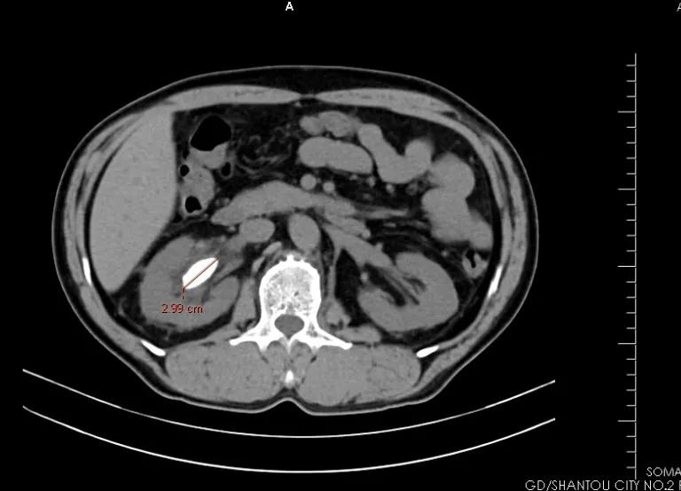
五十多岁的翁先生在体检时发现双肾有结石并有轻度积液,得知消息的时候不禁大吃一惊,平时腰腹部没有酸痛感,排尿也正常,怎么平白无故就长出了结石……为了进一步治疗,翁先生到市二医院泌尿外科门诊就诊,泌尿外科主任王乐浩对翁先生完善相关检查, CT检查提示:右肾(鹿角型)铸型结石,约 3.0*2.0*1.5cm大小,左肾小结石,膀胱小结石!

右肾铸型结石影像图片
王乐浩主任根据翁先生的情况决定采用“腰硬麻下行电子输尿管软镜联合硕通镜右肾结石腔内碎石取石术”,手术中,王主任通过一根鼠标线大小的软管,经尿道、输尿管等自然腔道,精确接近病灶,一束钬激光逐渐将直径3厘米大的铸型结石击碎,通过硕通镜负压吸引将肾盂内碎石块吸出,减少了结石移位肾脏风险。术后第3天,翁先生在泌尿外科医护人员的精心照料下痊愈出院了。

泌尿外科主任 王乐浩:
翁先生这次肾结石是通过体检才发现的。因为一般肾结石在肾盏、肾盂内是没有明显症状的,只有结石随着尿液排放运动、刺激肾脏黏膜,或是下排至肾盂口、输尿管处产生梗阻,才会出现腰部疼痛、尿频、尿急、尿血等症状。肾结石往往需要通过体检才发现,很多患者认为结石小或无明显疼痛便不去理会,或者没有接受正规治疗,肾结石逐渐长大,甚至发展成很难处理的“铸型肾结石”。这种错误的认识和做法,不仅会延误病情,还可能最终导致肾脏功能严重受损甚至丧失。
01
肾脏的铸型结石
肾脏的铸型结石,也称鹿角型结石(有时也称为珊瑚结石),是肾脏内的一种特殊形状的结石,因其状似鹿角而得名,也因为他像水泥浇铸一样填充于肾脏的集合系统内而称铸型结石。

鹿角结石通常是复发性感染的结果,因此更常见于女性,伴有肾脏输尿管异常、反流、脊髓损伤、神经源性膀胱等患者好发。
临床表现:大多数鹿角结石的症状包括发热、血尿、腰痛和潜在的败血症和脓疡形成。
鹿角结石主要是由鸟粪石(磷酸镁铵)构成,通常在感染产生脲酶的细菌(如变形杆菌、克雷伯氏菌、假单胞菌和肠杆菌属)的情况下发生。脲酶水解尿素为铵的过程中导致尿pH值增加。
这些结石中鸟粪石成分占了大约70%,通常与磷酸钙混合,因此在平片和CT呈现为不透X线。少数结石为尿酸盐和胱氨酸盐构成。
02
电子输尿管软镜
是利用一条直径3mm左右的细镜从尿道、膀胱插入输尿管,利用人体自然通道进入,不在身体上做任何切口,医生可以看到结石,并准确用激光将其打碎,虽然是侵入性治疗,但属于微创手术。

与传统的开放性切开取石、输尿管硬镜、体外冲击波碎石及经皮肾镜碎石术相比,输尿管软镜术同时具有微创、安全及高效等优点。而且,输尿管软镜因为其纤细柔软灵活的特点,能对以往手术难以处理的特殊上尿路结石(合并解剖异常的上尿路结石)进行精准治疗。采用的电子输尿管软镜具有创伤小、恢复快,手术风险小等优点,是尿路结石微创手术的“利器”。

治疗的适应症:
1-尿路结石(主要包括直径2厘米以内的输尿管上段结石,肾盂结石,肾盏结石,其他碎石方式困难的结石);
2-肾盂输尿管连接部梗阻的内镜治疗;
3-上尿路移行细胞癌的活检及切除;
4-取回移位的输尿管导管。
03
如何预防结石
肾结石是一种代谢相关疾病,容易反复产生。平日不仅要注意保证足够饮水量,还应根据结石特点调整饮食结构,尽量减少结石复发,术后一定注意定期复查。定时体检也很重要,尿路结石做个泌尿系统B超就能发现。
一、多活动,多饮水,勤排尿,保持每日2L以上的尿量为宜。尤其是在炎热的夏天,更要及时补充水分。因为夏天气温高,人体体液过多丢失,尿液发生浓缩后形成石盐更容易达到饱和状态,久而久之形成结石。

二、饮食宜清淡而富有营养。但应少食菠菜、杨梅、番茄、红茶、巧克力、胡椒、土豆以及含钙量高的食物,如牛奶、奶糖等,还应该控制磷的摄入量,少食肥肉、蛋黄等食品。

三、少吃食盐。太咸的饮食会加重肾脏的工作负担,而盐和钙在体内具有协同作用,并可以干扰预防和治疗肾结石药物的代谢过程。食盐每天的摄入量应小于5克。

四、要适当锻炼。适当锻炼不仅能帮助控制好体重而且对健康大有裨益。可以根据自身情况选择运动方式,如慢跑、游泳等。
专家介绍

王乐浩
医务科副科长
泌尿外科主任
主任医师
毕业于汕头大学医学院临床医学系临床医学专业。2010年在中山大学附属第一医院泌尿外科进修。擅长泌尿系肿瘤、感染、结石、先天性畸型、男性不育症等疾病的诊治。熟练掌握泌尿外科腹腔镜、膀胱镜、输尿管镜等操作技术,开展本专科腹腔镜手术及泌尿系结石的微创手术。

地 址:汕头市第二人民医院门诊一楼外科门诊
泌尿外科住院部
地 址:汕头市第二人民医院3号楼11层