周雪峰,解放军306医院,骨科,全军脊柱外科中心
髌骨软化常见的几种症状
生活中有许多人患有髌骨软化症这一类疾病,髌骨软化症一般都是因为由于剧烈的运动,或者剧烈的活动,所造成的髌骨关节的损坏,所以就出现了这一类症状的生成,如果患有此类病症,我们应该到骨科医院进行正规和详细的确诊和治疗,同时平日里也应该多了解一些有关髌骨软化症的相关知识,这样我们才能够在疾病来临的时候,做到很好的防范措施,那么下面就让我们大家一起来看一下髌骨软化症的常见4种症状都有哪些呢?

1 患者在活动时可能有绞锁或跛行的感觉,疼痛和跛行在上下楼梯时会很明显。晚期也可发展为不断的疼痛,以致无法运动,或不能做体力劳动。疼痛的原因是因软骨没有了弹性压力直接作用于软骨下骨和软骨碎屑刺激。
2 一般的情况下膝部直接外伤都会引起髌骨软骨或骨软骨骨折的现象发生,都会引起软骨退变性的改变,软骨表面会非常的粗糙,同时也会失去应有的光泽,如果严重的患者就会出现软骨脱落的现象发生,骨质会暴露在外,相对的股骨关节面也会受到伤害。
3 关节在一般情况之下没有肿胀,髌骨有压痛或者叩击痛的感觉,髌骨研磨试验阳性,抗阻收缩试验阳性,当膝关节由伸直位到半屈的位置的时候,可以导致患者的疼痛,有时于髌前可触及细微摩擦感。
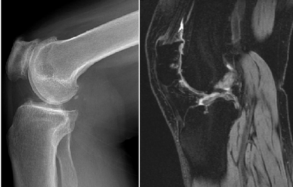
4 X线片早期可能没有特殊的异常发现,晚期可见髌骨半圆骨赘影响髌股关节面不平滑或间隙狭窄的现象发生。X线片也能发现部分的病因,如小髌骨、高位髌骨或股骨外髁低平等畸形。

髌骨软化症的六大危害:
一、关节疼痛无力:初期在大量运动后膝关节疲劳无力酸痛,经休息好转或消失,后期由半蹲位猛跳时膝痛,以致不能支持半蹲位,尤在上下楼梯时疼痛明显并伴有膝关节发软。
二、早期膝前痛:早期膝前酸困疼痛,疼痛与活动量有关,逐渐膝外侧及腘窝亦出现疼痛。
三、膝关节过伸时痛:过伸痛是本病的特点,抗阻力过伸尤著。
四、压痛及髌骨研磨痛:压痛一般位于髌骨内缘的软骨处。伸膝卧位时,股四头肌放松,按压髌骨并转动时感知手下有磨擦音,患者感痛。
五、单腿半蹲试验阳性:患肢单腿站立,逐渐屈膝下蹲时出现膝软、膝痛即为阳性。
六、继发性髌骨软骨软化:临床表现除疼痛及负重困难外,还可出现交锁及不稳定,甚至有髌骨脱位的趋势。在屈膝位髌骨压痛,向外侧移动髌骨较松弛。

在日常生活中如果患有髌骨软髌骨软化症的病因
1、创伤:这是一个不可回避的因素,不论是直接创伤、间接创伤还是因为其他的磨损,都会造成关节软骨基质的减少、软骨细胞的坏死,导致关节软骨被破坏。
2、髌骨不稳定:主要是指高位髌、低位髌、髌骨倾斜、髌骨半脱位或脱位。髌骨的不稳定会造成比股关节面压力不均、分布异常,极易引起软骨的损伤,使关节面上生物力学平衡失调。
髌骨软化症的症状
疼痛,髌骨软化最明显是在患者上下楼梯、爬坡或者下蹲、下跪的动作*体下**现出来的,主要是疼痛剧.烈,关节会出现弹响,症状严重者会出现股四头肌萎缩、关节积液、关节僵硬、疼痛剧烈的症状。
产生积液,部分患者局部出现肿胀积液,会加重症状,可进行关节抽液,但不可多次进行,副作用较大。
膝关节障碍,包括关节不灵活,旋转、伸展时受限,活动时有粗糙的磨擦感、磨擦声和疼痛不适;晚期患者由于疼痛剧烈拒绝走路会出现肌肉萎缩、骨塌陷的症状,甚至失去运动功能。

髌骨软化症的锻炼
1、股四头肌收缩练习,患者仰-卧,尽力伸膝,用力压床面,能感觉到大腿肌肉绷紧,15s后放松
2、夹球训练,坐位,将以皮球夹于两大腿北侧,逐渐夹紧至自己能承受的最大限度,保持15s,坚持一段时间即可治愈
3、通过特殊的锻炼来增加下肢肌肉的力量,因为下肢的肌肉力量对膝关节的稳定是非常重要的,一般股四头肌比较发达的人患膝关节病的危险性较低。做股四头肌锻炼的方法有四点:一是做股四头肌静力收缩锻炼,就是大腿前面肌肉用力收缩到感到髌骨移动为度,然后放松,这样坚持每天做500次。二是做股四头肌等张收缩锻炼,进行锻炼时坐在床边,膝关节于床边齐,然后将腿伸直,坚持三到五秒后放下,这样重复锻炼,每天500次。三是进行股四头肌等长收缩锻炼,进行锻炼时将大腿前边的肌肉用力收缩,直到发困发酸时放松,这样每天进行锻炼200-300次。四是平臥于床上将双侧大腿于膝关节伸直位时抬高到90度,这样每天进行锻炼200-300次。我们不赞成进行剧烈的运动,如爬山,爬楼梯等膝关节屈曲位用力的锻炼。

髌骨软化症的预防
1.主动充分活动关节
在不负重条件下进行。如平卧在床上主动伸、屈膝关节。坚持每天早、晚各一次,每次10分钟。充分活动关节可使髌骨关节面各个部分都受到刺激,滑液营养成分能均匀渗透到软骨组织中去,并能增强关节的润滑作用。
2.防止髌骨关节面持续受压
屈膝位髌骨所受压力较大,容易损伤关节面。要避免持续性蹲位对髌骨关节面的压力。
3.石膏固定或下肢牵引治疗
要主动行股四头肌锻炼,股四头肌舒缩时能带动髌骨上下移动,有利于软骨的营养渗透及减轻髌股关节面的持续受压。
4.膝关节出现不适或不定位疼痛
要考虑到早期髌骨软化症的可能,要及时休息、及时治疗,防止关节软骨退变加重。