
从“折叠”到“躺平”
近日,北京积水潭医院脊柱外科完成了一例强直性脊柱炎伴重度脊柱后凸畸形患者的双节段经椎弓根截骨矫形手术,让“折叠”近10年的患者终于重新挺起胸膛。

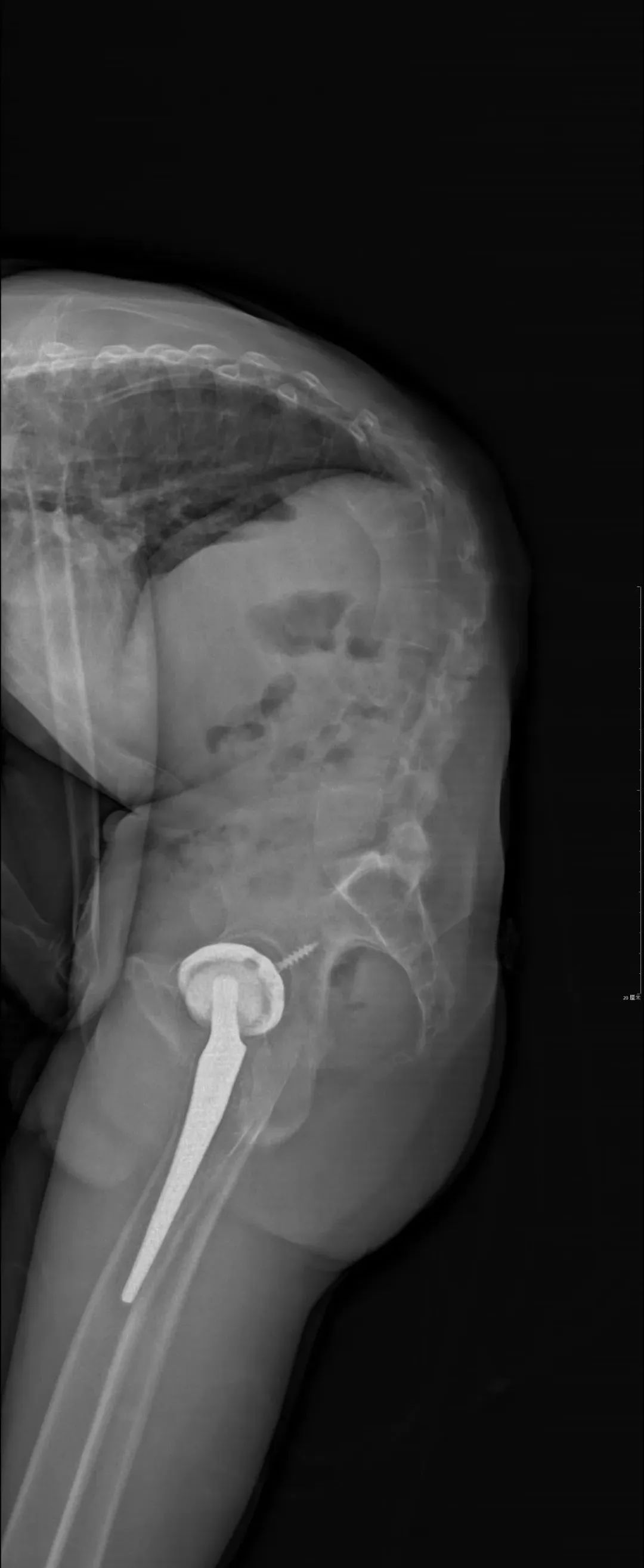
被“折叠”的张先生

患者张先生(化名),10余年前确诊为强直性脊柱炎,间断口服药物治疗。10年前因此疾病在我院进行了全髋关节置换术,术后髋关节活动良好,那时脊柱没有出现畸形,还是可以直立的正常人。后来随着疾病的进展,脊柱后凸逐渐加重,于我院就诊时患者的胸腰椎后凸畸形已近90度,站立时的体态就如同鞠躬,睡觉无法平躺,严重影响生活质量。

患者又回到了最信任的北京积水潭医院,找到了髋关节手术的主刀医生周一新主任,由周主任介绍到脊柱外科。脊柱外科经过全科查房讨论,制定周密的术前规划,综合考虑患者的直立、平视、端坐、平躺等功能,设计截骨位置并计算截骨角度,最终确定了L3、T12双节段经椎弓根截骨的矫形方案。在麻醉科、手术室、肌电图室、ICU、输血科、脊柱外科等多方面合作下,手术顺利完成。患者术后即可完全平躺,下地后可完全直立并且平视。手术效果非常满意,患者重新挺起胸膛,开启新的人生。







强直性脊柱炎 属于自身免疫性疾病,青年男性高发,疾病多累积中轴骨。疾病早期诊断至关重要,如有腰背或骶髂疼痛,夜间疼痛严重,晨起时腰部僵硬等症状,建议到医院就诊,排除强直性脊柱炎。强直性脊柱炎早期要到风湿免疫科进行药物保守治疗,并定期监测,避免出现脊柱及关节功能障碍。后期出现髋关节强直或脊柱后凸畸形,需要到骨科就诊。
文图丨脊柱外科
编辑丨靳晓方 于淼