
要为牙疼选好药,首先要清楚引起牙疼的原因和疾病的状况。临床上,最容易引起牙疼的疾病有牙髓炎、根尖周炎、冠周炎等。
牙髓炎
部分牙髓炎病人在用冷水刷牙时疼痛明显,而改用温水便觉得没那么痛;还有一些病人在吃饭喝热汤时也觉得痛,要等汤放凉了才能喝;如果继续发展,有的病人会无缘无故地痛起来,特别是到了晚上躺下睡觉后,会痛得更厉害,甚至影响睡眠。这就是医生常说的“冷热刺激痛、夜间自发痛”。
牙髓炎的炎症部位在牙齿中央的牙髓腔,药物要通过细小的根尖孔才能到达,可以说任何药物都不可能彻底治疗牙髓炎,所以牙髓炎“无药可治”的说法是有一定道理的。不少牙髓炎病人牙痛时病急乱投医,那些不专业的医生随便开点抗生素给病人用,结果完全不起作用。对于牙髓炎造成的疼痛,止痛药有一定的作用,而当疼痛剧烈时,止痛药的作用就不明显了。像“牙痛丸”一类的局部止痛药在疼痛轻微时可能有效,但并非好办法。当发生牙髓炎时,最好是找牙科医生,对病牙进行治疗和处理,在看牙医之前已经有疼痛的可以口服止痛药,其他药物建议都不用。
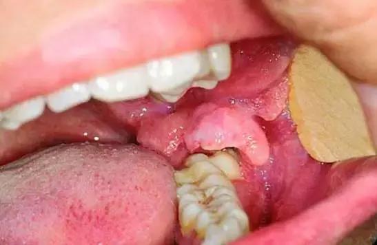
根尖周炎
一般情况下,牙髓炎进一步发展,细菌侵犯到牙根尖周围的组织便造成了根尖周炎。炎症早期病人会觉得牙齿有浮起感,容易咬到病牙,牙齿咬合时感到疼痛。早期由于炎症的范围比较小,使用抗生素和消炎止痛药对控制炎症虽有一些帮助,但意义不大。专业的牙科医生仍然强调局部引流和局部用药,医生通常会从牙齿疏通到根尖周围的组织,并在局部放置消炎止痛药物,如樟脑酚等。根尖周炎病人如果没有得到及时治疗,炎症范围扩大,可能出现面颊部红肿热痛、化脓,甚至出现发热、全身疼痛等症状。这时,就有必要对全身使用抗生素和消炎止痛药(广谱抗生素和灭滴灵即甲硝唑是常用的药物);疼痛者可以加用去痛片等止痛药,疼痛剧烈者还可以在病牙周围注射局部麻醉剂,如普鲁卡因等。
冠周炎
冠周炎多发生于下颌智齿萌出不全或阻生时,牙冠周围软组织发生炎症。炎症初期,病人觉得牙龈肿胀疼痛,咀嚼吞咽或开*活口**动时疼痛明显,随着病情发展疼痛加重;严重时还可出现不同程度的无法张口,甚至牙关紧闭。治疗以局部处理为主,常用生理盐水和2%双氧水冲洗局部,再放置碘甘油,最好每日1—3次,再用洗必泰漱口液漱口。如果有脓肿形成,应及时切开排脓。如果出现面颊部红肿热痛,甚至全身发热、疼痛等,可以使用抗生素和消炎止痛药,常用的药物也是广谱抗生素和灭滴灵(甲硝唑)等。
无论根尖周炎或冠周炎,如果病情得不到控制,容易形成口腔颌面部间隙感染,这时还可考虑静脉注射抗生素,医生应根据病人的情况选择药物,如青霉素等。
综上所述,牙疼时首先应考虑请专科医生诊治,先进行局部处理,必要时才使用抗生素和止痛药。市面上有一些药,声称能治疗牙痛、牙周疾病等,而事实上专业口腔科医生基本不开这些药,不经过局部治疗而仅靠药物是不能解决问题的,甚至还会延误病情。