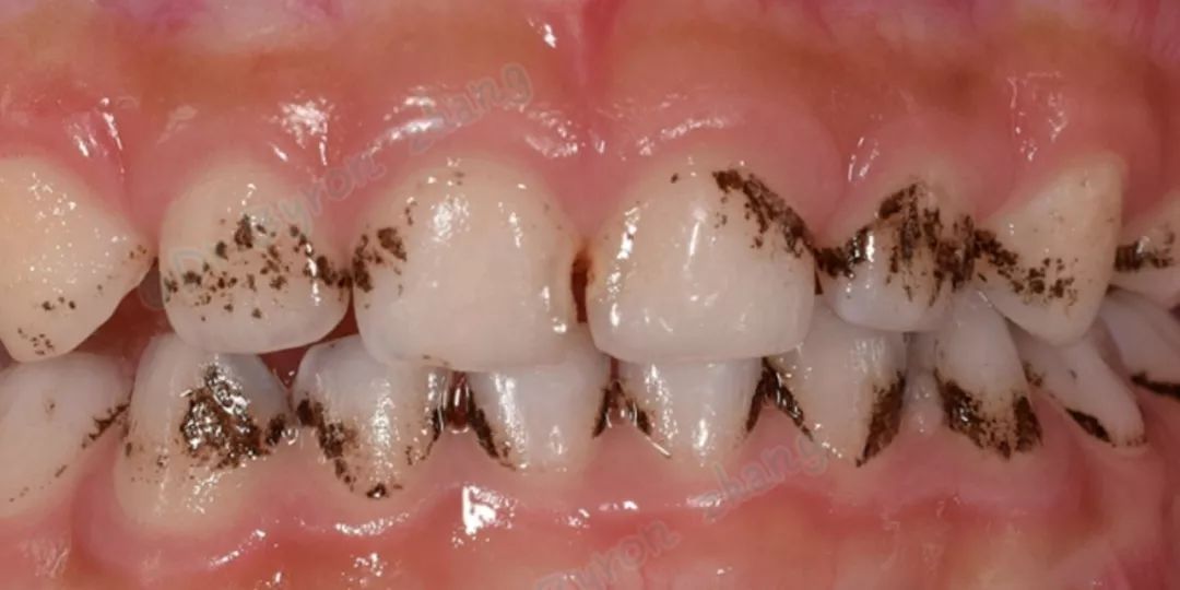
在开始看这篇文章前, 请大家拿起镜子,比照一下自己的牙齿,在牙齿和牙龈的缝隙间,是否看到有以下的情况:

(手机手电筒一开,镜子前就很清楚)
不瞒大家,昨天晚上我自己照镜子的时候,发现我的下牙之间就有以上情况了,也就我们常说的“牙结石”,那么解决办法其实很简单,就是洗牙。

(临床洗牙现场)
说都洗牙,其实网上对洗牙的评价褒贬不一,包括我身边的朋友,大部分人已经有洗牙的意识,并且能保持在一年洗一次牙,但也有部分人群,一直对“应不应该洗牙”这件事儿心存疑虑,今天就挑我碰到最多的疑虑问题,来展开说说。
一、洗牙后牙缝会变大吗?(答:不会)
洗牙可以把口腔“垃圾”清空,洗去牙缝里的牙结石,因此会造成牙缝变大的错觉。

(临床上的真实洗牙前后对比)
当然,牙结石也会造成牙龈红肿,填满牙缝。洗牙去除牙结石后,牙龈消肿,牙缝也会看起来变“大”了。
但如果不去除牙结石,不仅导致牙缝越来越大,牙齿还会出现松动,甚至脱落。
所以,洗牙不会导致牙缝变大,而是保护牙齿。

(请对号入座)
二、洗牙后牙齿会变敏感吗?(答:短期内可能会有酸冷刺激敏感,但会恢复)
很多人误认为洗牙后牙齿敏感是因为牙齿被洗牙的机器洗坏了,其实不是。
洗牙使用的超声波对牙齿非常友好。
曾有人用洗牙工具清洗鹌鹑蛋,连脆弱的蛋壳都能毫发无损,你的牙齿难道比蛋壳还脆弱吗?

不过,刚洗完牙后,牙齿确实可能会出现敏感的情况,所以医生会建议你 洗牙后,避免吃过冷过酸的食物。
但敏感的根本原因不是洗牙,而是洗牙洗得太晚了。

长时间不洗牙,堆积的牙结石可能会造成牙周组织萎缩。
当牙结石去除后,牙根暴露了,就可能会出现敏感症状,这都是正常的。
别担心,敏感的症状在一段时候后会慢慢消失哒!
三、洗牙疼吗?会出血吗?(只要医生的操作方法和力度到位,洗牙是基本不疼的,至于出血这个情况,如果不是牙周很糟糕,少量的出血也是没关系的)

(真的不用怕,别担心)
当然,有些人对疼痛的敏感程度非常高,那么可以选择舒适化洗牙,通过计算机辅助,控制好频率和力度,整个过程会更舒适。

(谁体验谁知道)
就我自己而言,我选择常规的洗牙和喷砂,全程没有任何痛感,反而听着超声波在清洁牙齿时,还觉得很爽。出血的情况有一些少量的出血,但洗完后漱口也就好了。
四、洗牙后牙齿怎么没变白?(答:洗牙主要是洗去牙结石,而不是美白牙齿)

洗牙只是洗去牙齿上的“脏东西”,让牙齿恢复原本的颜色。
当然,如果平时比较喜欢吃深色食物或抽烟等,可能让牙齿表面有色素堆积,这种情况会洗去牙齿表面的污渍,让牙齿看起来“显白”。
比如这样:

(其实只是让牙齿恢复正常的颜色)
如果你想让自己的牙齿变白,往期的文章里有介绍最常见的三种美白方式,可以去了解一下。
五、小孩、老人可以洗牙吗?(答:可以洗,但需要注意)
洗牙没有严格的年龄限制,只要没有洗牙的禁忌症,老人、小孩都可以洗。

但在口腔卫生良好的情况下,小孩可以减少洗牙频率,临床上碰到很多小孩子因为长期喝可乐,或者吃颜色很深的食物,导致有严重的色素沉着,比如这样:

(小朋友的色素牙)
像这样的小朋友的色素沉着,通常只要做一下喷砂即可解决。
对于孕妇,我们建议孕前洗牙,如果错过孕前,最好在医生的专业指导下,在孕中期洗牙。
六、多久洗一次最适合?(答:建议每年洗1—2次)

至于到底是一次还是两次? 如果你有好的口腔健康习惯,比如坚持认真且正确刷牙,使用护牙工具,也没有经常喝茶、抽烟和喝咖啡的习惯,一年一次洗牙即可。

(记住这4点)
但如果长期都有喝茶、喝咖啡、抽烟的习惯的,建议每半年做一次口腔健康检查,来确定是否需要洗牙。
七、洗一次牙多少钱?(答:普通洗牙300元左右)
在我院,常规的全口洗牙也就300元左右,如果有色素,需要加喷砂,也就400元左右,如果有医保,还可以大约走50%的医保费用,最后自费大约在150-200元。

当然如果你的口腔状况比较糟糕,通过普通的洗牙已经没办法解决,那么就有可能需要龈下刮治或者牙周手术,这就要上千元了,但一般到这种情况,说明你前期都没有重视口腔问题,还是那句话:“早预防,早发现,早治疗,少花钱!”

(就是这个理)
所以,坚持每年定期检查和洗牙,是最划算、最有效、最简单的护牙方法。
好了,今天就和大家聊关于洗牙的六个问题,还是老规矩,文末给大家总结一下:
1、洗牙后牙缝会变大吗?(答:不会,洗牙可以把口腔“垃圾”清空,洗去牙缝里的牙结石,因此会造成牙缝变大的错觉。)
2、洗牙后牙齿会变敏感吗?(答:短期内可能会有酸冷刺激敏感,但会恢复)洗牙后牙齿怎么没变白?(答:洗牙主要是洗去牙结石,而不是美白牙齿)
3、洗牙疼吗?会出血吗?(只要医生的操作方法和力度到位,洗牙是基本不疼的,至于出血这个情况,如果不是牙周很糟糕,少量的出血也是没关系的)
4、洗牙后牙齿怎么没变白?(答:洗牙主要是洗去牙结石,恢复牙齿本身健康的颜色)
5、小孩和老人可以洗牙吗?(答:可以,小孩子如果是色素沉着,只要喷砂即可)
6、多久洗一次牙合适?(答:根据口腔的健康状况,每年1-2次即可)
7、洗牙一般多少钱?(答:常规的普通洗牙一次300元左右)
如果大家觉得此文有用,就给我点赞或者评论吧,下期和大家来讲一下,为什么有时候洗牙后,医生还让你去做沈刮和牙周治疗?