王源吸烟树立起了一个比较负面的形象,在医生奔走呼号,呼吁大家戒烟时,明星的一个错误的示范就会令很多努力付诸东流,当然了,为了冉冉升起的新星的未来,奉劝王源早日戒烟,长期吸烟对身体对星途都不是好事,今天我们来讨论一下,吸烟尤其是室内吸烟到底应不应该批判。

很多人说吸烟有很多好处,其中最无语的莫过于吸烟可以增加国家税收,但吸烟上交的税收不够每年治疗各种因吸烟所致疾病耗费的国家元气的万分之一,医疗经费的紧张会严重的降低每一个患者的治疗质量,我从医每一天都想着每一个人看病都能免费,药免费,检查免费,手术免费,医生的服务免费,但没有大的投入可能永远无法实现西方国家已经在做的全民医保制度。

其实,吸烟对会对肺部造成很多无法恢复和消退的影响,香烟对气管支气管的伤害就像刀片在手上刻下的伤口,只会愈合,但疤痕永在,即使是在停止吸烟后,肺部仍然会可能留下慢性支气管炎,甚至肺气肿肺大泡等改变,基本上无法恢复到健康人的肺。

客观的说,大部分吸烟有害健康的证据都来自于流行病学调查,没有人能够拿出吸烟马上致人生病的实证,大部分吸烟所致疾病都发生在数十年之后,而生活中纷繁复杂的因果关系令很多吸烟有害健康的宣传受到很多人的怀疑。其实,想想吸烟本身就觉得吸烟这一行为实实在在的让人难以相信有什么好处,*草烟**本身就是一种植物的叶子,和秸秆并无二致,燃烧产生的烟雾全是PM2.5以及其他大大小小的颗粒物,很草率的把这些东西吸进肺里真的是对自己和周围的受害者有好处吗?有很多人对于临床试验的新药(大部分进入人体试验阶段的药物都是经过动物实验验证较为安全的)都是抗拒的,但对于从来没有做过试验验证的*草烟**却愿意舍身尝试,并一吸就是很多年。

美国曾经进行一项大规模的针对吸烟人群的流行病学研究,发现每天吸入一包至一包半香烟的人,比不吸烟的人生命平均缩短6年,大量吸烟不但会导致慢性阻塞性肺病,肺癌等肺部疾病,还与脑血管及心血管意外有密切的联系,吸入的香烟颗粒不仅在肺局部产生损害,还会进入血液,吸烟产生的多种化学物质可进入大脑产生各种损害。
其实吸烟对于周围人的影响巨大,长期吸烟会对同处一室的家人产生重大影响,有吸烟男性的家庭中,女性患肺部疾病特别是肺癌的可能性远高于非吸烟家庭,儿童的肺部疾患发生率也普遍高于非吸烟家庭。同时,吸烟最终导致的一些肺部疾病比如慢性阻塞性肺病可能导致患者过早的失去生活和劳动能力,为其他人带来巨大的生活和经济负担。

除了众所周知的肺癌之外,下面是和吸烟相关性最大的肺部疾病。
慢性阻塞性肺病
慢性阻塞性肺病是吸烟所致的第一大病种,呼吸科病房这类病人起码占7成,事实上人并不是天生容易患此病,在没有染上吸烟习惯之前,慢性阻塞性肺病的患病率是非常低的。事实证明,吸烟不仅是慢性阻塞性肺病的病因,也是该病急性加重住院的一大诱因,在吸烟患者中,需要使用更多的支气管舒张药物才能控制病情,在最新的治疗指南中,是否吸烟甚至是是否要给患者长期口服大环内酯类药物需要考虑的因素,吸烟伴有长期咳痰的重度患者,需要长期口服阿奇霉素。

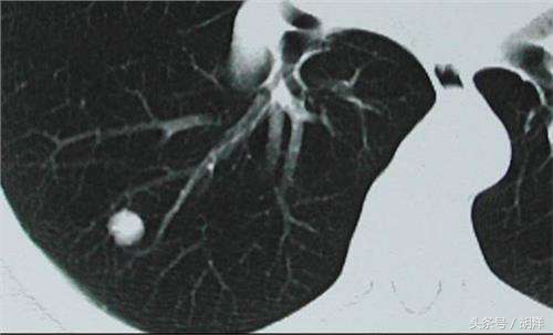
肺部小结节
肺部小结节现在几乎成了40岁以上人群体检所发现问题的“新常态”,之所以越来越受到医生和患者的重视,是因为其中一部分结节是早期肺癌的表现。然而就目前的科技手段,1cm以下的结节几乎无法通过内科方法明确性质,大部分需要通过长期随访复查CT来观察结节变化,一旦结节快速增大,呈现出恶性表现时,立即考虑手术根治。这里就牵涉到复查间隔的问题,大家知道CT在观察小结节中的作用是不可替代的,但它又有一定的辐射,最好是既能观察结节又尽可能的减少次数,这时候对吸烟者和不吸烟者就会有一个区别对待,不吸烟的人群复查时间的间隔更长,停止复查所需的时间更短。

间质性肺病
间质性肺病是一大类以肺部纤维化为表现的疾病,所谓的纤维化就是肺里面“蚕丝”长多了,肺泡被缠绕牵拉,破裂毁损形成蜂窝,吸烟也是这个疾病的重要原因。这类疾病中有一种非常严重的类型,叫做特发性肺纤维化,一旦诊断,生命预期大部分在2-3年左右。在判断间质性肺病是否属于该类型时,吸烟也是考虑的重要因素。吸烟男性更多的偏向于诊断特发性肺纤维化。

所以吸烟者早戒烟是对自己和家人都很重要的决定,因为无论哪一个烟种,包括*子烟电**,水烟,雪茄都会对身体造成很大的影响,而戒烟带来的益处不但有益于患者本人,还由于整个家庭。