作者:Elizabeth A. Jones 2,BJ Manaster 3,David A. May,David G. Disler
丹佛科罗拉多大学健康科学中心放射科
学习目标
•认识到神经性 骨关节病的 放射学表现。
•列出可能与神经性骨关节病相混淆的其他疾病。
•描述神经病变 骨关节病的 鉴别诊断,重点是骨骼位置。
神经性骨关节病代表了与神经感觉缺陷相关的一系列骨和关节破坏过程。本体感受的丧失,已被认为是该疾病发病机理的致病因素。患有糖尿病,脊髓空洞症,梅毒和其他神经病的患者易患此病,脊髓或周围神经可能出现感觉缺陷。正确的放射诊断很重要,因为骨和关节疾病的根本原因可能无法检测到,并且放射学检查结果可能与骨关节炎,感染或肿瘤相混淆。在这篇文章中,我们列出神经骨关节病的可能原因(表),简要讨论该病的病理生理学的两个主要理论,并描述所遇到的放射学形态。然后讨论临床困境和骨骼位置特有的其他放射学细节。



临床表现
神经性关节病关节逐渐肿大、不稳、积液,关节可抽出血样液体。肿胀关节多无疼痛或仅轻微胀痛,关节功能受限不明显。关节疼痛和功能受限与关节肿胀破坏不一致为本病之特点。晚期关节破坏进一步发展,可导致病理性骨折或病理性关节脱位。
影像学检查





图1:45岁男性,肩关节神经性骨关节。 (a)X线片显示类似于截肢的骨溶解,具有明确的边缘。 在剩余的肱骨中维持正常的矿化。 碎屑排列在扩张的关节囊,肩胛下凹陷(黑色箭头)和腋窝凹陷(白色箭头)。 (b)颈椎的T1加权自旋回波MR图像(重复时间毫秒/回波时间msec = 500/20)有助于确认是否存在空洞(箭头)。 (来自美国放射学院[ACR]学习档案,MSK案例235.)



图2: 76岁女性,初步诊断软骨肉瘤,最终为神经性肩关节。 (a)X线片显示了神经病理性关节病的经典发现,包括类似截肢(箭头),脱位和碎片(箭头)的肱骨头破坏。 (b)T2加权自旋回波MR图像(2,550/96)显示大的关节积液和骨化碎片(箭头),位于充满液体的关节中,而不是在软组织肿瘤中出现。 (c)CT扫描显示扩张的关节囊内的碎片(箭头)。



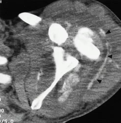
图3:患者28岁,T8截瘫,肩部神经性骨关节病。 (a)胸部X线片显示左盂肱关节实质性破坏(实线箭头)。 注意脊柱固定硬件(空心箭头)。 (b)轴向CT扫描显示由低衰减液体扩张的关节内衬的骨质碎片(箭头)。 (c)颈椎的T2加权自旋回波MR图像(2,400 / 80)显示广泛的空洞。


图4:正位X光片显示一名患有麻风病的42岁男子的手。“截肢”和畸形是最常见的,是由于手无知觉的创伤和感染造成的。 拇指的远端指骨具有类锥形改变,有时这种改变可以在指骨的神经性骨关节病中看到。



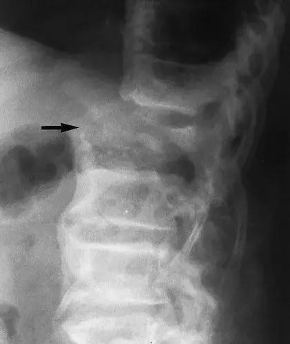
图5: 66岁女性,糖尿病引起的轴性神经性骨关节病。 (a)腰椎的侧位X线片显示T12的破坏(箭头)和后半脱位。 (b)T12椎骨的轴向CT扫描显示椎管内的骨质碎片(实线箭头), 后部附件破裂碎片,表明神经病因。 多个活组织检查样本未能显示感染或肿瘤。



图6:45岁男性患有神经性脊柱,C6平面下的四肢截瘫,合并新的长束征( long-tract signs)(a)侧位X线片显示T7至T9椎体的破坏性,伴有半脱位,终板破坏(箭头),硬化(箭头)和骨赘形成。 (b)矢状T2加权自旋回波MR图像(4,000/96)显示脊髓硬膜外椎体的压迫(箭头); 然而,没有椎旁肿块或硬膜外脓肿。

图7:侧位X线片显示一名36岁男性截瘫患者的神经性脊柱,其中有部分椎体切除术和支撑移植物(黑色箭头),和后脊柱棒治疗的L1爆裂性骨折的病史。 可以看到L3-4,L4-5和L5-S1(白色箭头)处的终板的破坏。 L3至L5椎体的密度增加有利于神经性骨关节病的诊断。


图8:50岁男性,三期梅毒,膝关节的神经性骨关节病。X线片显示胫骨平台受到冲击和破碎(黑色箭头)。在小腿内侧(白色箭头)软组织内可见骨碎片,远离关节。 (来自ACR学习档案,MSK案例234.)

图9:68岁男性,患有长期神经梅毒,膝关节的神经性骨关节病。X线片显示 股骨远端变形,形状像鸡腿。 胫骨横向半脱位,伴有外翻角。 存在明显的关节周围骨质碎屑。 在梅毒患者中,骨关节病最常影响膝关节。


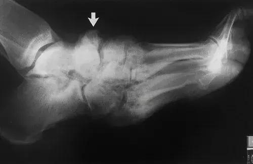
图14:63岁女性糖尿病患者,中足的肥厚性神经病性骨关节病。侧位X线片显示骨赘(箭头)大于典型的骨关节炎。 这种外观被称为“osteoarthritis with a vengeance”(18)。

图15:27岁女性糖尿病人,踝关节的神经性骨关节病。侧位X线片显示了大的踝关节积液,其具有碎裂和胫骨关节塌陷(实线箭头)。 存在微血管钙化(空心箭头),表明糖尿病是神经性骨关节病的原因。 虽然不如脚的神经性畸形常见,但糖尿病神经病变患者也会发生神经性踝关节改变。

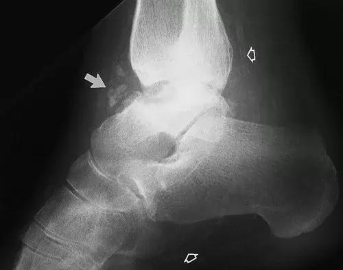
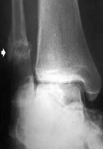
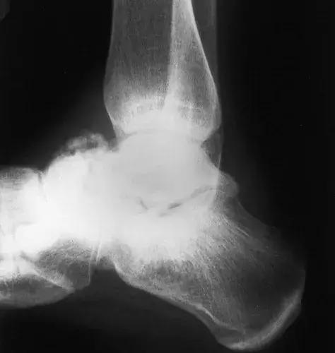
图16:60岁女性糖尿病人,胫骨关节的神经性骨关节病。侧位X线片显示胫骨远端和距骨(箭头)的再吸收和碎裂,明显的硬化,骨赘和骨膜炎(箭头)。

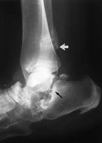
图17:42岁男性糖尿病人,踝关节和后足的神经性骨关节病。侧位X线片显示胫骨远端破坏吸收,并且具有类似于手术截肢的尖锐边缘。 距骨圆顶被吸收。 存在硬化,并且不再能够识别距下关节(箭头)。



图18:63岁女性的糖尿病,腓骨自发性骨折和足部神经性骨关节病。踝关节的正位(a)和侧位(b)X线片显示距下关节破裂(b中的黑色箭头),爪状半脱位和远端腓骨骨折(a和b中的白色箭头)。(c)X线片描绘了第二跖骨头部的塌陷(箭头)。 骨吸收导致跖骨头扁平化和碎裂。 注意到第一和第四脚趾的“截肢”和血管钙化。


图19:27岁女性,糖尿病患者,距舟关节神经关节病的发展。(a)侧位X线片描绘了软组织肿胀和积液(箭头),距骨前部的早期骨碎裂。 (b)1年后获得的侧位X线片显示该关节处的破坏,硬化和骨碎裂。 在跖趾关节之后,距舟关节(talonavicular)关节是第二个最受青睐的部位,涉及足部糖尿病神经性骨关节病。 (来自ACR学习档案,MSK案例233.)


图20: 65岁糖尿病男性的神经性关节病。 轴向质子密度加权自旋回波(2,500/45)(a)和矢状面反转恢复(4,000/60/160 [反转时间msec])(b)MR图像显示内侧距骨脱位和积液。 踝部和足部周围存在广泛的软组织水肿。 由于缺乏交感神经血管收缩,在神经性骨关节病中常见软组织水肿。

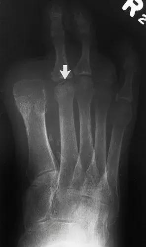
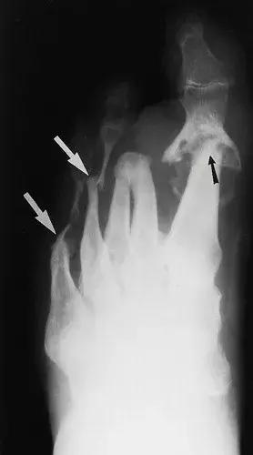
图21:42岁糖尿病女性,前足的神经性骨关节病。X线片显示 萎缩的变化导致了“尖头骨”(白色箭头)。第一跖趾关节具有研杵形态(黑色箭头)。 前脚的萎缩性神经性骨关节病。

图22:52岁糖尿病男性,舟骨-跖骨关节的神经病理性破坏。侧位X线片显示舟骨的破坏吸收。神经性骨关节病通常更早涉及脚的内侧,比外侧柱更频繁。


图23:28岁男性,T7以下截瘫,双侧神经性髋关节。正位X线片显示右侧髋关节萎缩,截肢外观(实心箭头),左侧臀部显示肥厚性硬化和碎裂(空心箭头)。 显示双侧脱位。

图24:36岁女性,患有酒精性肝硬化和3个月髋部疼痛,否认外伤。X线片显示骨折,骨折延伸到股骨颈(箭头)。 这种形态不是典型的创伤性损伤或缺血性坏死,并且被认为代表早期Charcot髋部的神经性骨折。


图25:10岁女孩,患有脑膜脊髓膨出,自发性骨折。X线片显示由于持续活动导致的股骨横向(黑色箭头)错位,以及旺盛的愈伤组织(白色箭头),通常见于神经病学起源的骨折中。


图26:17岁男孩,先天没有疼痛直觉。X光片显示:(a)左膝脱臼并变形, 左侧胫骨内侧存在旧的应力性骨折(箭头)。 (b)右脚踝显示严重的萎缩性神经病变,伴有距骨消失和跟骨骨的机械性侵蚀。 注意胫骨和腓骨的截肢外观(箭头)。 (来自ACR学习档案,MSK案例236.)


图27:对一名17岁男孩的先天性疼痛不敏感。 (a)膝关节的正面X光片显示股骨髁的破坏和碎裂(箭头)。 (b)矢状T2加权自旋回波MR图像(2,500/80)显示骨软骨游离体(箭头)漂浮在巨大的关节积液中。

来源:影领学苑
【版权声明】本平台属公益学习平台,转载系出于传递更多学习信息之目的,且已标明作者和出处,如不希望被传播的老师可与我们联系删除