点击上方“转化医学网”订阅我们!
干货 | 靠谱 | 实用

导 读
锌是人体必需的微量元素之一,在人体生长发育过程中起着极其重要的作用,常被人们誉为“生命之花”和“智力之源”,但是,目前市场上的锌剂皆属于药物,是药三分毒,过量补锌会破坏免疫系统和内环境的稳态。近期,《Nature Medicine》发表的一篇文章更是指出锌过量可能是恶病质的罪魁祸首,可加速癌症死亡!
有研究表明,近三分之一癌症患者并非死于癌症本身,而是被恶病质折磨致死。恶病质是全身多脏器障碍所致的一种中毒状态,其显著特征是严重肌肉萎缩,约80%的晚期癌症患者深受其害。

6月6日,哥伦比亚大学的Gang Wang等人的研究指出晚期癌症患者肌肉中锌超载和锌转运蛋白(Zip14)上调是转移性癌症诱发恶病质肌肉萎缩的重要驱动因素,而非肌肉萎缩的间接后果,揭示了ZIP14在促进肌肉萎缩和阻止转移性癌症肌肉再生方面的新作用。
该研究指出应重视癌症治疗过程常忽视的锌和Zip14水平的监测和控制,为改善转移性癌症患者的生存期和生活质量开辟新道路。该研究以《Metastatic cancers promote cachexia through ZIP14 upregulation in skeletal muscle》为题发表。

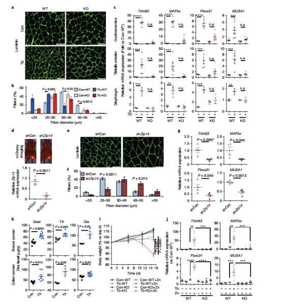
ZIP14在恶病质小鼠肌肉中表达上调
研究人员通过对晚期癌症恶病质小鼠的肌肉的研究,发现与正常小鼠肌肉相比,恶病质小鼠的ZIP14具有更大活性。正常情况下ZIP14可在肝细胞中表达以促进金属元素转运,而在恶病质患者中,其可在肌肉中异常表达。
通过对照试验,他们发现ZIP14表达上调与转移性癌症中的恶病质发展相关,而在未转移的原发癌症模型中未发现ZIP14表达上调,这说明ZIP14表达上调与癌症恶病质的特异性有关。

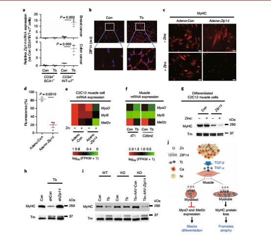
ZIP14上调在恶病质肌肉中表达上调并受TGF-β和TNF-α调节
研究人员进一步评估了ZIP14上调在人类恶性肿瘤中的临床相关性。晚期癌症和转移性疾病患者的肌肉切片的免疫组织化学分析结果显示患有恶病质的癌症患者的肌肉组织样本中含有高水平的ZIP14。
ZIP14与人群中恶病质之间有联系。对恶病质肌肉中的信号通路的分析显示细胞因子TGF-β和TNF-α可显著促进ZIP14表达上调,而TGF-β和TNF-α*制剂抑**的使用可有效降低恶病质的发生。

ZIP14接到的锌超载诱导癌症恶病质
另一方面,研究人员发现恶病质肌肉中普遍存在锌超载,同时伴随血清锌含量降低。也就是说,肌肉中ZIP14的过表达会增加肌肉细胞对锌的摄取,导致这些肌群严重萎缩,促进恶病质的发生发展。
研究人员指出ZIP14介导的锌积累可介导癌症患者肌肉细胞的肌球蛋白重链的缺失,从而负面影响肌肉细胞分化和肌肉纤维的功能,同时还与转移性癌症肌肉再生受损之间具有潜在联系。恶病质与癌症治疗耐受性降低、恶劣生活质量和死亡加速有关,锌超载和ZIP14表达上调可显著促进癌症死亡。

ZIP14接到的锌超载介导癌症患者肌肉细胞的肌球蛋白重链的缺失
锌是体内必须的微量元素,含量小,功效大,但也并非是多多益善。研究人员发现在没有肿瘤的情况下,适当补充锌对野生型Zip14和Zip14敲除小鼠的生长动力学没有不利影响,而一旦锌超载,就可导致野生型Zip14小鼠体重减轻和肌肉萎缩显着加速。
这种肌肉萎缩与恶病质肌肉萎缩极为相似。这就说明锌超载不仅会使癌症患者发生恶病质肌肉萎缩,对正常人的肌肉损伤也极大。过犹不及,不能盲目补充,这是我们必须谨记的原则。
参考文献:
Metastatic cancers promote cachexia through ZIP14 upregulation in skeletal muscle