昨天看到一条微博,说一个 「聪明」的患者在一家门诊磨了牙之后跑了,去找其他的医生取模,自己去烤瓷牙加工厂加工。其实,我想说完成整个烤瓷牙修复需要很多步骤,磨牙就是其中一步,取模是否精确,加工厂制作工艺是否专业,佩戴是否密合,调颌是否精通以及后期的保修承诺都很重要。
做烤瓷牙之前你需要注意以下几点:
1、烤瓷牙并不适合每个人,所以首先要确定自己是否能做烤瓷牙。若缺牙处邻近的2颗基牙不健康,有夜磨牙,青少年最好别安装烤瓷牙。
2、烤瓷牙种类很多,但并非贵的就是好的,医生和技师的技术和责任心才是最重要的,用心制作,就算是金属内冠烤瓷牙也能有不俗的效果,若技术能力低下,责任心差,再好的材料也只是被浪费。
3、后期的保养也很重要,但是正常的医生是不可能跟你保证你做的牙能用多久,因为有很多不定的因素,其寿命最大取决于后期的维护。如果说医生操作没问题,病人维护的也好的话寿命会比较长的。但是要是维护不好,都会出问题。

烤瓷牙修复过程:
烤瓷牙看似很简单,其实是一个细致缜密的过程,尤其中间的每个步骤都是需要极其严谨,否则下一步就无法进行,从而破坏牙齿的美观度及相容性。
烤瓷牙修复第1步——检查
在做烤瓷牙修复之前,会进行详细的检查,确定适应症并排除不能进行烤瓷修复的情况。还要与患者进行详细沟通,就烤瓷牙种类、价格等,烤瓷牙种类很多,价格也各不相同,所以需要充分了解进行选择。若有牙齿疾病,要先进行治疗再做烤瓷牙。
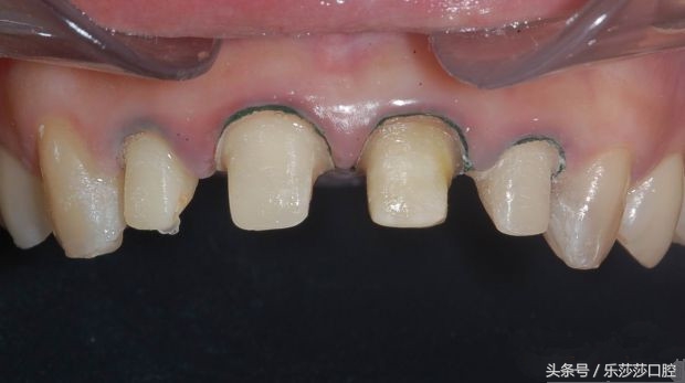
烤瓷牙修复第2步——备牙
磨牙是第一道工序,也是做烤瓷牙环节中最重要的一个程序。磨去多少?前牙后牙有何要求?如何计算牙齿受力?这些都需要相当高的技术要求。如果磨的过多会影响牙齿健康,可能会出现牙齿敏感甚至松动,如果磨的过少又会影响修复体的质量与就位。所以牙体预备是很考验一个医生技术的环节。

烤瓷牙修复第3步——取模
牙医并不生产烤瓷牙,而是将牙模送到相关生产商那里。所以在送去加工之前,医生会对牙体状况做一记录,为烤瓷牙制作提供依据。排龈,取模,先用亲水性硅橡胶印模材重体型取初印模,再用注射型硅橡胶取二次印模。

烤瓷牙修第4步——比色
医生会浏览比色板并与患牙原来颜色进行比较,选择与原始牙/邻近牙相似的颜色。选择颜色时可以根据自己的喜好,但应当以自然为好,切忌选择过白的颜色,会很不自然。
烤瓷修复第5步——临时牙
由于牙齿被磨去了一部分,基本没有牙釉质,可能会出现牙齿敏感等情况,另外牙龈也需要保护,再加上有美观上的需要会制作临时牙。临时牙的材料由树脂构成,安装完后需要等一周左右再佩戴烤瓷牙。

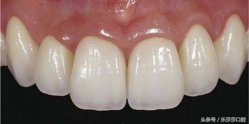
烤瓷牙修复第6步——安装烤瓷牙
烤瓷牙制作完成后,医生会将临时牙取下,检查烤瓷牙的形态,边缘,色泽,咬合关系是否和设计一致,达到标准后会对基牙和烤瓷牙消毒,选择合适粘结材料粘固烤瓷牙,在这个过程中需要注意清理多余的粘结剂,以免形成“牙结石”。

烤瓷牙修复第7步——维护
并不是说安装好烤瓷牙就万事大吉了,平时我们也要定期维护。刚佩戴烤瓷牙的时候会出现一些不适,这时候尽量不要吃特别硬的东西,以免刺激烤瓷牙压迫牙龈组织发炎等。
最后再说一句,每颗牙都是独一无二的,每颗牙都是不可再生资源,所以尽量用少磨牙的手段,如果必须要用烤瓷牙来修复, 应当将注意力放在医生的资质和技术上,这方面比烤瓷牙材料重要的多,好的材料如好车,好的医生如好的车手。
牙齿有问题,可以关注我【taoqling】,5分钟内回复您的提问。