先和大家说个今天看到的新闻:
80岁的徐阿公因为眼睛痒,前往温州市中西医结合医院眼科就诊。
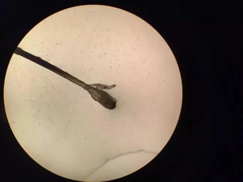
他对接诊主任医说:自己的眼睛痒得受不了,有时候还会流眼泪,总感觉像有什么东西在眼睛里一样、为此他还去药店买了眼药水,可使用之后也是没有什么改善。医生在检查的时候发现,徐阿公睑缘肥厚、充血明显,睑板腺开口堵塞,眼睫毛根部可见较多污秽分泌物附着,结膜也有充血。根据经验,医生怀疑是由于螨虫感染所导致。于是拔下了几根徐阿公的睫毛,在光学显微镜下检查,果不其然,看到了活生生的螨虫。当医生将诊断结果告诉徐阿公时,他吓一大跳,眼睛竟然也会长虫子?
经过医生的仔细询问,原来徐阿公的卫生习惯不太好,一条毛巾用了好几年,都破了也舍不得扔掉。还有床上的枕套、被套这些,也是好久没洗晒过了。在进行药物治疗的同时,医生也是再三叮嘱徐阿公一定要注意用眼卫生,否则螨虫可能还会“找上门”。

现在其实螨虫感染的患者是很多的,具体并没有非要到哪个年龄段才有可能会成为患者,基本上来说10岁左右的孩子会有这种情况,而80岁左右的老年人依旧也会出现这样的情况。
看吧看吧,和大家说过很多次毛巾一定要正确的、卫生的、健康的去使用,可是很多人的毛巾使用习惯还是不好,今天看来还是有必要继续啰嗦一下。
了解正确使用毛巾的方法
1.毛巾的使用毛巾要做到专人专用,专巾专用,多人使用同一条毛巾是绝对不可以的,因为这样很可能会造成交叉感染。对健康影响很大。每人每天使用的毛巾数量为4-5条最佳,分别为:洗脸、洗脚、洗澡、洗头等日常个人维护小毛巾,而且女性还需要增加1条个人生理卫生毛巾。
2.更换频率毛巾使用时间长了之后,里面就会有着很多的细菌和螨虫,每天用它来擦脸的时候,细菌与螨虫就会通过毛巾附着到我们的皮肤上,这样就会很容易长痘或是长螨虫,所以建议三个月更换一条新的毛巾,其次,每周用热水烫一次,保持毛巾的干净和卫生。

3.毛巾怎样消毒
●蒸煮消毒法把毛巾放入沸水中煮10分钟左右,然后用肥皂水清洗,晾干后即可使用。
●微波消毒法把毛巾清洗干净,折叠好放在微波炉中,运行5分钟即可达到消毒的目的。
●高压蒸汽消毒法将毛巾放入高压锅中,加热保持30分钟左右,就可以杀灭绝大数细菌。
●化学消毒剂消毒法可以选择稀释200倍的清洗消毒剂,将毛巾浸泡在溶液中15分钟以上,然后取出毛巾用清水漂洗,将残余的消毒剂去除干净,晾干后即可放心使用。
4.正确的清洗晾晒方法毛巾一定要定期清洗,一般一周清洗2次,洗涤时一定要注意水洗标上的洗涤方式,晾晒时挂在干燥通风处,自然晾干或热风风干,避免人体汗渍残留,使毛巾脆损,避免人体表面油脂、皮屑残留,滋生细菌,使毛巾产生异味、发粘。

5.多让毛巾晒太阳湿湿的毛巾长期放在不通风的浴室,可以说是细菌的温床!所以毛巾尽量不要阴干,要让它在阳光下暴晒才有杀菌作用,不会有怪味。所以啊,看了这么多,你了解了吗?
文章来源江苏不懒人纺织品有限公司,转载请注明出处