导读做完血常规检查后,看着密密麻麻的化验指标,病人常常会一头雾水:“这些指标代表什么意思呢?”还是那张图片,上次讲的是【血红蛋白】,这次我们聊聊【白细胞计数】这个指标。

白细胞减少
定义
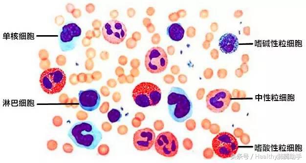
白细胞有五种,按照体积从小到大是:淋巴细胞,嗜碱性粒细胞,嗜中性粒细胞,嗜酸性粒细胞和单核细胞。

白细胞计数参考值:(4~10)10^9/L
肿瘤化疗中主要参考中性粒细胞,中性粒细胞的参考值范围:(1.7~7.7)10^9/L
根据CTCAE分级,可知二级以上需注意,三级需要马上联系医生进行处置,四级可危及生命。

病因
导致白细胞计数低的原因有很多,比如:再生障碍性贫血、系统性红斑狼疮 、脾功能亢进等等……

而对于正在接受化疗药物治疗的恶性肿瘤患者来说,细胞毒类化疗药物的骨髓抑制作用往往是【白细胞计数】降低的主因。
导致【白细胞计数】降低的化疗药物见下图

很多肺癌患者紧张了,正在服用的药物【特罗凯】,是否也会导致【白细胞计数】降低呢?
一般的靶向治疗并不损伤白细胞,不会造成重度骨髓抑制。
风险
虽然风险较低,但万一我们不幸中招,不及时治疗,会有什么后果呢?

专家共识指出:白细胞 减少程度和持续时间与患者感染风险增加相关,当患者发生感染后,会导致化疗剂量降低或治疗延迟,从而降低临床疗效,出现严重感染时,甚至可死亡。
一项由西班牙巴塞罗那医院血液肿瘤科及传染病中心的学者进行的前瞻性研究,亦能佐证该点。
研究结果示:菌血症性肺炎常见于癌症合并白细胞减少的患者中,同时菌血症性肺炎患者早期(48h)病死率24%,总(30天)病死率为46.2%。
由此可见,感染一旦发生,往往危及生命。
治疗方法
药物治疗
那万一出现白细胞减少症时,我们就需要用到重组人粒细胞集落刺激因子。这是一种人工合成的促进细胞增殖,分化,激活的细胞因子。

主要用于细胞毒类化疗药物治疗后出现的白细胞减少症,具体使用需遵循主管医生医嘱,切勿私自使用。
同时可选择经验性抗菌药物治疗
在感染危险度和耐药评估后应当立即经验性使用抗菌药物。初始经验性抗菌药物治疗旨在降低细菌感染所致的严重并发症和病死率,其原则是覆盖可引起严重并发症或威胁生命的最常见和毒力较强的病原菌,直至获得准确的病原学培养结果。
因此,有效的经验性抗菌药物治疗需要综合评估患者(危险度分层、感染部位、脏器功能、耐药危险因素)、细菌(当地以及本单位/科室的流行病学和耐药监测数据)以及抗菌药物本身(广谱、药物代谢动力学/药物效应动力学、不良反应等)等多方面因素,选择具有杀菌活性、抗假单胞菌活性且安全性良好的广谱抗菌药物,并需注意与治疗原发病药物(如造血系统肿瘤的化疗药物、免疫*制剂抑**等)之间是否存在不良反应的叠加。
日常防护
除了药物治疗,作为患者平时应注意预防,以下是预防小窍门:
1、勤洗手
2、尽量避免到人员密集的地方,出行戴口罩
3、不要与他人共用食物,杯子,餐具,其他日用品
4、肉和蛋要煮熟,确保杀死细菌
5、使用软牙刷清洁牙齿牙龈(如果医生或护士建议,可使用漱口水预防口腔)
6、病房需要单间
7、定期紫外线消毒
8、预防性使用抗生素
身体表现
身体出现以下症状时需及时就医
1、发热,体温≥38℃ 长达1小时或单次温度≥38.5℃
2、寒战,出汗
3、出现咳嗽或者原有的咳嗽性质发生改变
4、喉咙痛
5、呼吸急促
6、鼻塞
7、颈部僵硬

病人去了急诊室,一定要和医生强调,自己正在接受化疗(靶向治疗),有发热的迹象,可能是感染。
结语
白细胞减少是化疗后的常见症状,其可增加感染的风险。本文通过介绍白细胞的定义、病因、风险、药物治疗、日常防护和身体症状等方面,让患者更深入的了解并学会如何去预防和应对化疗后白细胞减少。每个患者的体质状况都不同,表现出来的症状也是不一样的,建议大家在日常生活中多注意观察。身体出现问题后,请大家及时到医院就诊。
文章读完了,恭喜你知道了白细胞减少的病因、风险、症状以及治疗方法。
参考文献
1.Zhou J G, Tian X, Cheng L, et al. The Risk of Neutropenia and Leukopenia in Advanced Non-Small Cell Lung Cancer Patients Treated With Erlotinib[J]. Medicine, 2015, 94(40):e1719.
2.Gudiol C, Royo-Cebrecos C, Laporte J, et al. Clinical features, aetiology and outcome of bacteraemic pneumonia in neutropenic cancer patients[J]. Respirology, 2016, 21(8):1411-1418.
3.中国重组人粒细胞集落刺激因子在肿瘤化疗中的临床应用专家共识