
前言:
从医这么多年,每一次接诊的小儿急、重症都会给我留下非常深刻的印象,尤其是家长急切、担心、焦虑和夹杂着对医生的期望的脸,一幕幕情景就像过电影似得,时常在我眼前浮现。我深知医生这份职业对病人意味着什么。
春季是万木复苏、春耕播种的季节,是人们一年中充满期望的好节气。可是对于小儿来说,春季又是孩子各种疾病好发的季节,除了小儿呼吸道传染性疾病、全身变态反应性疾病外,小儿急腹症也是充满了很多不确定性的急危重症,因此,今天我们就给家长介绍小儿急腹症和急性肠套叠。
肠套叠在小儿急腹症中的发病率仅次于急性阑尾炎和崁顿疝,此病多是婴幼儿发病,而婴儿发病率又占其中的60%之多,更为重要的是肠套叠起病突然、病情变化快而易转为急危重症。婴儿又不能说,唯一表达方式就是“哭闹不安”,一旦发病,家长一筹莫展。这就是我们今天要介绍肠套叠的目的。

小儿急腹症
一、小儿急性肠套叠是怎么形成的?发病原因是什么?
这是一件真实的事情:有一天,一家人老老少少五、六个人,抱着3个多月婴儿,急匆匆直奔我办公室,爸爸说:孩子今天怎么了,撕心裂肺的哭了4、5个小时,越哄越哭,而且一天也没拉粑粑了。
于是,我们马上给孩子做了急诊腹部B超检查,果然是小儿急性肠套叠,继而将孩子送急诊做复位,几天后孩子痊愈出院。
但并不是所有孩子都这么幸运,有的小孩子因为没有及时发现和紧急送医院救治,肠套叠后发生肠梗阻、肠坏死及弥漫性腹膜炎,转瞬就会命悬一刻了。
说到肠套叠就绕不开小儿急腹症,因为它包括了多种小儿急诊性疾病如急性阑尾炎、肠套叠、肠扭转、崁顿疝、急性泌尿系结石、*丸睾**扭转等等;这些疾病的共同点都是以急性“腹痛”为主要表现,然而有各有特点,因此,在具体情况发生时,需要鉴别诊断。
其实,小儿急腹症是小儿外科最常见的一组症候群,具有起病急、病因复杂、病情变化快、婴幼儿主诉不清的特点,因此要早发现、早诊断、早救治。
1、什么是小儿急性肠套叠呢?

邻近肠管套入远端肠管
指由于各种原因婴幼儿的部分肠管及其肠系膜套入邻近肠腔,导致的急性肠梗阻,通俗的理解就是,大多数的肠套叠是近端肠管向远端肠管套入的疾病。
据医学统计,60%的患儿年龄在1岁以内,80%的患儿在2岁以内,也就是说婴儿发病占比最大,尤其3~4个月婴儿,新生儿尚无发病报道;男孩与女孩发病率为3:1~1.5:1,而肠套叠发病具有季节性特点,春季好发。
小儿肠套叠分原发和继发两种,95%为原发性,多为婴儿,只有5%的年长儿为继发性肠套叠,主要是器质性疾病如先天性肠道畸形、腹型癫痫等引起继发性肠套叠。
2、小儿急性肠套叠发病原因是什么呢?

宝宝肚子痛是肠套叠吗?
▶ 胃肠道发育不完善:由于婴儿肠道发育不完善,肠道回盲部游离度较大,肠壁薄易牵拉,加之肠系膜不稳定,神经调节功能差,肠蠕动缺乏节律性,稍微受外界刺激就会引起肠道蠕动紊乱,或牵拉肠壁引起肠套叠。
▶喂养不当:小儿消化系统发育不成熟,消化酶少,酶的活性差,胃酸分泌少,消化功能较差,因此喂养稍微不当,比如突然改变饮食习惯,频繁更换奶粉及冲奶粉浓度高、双乳糖不耐受、过早添加辅食等都可以引起胃肠功能紊乱,而发生肠道运动紊乱,加之春季孩子胃肠道消化能力差,容易积食和腹部胀气,引起肠管被套叠就成为自然现象。
▶胃肠道病毒感染:小儿肠道易受病毒感染如腺病毒及轮状病毒,当感染时易引起回肠的集合淋巴结增生和肿大,使局部肠壁增厚,形成肠位置的改变而构成了肠套叠,同时由于毒素的刺激,使肠蠕动增强,节律紊乱而发病。

腹泻
▶婴儿免疫反应:原发性肠套叠多数是1岁以下的婴儿,正是免疫功能低下的时期,受各种胃肠道刺激,包括环境、冷热及哭闹都会一过性的破坏免疫调节而发生肠蠕动紊乱,进而引起肠套叠。
▶消化道器质性改变:好发于年长儿,由于该年龄段孩子肠腔比较宽如肠道的梅克尔憩室翻入回肠内,造成肠套叠,但一般不会肠梗阻、肠坏死,这种情况多为继发性肠套叠,我们也称慢性肠套叠。
归结肠套叠发病原因:多因婴幼儿胃肠道发育不完善,受外界因素影响及刺激,引起肠蠕动节律紊乱,肠壁位置、结构改变而发病。简而言之就是各种原因引起的肠道功能紊乱、肠蠕动节律紊乱而形成的近端肠管套入远端肠管而引起肠梗阻的过程。
二、急性肠套叠有哪些临床表现(主要症状)呢?怎么和婴儿肠绞痛区别呢?(很重要)
1、临床表现:(决定何时送医)
▶腹痛:肠套叠起病“很突然”和“剧烈腹痛”。是一种有规律的、阵发性的绞痛。

腹痛(屈膝缩腹)
患儿腹痛表现:为“哭闹不安”。一般是哄不住的,屈膝缩腹、疼痛性面色苍白,持续10~20分钟稍有缓解,缓解中可以安静或入睡,但是,间歇5~10分钟或稍长又反复哭闹,形成“哭闹-安静-哭闹”的节律。阵发性腹痛是由于肠系膜受牵拉和套叠引起的强烈收缩。
▶呕吐(肠梗阻):由于肠梗阻引起阶段性呕吐,初期是条件反射性呕吐,一般是呕吐胃内物如乳块和食物残渣,中期吐胆汁,晚期吐粪便样液体。即“早吐乳-中吐胆汁-晚吐粪”的过程。

呕吐(胆汁)
▶血便(肠穿孔):有85%的病例在发病后6~12小时,排出果酱色的粘液血便,这是肠坏死及肠穿孔的重要体征。病初一般大便可以是正常的,渐渐地发现大便越来越少直至无大便,最后血便。大便转变过程为:黄色便-少(或无)便-血便(果酱色)。

果酱样大便
▶腹胀(弥漫性腹膜炎):小儿腹壁薄,在中晚期外观腹型可见肠形和腹部包块;晚期腹部膨隆、腹腔积液、腹肌紧张,是肠坏死和弥漫性腹膜炎的表现。单手触诊上腹部右侧有“腊肠样”的包块。
▶全身情况:早期患儿一般情况如精神状态、吃奶、大小便、体温如常。在发病晚期,患儿一般情况差,表现为精神萎靡、不吃、不哭、不动和反应差;进一步的会出现严重的感染中毒症状,面色苍白或发绀、发热或体温不升、无尿等休克的表现。
我们来点干货:临床表现有一哭(腹痛)、二吐(胆汁、粪液肠梗阻)、三血便(果酱色肠坏死),外加一个“肚子胀”,最后“打蔫了”。
小贴士:这个“蔫”是指孩子的精神状态和一般情况不好的表现。不是有句老话说:孩子的病可不是装出来的。请家长牢记:精气神是病情轻重的风向标,只要觉得孩子“蔫了吧唧”的就不要犹豫,麻溜得上医院去,不要等到呕吐、血便就晚了。
2、肠绞痛与肠套叠的区别:
我们已经了解到,当今的宝爸宝妈们已经精于带孩的业务了,早就了解了婴儿期“肠绞痛”是怎么回事,在前面文章中我们也反复介绍过,这里就一带而过。
“肠绞痛”是一种婴儿期胃肠道生理反应,只是两者的“哭闹”各有千秋,肠绞痛的“哭”是没有规律的,由于肠痉挛,宝宝往往在哭的时候是头向后仰、四肢乱蹬,不用怎么哄他自己就不哭了,因为毕竟不是“病”嘛,再说宝宝的小肚子是柔软的,和平时没两样,往往家长会以为宝宝“闹吃、闹睡”呢。这样就区别清楚孩子是病不是病了。

哭闹(肠绞痛无规律)
三、小儿急性肠套叠需要做哪些检查可以明确肠套叠呢?
前面我们已经说了这么许多判断肠套叠的方法,但是,疾病的诊断我们不能只凭病史和人工分析、物理方法做临床诊断,最终还是要靠临床实验室诊断才是科学依据,因此,家长要接受必要的辅助检查:
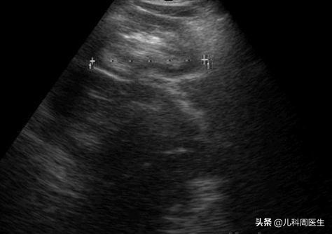
▶腹部B超检查:通过B超在套叠的部位可见类似“同心圆”或“套筒样”超声影像,方便、快捷,无辐射。另外一种就是B超监视下水压灌肠,可以诊断和治疗同时进行。

同心圆样改变
▶空气或钡剂灌肠:是X光线下在孩子肛门注气,可见“杯口”样影,同时可以帮助复位。钡剂是用于慢性肠套叠。
总之,医院基本上是利用辅助检查的机会,同时将早期未发生肠梗阻及腹膜炎的病例进行复位治疗。
四、急性肠套叠有没有办法紧急处置呢?什么情况下手术?
其实,已经反复重申了急性肠套叠是婴幼儿的一种危急生命的急症,因此,我们要早发现、早诊断,其次是紧急复位是此病的最佳治疗措施。
在处理肠套叠要时刻记住的是一个关键时间:48小时内紧急措施
▶保守疗法:如果在发病48小时内,孩子全身状态良好,肚子不胀,而且无明显脱水的表现,医生就会用气灌肠疗法使肠管复位,成功率可达95%以上。

气、钡灌肠复位
▶手术治疗:如果孩子套叠的超过48~72小时,或时间不长但病情严重,孩子排果酱色血便,腹胀严重,就可疑是肠梗阻、肠坏死和腹膜炎发生,需要紧急手术治疗。
小贴士:越是早到医院处理,孩子就少一份危险。当然,家长也要警惕大约有5%~8%的孩子复位后会再有复发的可能,而且是气、钡灌肠复位比手术复位复发率高。家长要注意,不要以为这次复位了,下次不会再被套住,有少部分孩子复发几率,一般孩子2岁以后发育越来越成熟,就不太有肠套叠发生。
五、小儿肠套叠可以预防吗?怎么预防?
说起肠套叠的预防,无疑比治疗超前,预防也是基于发病原因进行的,前面也介绍了,肠套叠是肠道功能紊乱,导致的肠蠕动节律紊乱而被套住,因此我们主要从喂养、感染、环境等方面着手:
▶合理喂养:喂养要规律,鼓励母乳喂养,母乳喂养的好处已经反复介绍,人工喂养最好选择不同年龄段配方奶粉,不可随意或经常更换奶粉,增加胃肠负担、和乳糖不耐受的机会;不可过早添加辅食,6个月后循序渐进的添加辅食,转乳期最好用强化铁米粉过度。
▶加强饮食卫生:孩子奶瓶及其他奶具母乳清洗消毒,并干燥独立放置,注意每日口腔卫生,避免霉菌性口腔炎发生。坚决不给孩子用过期食品,冰箱的乳制品要加温。
▶注意孩子腹部保暖:孩子刚哺乳有一个消化过程,因此腹部保暖非常重要,一旦着凉可能引发肠道功能失调,我们在日常护理时,腹部要加一件类似于肚兜,睡觉时注意腹部盖好被子。
▶注意气候变化:一般气候变化也会影响孩子胃肠道功能,特别是秋季转凉,肠道轮状病毒感染引起腹泻,自然会胃肠功能紊乱,春季也是如此,所以一方面注意饮食卫生,其次注意保暖。
▶注意不要过度哭闹及刺激:过度哭闹,情绪激动,容易形成肠胀气而肠蠕动紊乱,所以,孩子如果过度哭闹是要耐心安抚,同时寻找哭闹的原因,及时处理。

综上所述:小儿急性肠套叠是急腹症的一种疾病,婴儿发病率较高,而且病情变化快,肠套叠的发病主要是饮食喂养不当、感染等导致肠道功能紊乱及肠蠕动节律性紊乱,引起肠套叠,所以我们以预防为主,同时,要了解肠套叠的主要表现,早发现、早诊断、早期复位治疗。