近日,*藏西**阜康医院成功实施了院内首例卵圆孔未闭介入封堵手术,填补了我院先心病介入封堵技术空白,也为我院以后持续开展先天性心脏病介入治疗奠定了坚实基础。

▲朱永彪主任手术中
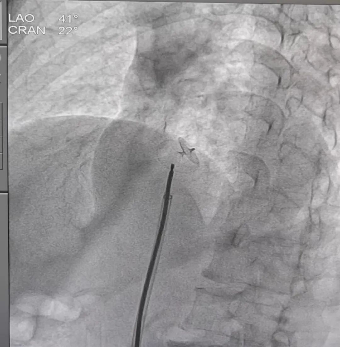
据悉,患者罗女士(化名)来自拉萨市,今年61岁,既往有反复头晕、心慌等不适症状,7月6日到我院心血管内科就诊。经右心造影检查明确患者为卵圆孔未闭,经心血管内科全科室研究讨论后,决定为该患者进行卵圆孔未闭介入封堵术。13日下午,在心内科 主任 朱永彪的指导下,我院心血管内科通力合作,用介入封堵术取代外科手术,通过一根导管,经右股静脉途径将封堵器沿输送鞘置入并成功封堵卵圆孔,术中多角度显示封堵器形态良好。
科普小知识
卵圆孔是左右心房之间的开放交通,多数人出生后1年内正常闭合。卵圆孔未闭会导致不明原因脑卒中、偏头痛等症状,也可出现短暂性脑缺血、不明原因的头晕和晕厥,甚至发生非动脉粥样硬化性心肌梗死。对于卵圆孔未闭合导致的脑栓塞等脑血管疾病,介入封堵治疗效果优于单纯药物治疗,并可明显缓解或治愈此类偏头痛症状。

▲手术成功
*藏西**阜康医院心血管内科主任朱永彪说:“ 通过微创介入手术治疗把没有闭合的卵圆孔‘堵’起来后,患者就不会再出现静脉血异常分流和有异常栓塞出现的情况,从根本上解决患者的反复头痛或者不明原因的眩晕、卒中等问题,从而达到根治的目的 。”