“现在已经(术后)三个多月了,孩子的癫痫没有再犯过,终于回到正常人的生活了!”今天是小文复查的日子,父亲开心的对赵萌主任说着,爽朗的笑声不绝于耳。
据回忆,两年前小文突发癫痫,之后每隔一两周就会发作一次,发作时出现意识丧失、四肢抽搐等情况。近半年,小文又出现声音变粗、性早熟、晕厥等情况,两年间,小文尝试了多种治疗病情仍然不能控制,严重影响到正常生活和学习。经当地医院影像学检查发现,位于下丘脑直径约3毫米的错构瘤是引起癫痫发作的主要原因。
什么是下丘脑错构瘤
下丘脑错构瘤(HH) 又称灰结节错构瘤、下丘脑神经元错构瘤,是临床极为罕见的先天性脑组织发育异常性病变,是发生于下丘脑下部或灰结节区的异位神经组织,而并非真性肿瘤。主要有性早熟、痴笑性癫痫、部分病例可伴有其他类型癫痫或行为异常等表现。
小文的下丘脑错构瘤通过狭窄的基底部附着于下丘脑底,但不来源于下丘脑,第三脑室无变化。小文的症状表现为性早熟,通常药物治疗效果有限,后期癫痫会进一步发展,下丘脑错构瘤因为病灶位置深、毗邻重要功能结构,所以一直被认为是神经外科手术的禁区,传统治疗主要以开颅手术为主,但开颅手术治疗下丘脑错构瘤,不仅手术风险大、创伤大,而且完全切除难度大,并发症高,往往易出现下丘脑综合症,包括高热、激素代谢紊乱、电解质紊乱、尿崩等并发症,术后住院时间长达3—4周,并且可能需长期应用激素治疗,导致患者生活质量差。
难道小文的下丘脑错构瘤就真的没有更好的办法了么?

赵萌主任手术
经多方打听,小文父亲找到河南三博脑科医院功能神经外科专家赵萌主任。赵萌主任2011年加入首都医科大学三博脑科医院成为栾国明教授的学生及功能神经外科团队核心成员,2012年3月28日三博引入ROSA机器人用于开展立体定向脑电图后便在栾国明教授团队学习机器人手术,已拥有10余年的机器人手术经验,擅长机器人辅助下的病变穿刺活检、DBS手术和立体定向颅内电极(SEEG)植入及SEEG毁损手术,特别是针对下丘脑错构瘤、微小灰质异位以及局灶皮质发育不良的电极精准植入及射频毁损治疗经验丰富,平均每年完成SEEG电极植入约400-500根,共参与完成各类功能神经外科手术3000余例。
赵萌主任多年来在神经外科领域多年深耕不辍,对各类功能性神经和精神疾病的临床诊疗和研究有丰富的临床经验。目前不仅担任首都医科大学三博脑科医院功能神经外科副主任,同时担任河南三博脑科医院功能神经外科主任,为河南及周边患者服务。

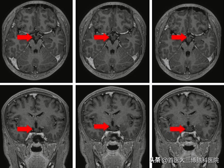
术前头部核磁共振,箭头所示为病变位置

头皮脑电图并未监测到异常的放电
经过充分的术前准备,赵萌主任及功能神经外科张旭光副主任、段磊医生团队为小文制定了详细的手术计划,根据病灶的初步定位,通过在头部近3毫米的微创创口,利用机器人对病灶进行精准定位后,顺利植入了两根颅内电极,通过视频脑电图监测进一步监测,明确和验证致痫灶位置后,分两次进行在SEEG电极引导下对致痫病灶进行射频热凝毁损,加热并破坏致痫病灶。
下丘脑错构瘤对于瘤蒂的处理非常关键,处理好瘤蒂才能保证术后的效果。患者三维的头部核磁共振发现病变形态特殊,仅有两个很细的瘤蒂从两侧与脑组织相连,瘤蒂直径最细的地方约1mm,最粗的地方也不超过2mm;如何将直径为0.8mm的电极精准的穿过瘤蒂,成为手术的主要难点,如果有任何哪怕0.5mm的偏差就有可能使电极位置偏移而监测不到异常的放电也无法通过毁损起到彻底阻断放电传导的效果。手术计划最终设计了两根电极,分别沿两侧的瘤蒂长轴穿过,保证对瘤蒂的彻底处理。在成功“消灭”了患者颅内的错构瘤后,将电极安全取出,既保障癫痫灶毁损、又保护了手术的安全性,解决了小文多年癫痫发作的问题。

电极植入术后融合照片
电极位置良好 完全覆盖瘤蒂

SEEG显示脑电图并监测到异常的放电

毁损后SEEG监测结果未见异常放电
电极植入(SEEG)毁损技术治疗下丘脑错构瘤有哪些优势?
近年来机器人及立体定位(SEEG)颅内电极技术飞速发展,越来越多的患者采用微创的电极植入(SEEG)毁损技术治疗下丘脑错构瘤。那么颅内电极植入(SEEG)下毁损技术究竟有什么神奇之处?
微创
颅内电极植入(SEEG)下丘脑错构瘤(癫痫病灶)热凝毁损术。这是一种不开颅就能将病变“清除”,同时根治难治性癫痫的创新手术方式,它颠覆了传统的脑肿瘤切除和癫痫治疗理念,具有微创的特点,借助手术机器人的优势,仅需一个几毫米创口,再配合手术医师精细手术操作,尽可能减小对患者周围正常组织的损伤,保护正常解剖结构和功能,大幅度降低手术对患者神经功能的损伤。
精准
利用机器人对病灶进行精准定位后,放置几根颅内电极,深入脑组织内部探测癫痫样放电,立体定向电极的多触点在空间上构成立体的空间网格结构,从大脑皮层到深部进行立体式、更广泛的空间记录,通过三维重建(3D)规划电极植入路径,精确到毫米,更加精准地对致痫灶异常放电区域进行定位,使遗漏病灶的可能性降到最低,同时根据术前影像模拟,规避电极路径上的血管,在SEEG精准监测下毁损,确保致痫灶的有效毁损,同时保证手术的安全性。
控制癫痫发作
多项研究报道:对于一些局限性病变引起的癫痫,SEEG热凝毁损后大部分患者的癫痫发作可以得到控制,且对于大脑功能的影响及术后不良反应明显低于开颅手术。
赵萌主任表示:大部分癫痫灶通过SEEG引导下的射频热凝毁损的方式,大部分患者都有减轻的表现。
相比于传统的开颅手术创口大、恢复慢、易损伤周围神经结构,这是一种全新的手术方式,SEEG热凝毁损的优势就是安全精准、微创和效果。术后小文的癫痫未再发作,且脑电图提示既往HFO消失,复查影像效果理想,机器人引导立体定向脑电图技术在热凝毁损错构瘤技术上优势显著。
供稿:河南三博脑科医院