你是否有过这样的想法:
“我这颗牙坏了,直接找医生给我拔掉。省时省事不说,关键是省钱。”
“我这颗牙被拔了,反正吃饭用不上,也不影响美观,我就不装'假牙'了。省时省事不说,关键是省钱。”

如果你曾经闪过这样的念头,看完这个视频,你会好好治疗那颗坏掉的牙,或是赶紧预约医生“镶上”那颗缺席的牙。
牙缺失后如果不及时镶牙,缺牙区相邻的牙齿会发生松动、移位。1缺牙区对位的牙齿 2缺牙区旁边的牙齿
虽然只有一颗牙齿“缺席”,但是会造成牙齿的咬合关系紊乱,导致更多好牙受连累,更有可能造成不必要的缺失,甚至引发下颌关节紊乱病,直接影响牙齿咀嚼功能。
如果牙齿长期“缺席”不修复,支持假牙的牙床,也就是我们说的牙槽骨,会严重吸收,导致之后的镶牙困难。
比如,以后戴上假牙后容易出现假牙固位不好,容易脱落的现象。临床经验也表明,牙齿缺失越久,缺牙数目越多,镶牙效果越差。
怎么预防牙齿“缺席”?
提升自我牙齿护理能力是最基本、最重要的预防牙齿“缺席”的方法。这里为大家介绍几种主要预防方法:1 “面面俱到”、有效刷牙
其实很多人并不了解正确的刷牙方法,牙齿看似得到清洁,但牙菌斑并没有彻底清除,为牙齿疾病留下隐患。

正确的刷牙先从选择一把小头牙刷(软毛、中毛牙刷交替使用)开始。
早晚刷牙时,将小头软毛牙刷倾斜,刷到牙齿和牙龈的交界部位,刷毛应该一半在牙齿上,另一半在牙龈上,进行水平颤动,每一颗牙都要这样“面面俱到”,牙菌斑才可以从牙面上剥离下来,而不是横向的拉动。
刷牙时间应该保证3分钟,这能起到按摩牙龈,促进牙周组织血液循环的作用。
还可以针对自身情况选择适合的牙膏,例如,含氟牙膏可以预防龋齿,牙齿敏感的人可以选择抗敏牙膏。
2常用牙线,定期“大扫除”
随着年龄增长,牙齿稀松,牙缝变宽,进食后牙缝更容易嵌塞食物残渣,靠刷牙很难彻底清洁,每天使用间隙刷或牙线进行辅助清洁。
3膳食平衡,保持骨组织和牙龈健康。
在日常生活习惯和饮食上需要多加以注意。
-
戒烟酒,少吃过热、过冷、过酸、过甜的食物;
-
多吃纤维丰富的粗粮,可以增强牙齿的咀嚼力和自洁作用;
-
新鲜蔬菜和瓜果等富含矿物质和维生素丰富的食物,可以给牙周组织提供足够的营养;
-
在咀嚼食物的时候要注意均衡使用到两侧的牙。
除了以上的预防方法,还建议养成定期检查的好习惯,保持现有牙齿的健康,恢复牙齿功能,预防龋齿和牙周病发生,终止这些疾病发展。
我们建议每6个月接受牙科医生检查和指导,定期进行洁治(俗称洗牙),清除牙石和牙菌斑。由于牙齿疾病的早期是无痛性发展的,通常没有明显的疼痛和不舒服的症状,药物无法治疗,所以通过医生的定期检查就可以提早发现问题,提早治疗。
-
龋齿要及时补好;
-
牙周病要进行系统的牙周清洁;
-
对牙医明确不能保留的残根、残冠牙和松动牙,应该尽早拔除,及时镶牙,恢复牙齿咀嚼系统功能,保护剩余牙齿。
-
牙缺失后要及时镶牙,一般拔牙3个月后可以镶牙。
-
合适的假牙可以减轻剩余牙齿的咀嚼负担,提高咀嚼效率,促进全身健康。
-
如果发现假牙不合适,要及时到医院请牙医调改,让假牙保持功能状态。
牙齿“缺席”了,怎么办?目前一般用这三种方法来修复缺失的牙齿:固定桥、牙种植和佩戴义齿。
1牙桥
在缺损的牙齿两边加上牙冠,利用牙冠来固定假牙。

固定桥的材质可选择全瓷、烤瓷、金属。固定桥最多可以修复两到三颗连续缺失的牙齿(具体要看缺失的位置)
2种植牙
种植牙是植入上牙槽或下牙槽骨组织中的金属修复体,在金属修复体上加上牙冠,或在多个种植牙上加上牙桥,可以代替缺失的牙齿。
比起其他修复方式,种植牙更为昂贵,但是最接近天然牙。

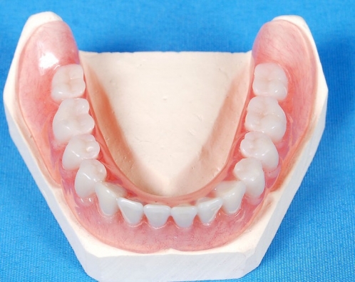
3义齿

义齿是为缺失牙齿的患者定制的牙科器具,目标是恢复牙齿的外观和功能。
义齿分为全口义齿和局部义齿。如果一个人的牙齿掉光了,需要佩戴全口义齿;如果只是掉了一部分,需要佩戴局部义齿。