胃镜活检报告常常会有这些令人眼花缭乱的描述:
“慢性炎症(++),肠化(+++),不典型增生(+),活动性(++)”......或报告为“慢性浅表性胃炎,中度活动性,伴有灶性肠化,轻度不典型增生”;有的报告为“慢性萎缩性胃炎,重度,中度肠化,部分区域重度不典型增生”等。
看到这些,很多朋友如坠雾中,不知所云。今天就来教大家如何读懂胃镜病理报告!

一般来说,胃镜是肉眼所见的胃黏膜改变,给出的诊断相对粗犷一些。比如,诊断“慢性浅表性胃炎伴有出血”、“慢性萎缩性胃炎伴有胆汁反流”。
活检病理学检查则是从细胞学基础上给出的诊断,是通过光学显微镜下观察到的胃黏膜改变。

病理单上的基本信息

01、病理报告的内容包括:
患者基本信息、活检组织的外观、镜下所见、病理诊断及备注。
02、患者基本信息包括:
姓名、病案号等身份验证信息。
03、活检组织的外观即肉眼所见,包括:
送检组织全貌、活检部位、大小、形状、病变距离组织边缘的距离等。镜下所见就是病理医师在显微镜下观察到的病变表现,在细胞水平上对活检组织进行比较专业的描述,并就疾病的性质进行病理诊断。
■ 病理诊断要回答两个基本问题:
其一,送检的是什么病变?其二,这个病变的性质怎么样,是否为肿瘤,良性还是恶性?若是恶性肿瘤,恶性程度分级、侵犯深度及范围、淋巴结转移数目、切缘是否干净、相关放化疗敏感指标性程度等都要在病理诊断中详细说明。
04、病理报告的“备注”或“注意事项”
是病理医师会对送活检的医师或患者建议,包括:应再做什么样的活检,或需再补做哪些特殊病理检查,或建议患者借阅既往手术病理切片对比观察。

慢性胃炎常见的病理改变
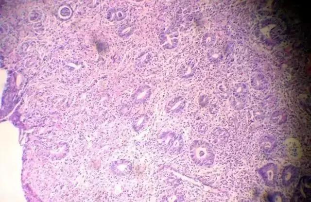
01、慢性浅表性(非萎缩)胃炎:
病理变化主要局限于黏膜层,极少累及黏膜下层。胃黏膜浅层内有淋巴细胞或浆细胞为主的炎症细胞浸润,而深层的腺体正常。
根据炎症细胞浸润程度,浅表性胃炎可分为轻度、中度、重度以及急性活动性。如伴有中性粒细胞浸润,则为急性胃炎。
这是最常见、最轻的一种报告,绝大多数都可经过针对性治疗完全康复。
慢性炎症长期存在引起胃腺体的破坏和肠腺化生,使浅表性胃炎逐渐发展成萎缩性胃炎。
02、萎缩性胃炎:
它是指不但黏膜有炎症细胞浸润,还可见胃腺体部分或完全消失。胃黏膜腺体不同程度萎缩减少甚至完全消失,只剩下胃小凹残存。依其减少程度分为轻、中、重,可以用+表示。
胃腺体萎缩的同时,胃小凹深部的上皮增生形成腺体并可发生肠化生,或形成息肉,甚至癌变。
由于萎缩好发于胃的幽门部(胃窦),而胃体、胃底黏膜较少累及,保留着分泌功能,所以临床上有些萎缩性胃炎病人仍会有反酸和烧心的症状可以得到合理解释。
胃镜活检报告常见术语解释

01、炎细胞浸润
胃黏膜固有层中有较多的慢性炎症细胞浸润存在,以浆细胞和淋巴细胞为主。炎细胞浸润多呈弥漫性,常位于黏膜小凹层,逐渐向深部浸润,可达黏膜肌层。
(一) 根据炎症细胞的浸润程度可将慢性胃炎分为轻、中、重度。
1. 轻度者,慢性炎性细胞较少,局限于黏膜浅层,不超过黏膜层的1/3;2. 中度炎细胞较密集,超过黏膜层的1/3,达到2/3;3. 重度炎细胞密集,占据黏膜全层。
(二)活动性炎症是指慢性炎症背景上有中性粒细胞浸润。根据中性粒细胞细胞浸润程度可分为轻、中、重度。
1. 轻度者黏膜固有层中见有少量中性粒细胞浸润;2. 中度者黏膜层中见较多中性粒细胞浸润;3. 重度者黏膜层中性粒细胞较密集,并可见小凹脓肿。

02、固有腺体萎缩
表现为固有腺体数量减少,黏膜层变薄。但固有层中纤维组织、黏膜肌层和淋巴滤泡常增生。萎缩可呈局灶性或弥漫性。根据固有腺体减少的程度,萎缩可分为轻度、中度、重度。
1.轻度固有腺体数量减少,不超过原有腺体的1/3;2. 中度固有腺体数量减少,超过1/3,但不超过2/3;3. 重度固有腺体数量减少超过2/3,仅残留少数腺体,甚至完全消失。

03、肠上皮化生
肠上皮化生(intestinal metaplasia,简称肠化)是指胃黏膜表层上皮和腺上皮被杯状细胞和吸收细胞所取代。萎缩性胃炎伴有肠化,但两者也可单独存在。对于肠化非常显著的萎缩性胃炎也称之为化生性胃炎。
(一)肠化按照所占胃黏膜腺管的多少,可以分为轻度、中度、重度。
1.轻度肠化上皮或腺体不超过固有腺体的1/3;2. 中度占固有膜腺体的1/3~2/3;3. 重度占固有腺体的2/3以上。
(二)根据肠化的组织学形态和黏膜组化染色可将肠化分为三型:
1.Ⅰ型为完全型,由吸收细胞、杯状细胞、Panth细胞组成,杯状细胞含有唾液酸黏膜,吸收细胞不含黏液;
2.Ⅱ型和Ⅲ型为不完全型化生,由杯状细胞核柱状细胞所组成,无Panth细胞。Ⅱ型和Ⅲ型不完全型肠化的区别在于前者的柱状细胞分泌中性粒细胞和唾液酸黏液,而后者的柱状细胞则分泌硫酸黏液。多数认为Ⅲ型肠化与胃癌关系密切,对估测胃癌的发生危险性有一定的价值。

04、异型增生
又称不典型增生(dysplasia),也称上皮内瘤变,是胃黏膜结构及上皮细胞偏离正常的一种过度增生状态,其基本特征包括细胞异型性、分化异常和黏膜结构紊乱。肠化和非肠化黏膜均可发生异型增生,有固有肠型和胃型异型增生之分。
也可以分为以下两种类型:
腺瘤样不典型增生——被认为会发展为高分化肠型胃腺癌;
增生性不典型增生——与不完全性肠化生关系密切,被认为可发展为分化差的肠型胃腺癌。
异型增生是胃癌的癌前病变,根据异型程度可分为轻度、中度、重度三级。
新的分类将不典型增生称为上皮内瘤变:
轻、中度不典型增生归入低级别上皮内瘤变;
重度不典型增生则归于高级别上皮内瘤变;
高级别上皮内瘤变为真正意义上的癌前病变,有的医生称之为原位癌。
轻度异型增生形态学表现为腺管结构轻度不规则,排列紊乱或疏密不均,主要分布于黏膜浅层,杯状细胞减少,核深染,体积稍增大,核排列密集,位于细胞基底层。
中度表现为腺管结构不规则,呈分支状,形态大小不一,呈灶状紧密排列,但界限清楚。细胞异型性较明显,核深染,呈椭圆形或杆状,排列密集,位于细胞基底侧,但排列略显紊乱。
重度表现为腺管结构紊乱,形态大小不一,常见于出芽、分支、乳头、共壁和背靠背现象。细胞异型性更明显,上皮细胞呈柱状或立方形,核浆比例明显增大,核深染,呈类圆形或杆形,多为复层及假复层排列。重度异型增生有时与高分化腺癌不易区别,应密切观察。

05、其他病理变化
慢性胃炎时可出现上皮变性、小凹增生、水肿、糜烂、纤维化、假幽门腺化生和胰腺化生等。
假幽门腺化生
是指胃体腺萎缩后,腺体的黏液颈细胞增多、扩展,取代壁细胞和主细胞。假幽门腺化生是胃底腺萎缩的指标,与幽门腺很难区分,根据取材部位进行判断。
胰腺化生
为巢状或小叶状,分布于胃腺体重胰腺样细胞,其胞浆丰富,细胞顶部和中部有嗜酸性颗粒,基底部为嗜碱性,意义尚不明确。
淋巴滤泡增生
是指胃黏膜长期慢性炎症出现的一种淋巴组织反应性增生。正常情况下,胃黏膜内没有淋巴组织。淋巴组织反复增生,可以发展为淋巴瘤,所以胃黏膜活检中遇有淋巴滤泡,尤其是中老年人应引起临床医师注意。
如显示幽门螺杆菌阳性
要规范化根除治疗。它是多数胃炎、溃疡乃至胃癌的发生都与之密切相关。
息肉
增生性和炎症性的一般属于良性,腺瘤性尤其是伴有异型增生者有癌变可能,需要及时切除并定期复查。
癌 (Ca)
一般胃镜活检只是确定病变性质,病变发展到哪一个程度要等大体标本切除后,通过癌组织浸润的深度、分化的程度、淋巴结的转移情况来进行综合评定,从而确定最适合的治疗方案。
常常会有高分化、中分化、低分化的描述;分化越高,其成熟度越好,预后相对好;相反,分化越低,其成熟度越差,预后越差。如报告恶性性质待定,则需进一步病理分析。
建议
要求做免疫组化,则一般可能有以下原因:
第一,目前无法确认是否属于癌症,需要进一步明确;第二,已经确定属于癌症,为了确定癌细胞的来源、类型、分化程度、肿瘤分期等;第三,便于发现微小转移灶、找出病因、指导用药等。
● 转载自 胃肠病;图片来源于网络,如有侵权请联系我们删除