
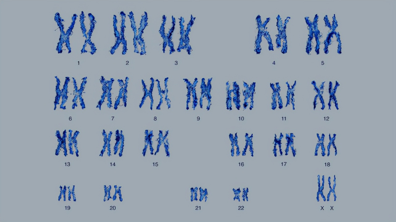
众所周知,人类拥有46条染色体,它们成对出现,其中一半来自父亲,一半来自母亲。
不过这个事实并不是一蹴而就的,当科学家试图破解人类遗传信息时候,至少有30年的时间里,人们普遍认为人类拥有48条染色体。
直到1956年,瑞典隆德大学的细胞遗传学家乔·欣·吉奥(Joe Hin Tjio)和艾伯特·利文(Albert Levan)在《HEREDITAS》期刊上用铁一样的证据向世人公布了人类二倍体细胞的染色体数目是46条。

图注:大部分人是23对染色体
同时,他们还明确指出男女在染色体上的区别主要体现在一对性染色体上,男性拥有XY染色体,女性则拥有XX染色体,另外22对无法决定性别,因此被称作常染色体。
但是这些研究发表没多久,关于人类46条染色体的定论就受到了一些质疑。
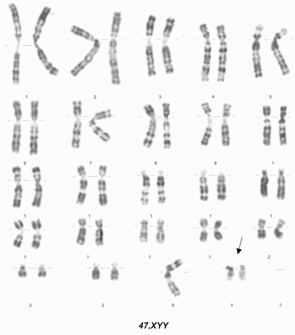
因为在之后的5年里,科学家们发现人类染色体数目表现得极度多样化,其中典型的就是在性染色体上下文章的,包括47条的XYY和XXY案例,以及45条的X案例和不太常见的48条XXYY案例。

其中,XYY型出现的频率更是异常之高,在典型的男性婴儿中,可以占到千分之一,差不多每1000个男性就会有一个是XYY染色体形式。
男性的许多特征是由Y染色体上的遗传因子决定的,那么一个有趣问题来了,多出一条Y染色体会怎么样呢?

XYY染色体疾病的发现
1961年的一天,纽约州一位44岁男性因为自己的女儿患有唐氏综合征,他不得不进行核型分析,也正因为这次分析科学家发现了XYY染色体疾病。
在那个年代,这个男子的身高可以算是鹤立鸡群,有183cm高,身材非常魁梧。
这是人们第一次接触这种案例,但足以轰动整个医学界,因为作为一个拥有不正常性染色体的男性,他依然可以产生自己的后代,而且很明显这位男子比大部分男人更加男人。
有了第一例之后,人们很快就发现了之后的许多例子,有意思的是这种XYY男性一度让科学家联想到犯罪。

图注:斯帕克事件中8名护士受害者
20世纪60年代,在芝加哥发生一起臭名昭著的谋杀案件—— 斯帕克事件 ,一所医院的8名护士在同一天晚上被谋杀,而且手段非常残忍。
不过,这并不是什么蓄谋已久的高智商犯罪,警方甚至是不费吹灰之力就将凶手捉拿归案,凶手是一位名叫理查德·斯帕克的身材魁梧的壮汉。

图注:斯帕克和他的住所
在60和70年代,斯帕克被认为是最典型的XYY染色体疾病的表现,这个群体被称作“超男”(比男人还男人),而这种疾病被称作“ 超雄综合征 ”。
患有这种疾病的男性普遍身材高大,而且很可能脾气更加暴躁,更具攻击性,非常容易被激怒,而动作也更不协调。
所以,科学家有理由相信一个男性如果多出一条Y染色体,它很可能更容易让男性犯罪,因为男性比女性犯罪的概率高很多,而超雄综合征更是比男性更男性。
不过,这里得辟谣一下,这只是一个传说而已,科学家特别研究了犯罪和超雄综合征之间的关系,然而事实证明两者并没有太大的联系。

XYY男性并没有表现出更高的犯罪率
在整个六七十年代,科学家在世界各地的精神病院、最高安全级别的医院和监狱中进行了数十次调查,他们寻找身材高大、好斗的男性,并试图将*力暴**犯罪与刚刚发现的超雄综合征联系起来。
在一些医院和刑罚机构中确实发现了高比例的超雄综合征患者,而他们也确实许多都有犯罪史,但是让研究人员感到意外的是,他们中的大部分人并没有想象中的*力暴**倾向。
事实上,一些早期的研究中,超雄综合征的*力暴**犯罪比例还比他们的对照组更低。所以,拥有XYY性染色体的男性不一定就特别凶残,特别容易犯罪。
那么还有一个问题,这些“超男”是如何得到多出的一条Y染色体的,以及这条染色体到底带给它们什么了呢?

如何得到多出的Y染色体?
XYY男性的每个二倍体细胞中都会多出一条Y染色体,虽然这属于遗传学范畴,但是它并不是真正意义上的遗传病,至少XYY男性不会将疾病遗传给他的儿子。
一般情况下,多出的Y染色体是在受孕的时候有不分离的精细胞造成的。
当精细胞分裂错误时,它会变成携带两个Y染色体的细胞,这是一种随机事件,每个男性都有可能发生,当它和卵细胞结合时,就会出现XYY男性。
不过,也有一些情况是胚胎发育过程中,细胞分裂出现了问题最终导致多了一条Y染色体,并一直伴随胚胎发育完全。
XYY男性的表现其实是非常多样化的,只能说身材高大是这种患者的一种较为普遍特征而已。

图注:XYY男性的一些特征
他们的较为普遍的特征还包括,两只眼睛的距离较远,腹部脂肪增加,第五个手指向内弯曲,脸部*疮痤**,以及语言障碍,身体不协调等等。
另外,大部分XYY男性具备生育能力,具有典型的睾酮水平和性发育,但也有少部分*丸睾**衰竭,失去生育能力。

最后
人类染色体数目比我们想象得要有趣得多,它不是非黑即白的事情,关于染色体缺失的案例也是多如牛毛,而且可以表现出我们难以想象的特征。
其实在自然界,其它生物的染色体也是如此,并不是完全配对它才可以表现正常。
另外,许多携带XYY染色体的男性也是看不出任何特征的,他们从外表上和普通男性没有任何区别。
但是记住,每1000个人中就会有1个这样的“超男”。