医生,医生,我的牙齿烂掉了,赶紧帮我补上吧!
等到拍片检查完牙齿龋坏情况后......
医生:“嗯!可以去腐后帮你填充树脂材料。”
准备开钻!
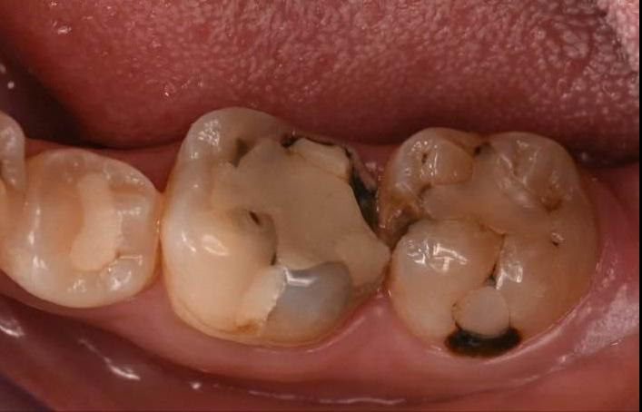
“慢着!医生,我叫你补牙,你为什么把我的牙齿钻了那么大一个洞?我的牙齿表面明明就只有几个黑点,几条黑线而已,为什么要钻那么大?你是不是坑我的?”

为什么医生修复龋齿时候要钻开那么大的牙洞?
1、看似微小的黑点,内部早已龋坏严重
很多人觉得牙齿表面看上去一个很小的牙洞,不应该钻那么大的牙洞,是属于过度治疗。然后并非如此!因为牙齿龋坏后,表面看上去只有几个点,其实内部已经龋坏很大了!因此,并非医生给你过度治疗。

2、去腐不干净,容易出现继发龋
此时肯定会有人觉得,那你只去除黑色的部分就好,其他的就不要去除,保留多点我的牙体组织。其实医生会根据龋坏程度,将龋坏部分完全去除掉,其中部分可能看上去还不是黑乎乎的,但是已经受到细菌感染,如果不将其以一同清理干净,后期容易出现继发龋。等到出现继发龋再重新修补的话,要面临去除更多的牙体组织,可以说是得不偿失。

烂牙不修复,小心牙根都烂完!
很多人对于烂牙不重视,其实,烂牙早修补不仅省钱,预后效果也会相对较好。
- 一期龋齿会有白色斑状,但是没有疼痛。此时要重视口腔清洁工作,使用含氟牙膏,预防龋齿的继续发展。
- 二期龋齿伤及牙本质浅层,对酸甜敏感。此时需要去腐修复治疗即可。
- 三期龋齿伤及牙本质深层,根尖对冷敏感,容易出现刺激性疼痛。此时可能需要根管治疗。
- 四期龋齿已经牙冠破坏,出现脓肿。此时需要根据牙根情况确定是否可以打桩保留,如无法保留则需要拔除后进行种植牙修复。
