——306医院2018援藏医疗队系列报道(18)

韩磊 田天(文),张捷 赵军 白小军(图),解放军306医院
品牌质量管理办公室 左天宇 编辑
那曲索县地处藏北高原腹地,一直处于贫困落后状态,交通不便,缺医少药,不少藏族同胞长期忍受着病痛折磨。解放军306医院连续9年派出援藏医疗队,对索县人民医院的临床诊疗技术和远程信息化建设都给予了大力的帮扶。
本次援藏医疗队中有一名年轻的骨科专家,他就是解放军306医院骨科、全军脊柱外科中心的田天医生。曾作为北大高材生特招入伍的他,在刚刚迎来小女儿诞生的欢喜中接到赴索县帮扶的任务,他义无反顾地听从组织的安排,做好了进藏的准备。初次来到青藏高原,田医生与大多数医疗队成员一样,出现了明显的高原反应,头痛、心慌、浑身乏力,但是他坚持"轻伤不下火线",口服针对*药性**物后继续投入工作。
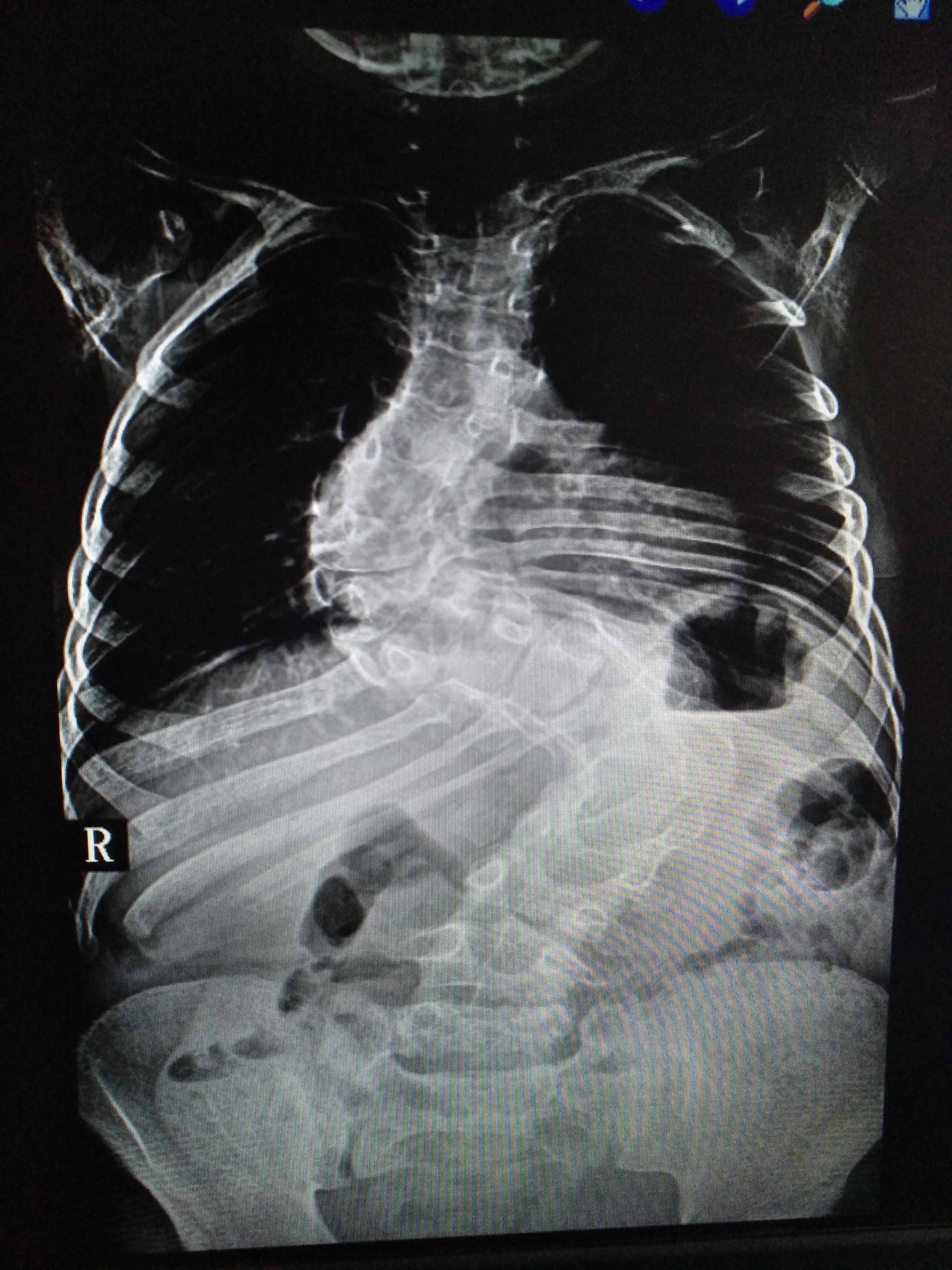
在索县的门诊工作中,田医生遇到一位10岁的藏族姑娘,她从小患有脊柱侧弯,虽然已经11岁了,但身高仅105 cm。严重的脊柱畸形不但对小姑娘的心肺功能造成非常严重的影响,而且给孩子和家长都造成巨大的心理负担。小姑娘家境一贫如洗,加上弟弟也患有下肢疾病,家里的收入仅能支付一家四口吃饭和两孩子上学。田医生在仔细询问病史和详细查体后对小姑娘的病情进行了全面评估,建议小姑娘到北京解放军306医院进行分期矫形手术治疗。田医生向医院领导和索县相关部门的领导汇报了这个病例,306医院的领导已经同意为小姑娘进行手术治疗并减免医疗费用,希望出身贫寒的她可以从此"站立起来"!孩子的母亲得知这一消息后喜极而泣,给解放军306医院的专家们行跪拜礼,用藏语念叨着:*产党共**好!解放军好!



藏族小姑娘患有严重的脊柱侧弯,即将赴京接受一期手术治疗
在索县,车祸伤、高处坠落伤、野生动物咬伤等颇为常见。但由于救治条件和临床技术有限,一些伤情较重的患者只能转到那曲或拉萨治疗。306医院医疗队来到这里后,骨科专家田天医生发挥自身技术和先进理念的优势,进一步规范了该院的门诊急手术操作,并手把手地为当地医院的医生演示常见外伤的处理和无菌操作,指导该院医务人员对门诊及住院的骨科疾病患者进行治疗。




田天医生为索县人民医院全体医生讲课
田医生在敬老院义诊过程中发现,由于高原地区气候和人民生活习俗的原因,很多老年患者都患有严重的骨关节疾病,但因条件所限,只能忍受病痛折磨。许多老年人关节畸形,步态蹒跚,严重影响了生活质量。田天医生利用业务学习时间全面系统地进行针对性讲课,规范骨关节疾病的诊断及保守治理,介绍了相应的手术技术,提升了索县人民医院骨科的技术能力。