囊肿是医学临床很常见的一种问题,这种情况包括肝囊肿,肺囊肿,胆囊肿等,很多人在体检的时候,发现身体中有囊肿,会变得很焦虑。
因为总是无限的遐想,害怕囊肿是身体癌症的信号,如果没有得到及时治疗,会使病情严重,但在这里告诉大家,部分囊肿不需要过度治疗。

对囊肿的认知
医学界,普遍将囊肿划分良性级别范围,因为大部分囊肿是良性的,不用额外的治愈,囊肿长在身体的表面,自己摸皮肤,能够摸到包块,这些包块部分是囊肿,也可能长在内脏中。
导致囊肿的原因比较多,很可能是先天性所导致,比如(多发性脂囊瘤,皮样囊肿,毛根鞘囊肿)也或许是由于炎症所引起,常见的囊肿有乳腺囊肿,皮肤囊肿以及卵巢囊肿。

大家会将囊肿以及肿瘤混为一谈,其实这两种完全是不同的概念,肿瘤是一种囊状的包块,里边含有液体(血液、分泌物、渗出液)绝大部分情况下,不会出现癌变可能,而肿瘤是组织异常所形成,除了液体之外,包含血管等物质,而且能够扩散以及转移,和囊肿是完全不同的。
大多数的囊肿能够随着身体免疫力的增强和内分泌调节缩小,部分囊肿却需要手术切除才能够治疗。

01
医生提醒:大多数囊肿无需处理,如果囊肿出现在3个地方,要注意
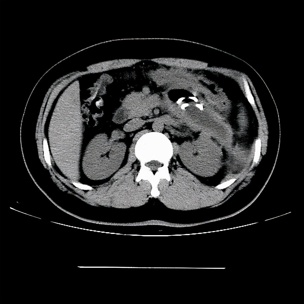
1、肝囊肿
肝囊肿应该算是常见的肝病,多发于20岁到50岁左右,当然年轻人被查出这类情况表面没有特征,对身体健康没有影响,需要做到定期复查,有部分的肝脏肿瘤可能像肝脏囊肿,所以进行多方面的体检。
复查的时候,一旦病情恶化或是发展速度比较快,体积较大,甚至压迫周围的器官以及组织,伴随炎症感染,需要及时进行手术来切除。

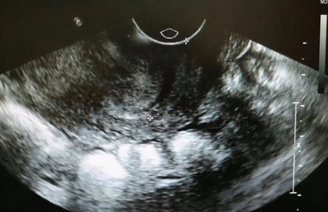
2、卵巢囊肿
卵巢囊肿指的是卵巢出现肿块,分为生理性的卵巢囊肿以及病理性的卵巢囊肿,生理性的卵巢囊肿不用治疗,需要定期复查就可以,每月月经结束到医院复查,即可消失。
病理性的卵巢囊肿无法消失,需要警惕,患者需要尽快到医院检查确定性质,如果是肿瘤,需要到医院进行切除。
卵巢囊肿不会有很明显的症状,当卵囊肿体积增大,会出现压迫感,比如腹部坠痛,卵巢囊肿多发15~50岁的女性,以及有明显家族史的人群,家族患卵巢癌以及乳腺癌的患者可进行相关的检查,结果为阳性,或囊肿速度增快,均有癌变的可能。

3、胰腺囊肿
胰腺囊肿和大多的良性囊肿是不同的,相对风险比较大。
如果是胰腺假性囊肿,可能是急性胰腺炎以及胰腺创伤导致的并发症,如果囊肿较小,在一两个月左右能够消失,也可以进行手术引流,因为囊肿破裂会出现感染。
需要提醒,如果存在通过鉴定是肿瘤性胰腺囊肿,会有癌变的可能,需要及时采取措施,毕竟胰腺癌被称之为"癌中之王"和胰腺相关病都不能忽略。

02
怎样才能预防囊肿形成?
(1)坚持运动
身体的免疫能力出现下降,会使内分泌出现失调,代谢出现异常,很可能会使囊肿出现,坚持运动不仅仅能够缓解身体的不适,而且能够使免疫力提高,预防疾病。
建议大家需要坚持运动,不必特意追求运动时间以及场所,只要想到了就可以运动一下,20分钟,半小时都可以。

(2)注意饮食健康
饮食是一个特别需要注意的点,现在人们都比较喜欢吃高脂肪、高热量类的食物,这类食物不仅仅会出现发胖,而且对于身体健康是不利的,建议大家保持健康的饮食习惯,多吃蔬菜和水果,补充足够的蛋白质和膳食纤维,香烟,酒水最好不要碰。