90后、00后的小朋友们可能对四环素这个名字不太熟悉,想想在60、70年代,四环素几乎是每个家庭的常备药,跟万能的板蓝根似的,有点头疼脑热就吃点。

四环素什么来头?
然鹅,这种药在我国1982年卫生部发出《关于淘汰127种药品的补充通知》中明确规定,儿童换牙期前禁用四环素、土霉素制剂。但换牙后不在此限,妊娠期和授乳期的妇女,也不宜使用。
四环素是什么来头?竟然被限制使用了……这要再往前数个20年。1956年四环素应用于临床,被认为对儿童和孕妇是安全的,直到1961年国外医生开始报道这种药物对儿童骨骼和牙齿的影响,随后报道越来越多。

1970年左右,美国就开始严格控制8岁以下儿童和孕妇四环素的使用。相比之下,国人对四环素的认知晚了很久,加上这段时间正好是我们国家的生育高峰期,因此这一时期患四环素牙的人数众多,很多明星也有患,比如《还珠格格》里的小燕子,不信可以去翻翻当年的剧照。
四环素牙怎么来的?
高发人群:妊娠和哺乳的妇女,以及8岁以下儿童。
四环素牙并不是四环素一种药造成的。它是指四环素族药物引起的着色牙,这类药物属于广谱抗生素,包括四环素、金霉素、地美环素和土霉素。
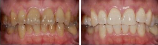
若在牙的发育矿化期(7、8岁前)服用四环素族药物,会被结合到牙组织内,使牙着色;四环素还可在母体通过胎盘引起乳牙着色。牙齿就成了这样:

虽然牙齿着色程度和剂量、服用时间成正比,但业界也认为,缩水四环素、地美环素、盐酸四环素引起的着色比土霉素、金霉素明显;前牙比后牙着色明显;乳牙着色又比恒牙明显。
另外,四环素对光非常敏感,日光和紫外线都可使其变色,随时间的推移,从浅黄、深黄、黄褐、浅灰到灰黑,牙齿变色还会逐渐加深。

四环素牙有什么危害?
1.牙不好看。你可能想说牙不好看能算危害?从小牙不好看,黄、缺、丑,这都被会同龄的孩子取笑,会造成孩子一辈子的心理阴影。所以这怎么能不算是危害呢!
2.引起釉质发育不全。牙釉质发育不全,会给牙齿带来很多问题,比如导致牙齿硬组织缺损,龋齿也更容易发生。
四环素牙治疗办法:
目前常见的四环素牙治疗方式有冷光美白、贴面美白和美容冠修复几种。具体按四环素牙的轻重程度修复方式又可分为:
轻、中度四环素牙——冷光美白
重度四环素牙——牙齿贴面、美容冠

当然这些都只是给到的建议,个人情况不同,治疗方案则有差异。比如还存在严重釉质发育不全、釉质完全丧失时,选择美容冠修复效果更好。它能在美白的同时还能保护牙釉质,有美牙不拔牙,无痛苦,时间短,牙齿坚固,多年后牙龈不会出现黑线等优点。
以上治疗方法均是针对成年人的,儿童四环素牙治疗应注意年龄。因为刚长出的恒牙其牙根还处于生长发育阶段,像漂白脱色这些治疗办法容易刺激到牙髓部分。为避免刺激到牙髓,应延期待牙齿发育较完全以后进行治疗。