肾结石是怎么形成的
肾结石为泌尿系统常见病,多发病,男性发病多于女性,多发生于青壮年,左右侧的发病率无明显差异。40%~75%的肾结石患者有不同程度的腰痛。结石较大,移动度很小,表现为腰部酸胀不适,或在身体活动增加时有隐痛或钝痛。较小结石引发的绞痛,常骤然发生腰腹部刀割样剧烈疼痛,呈阵发性。

肾结石
病因
影响结石形成的因素很多,年龄、性别、种族、遗传、环境因素、饮食习惯和职业与结石的形成相关。机体的代谢异常、尿路的梗阻、感染、异物和药物的使用是结石形成的常见病因。已经知道泌尿结石有32种成分,最常见的成分为草酸钙。其他成分的结石如磷酸铵镁、尿酸、磷酸钙以及胱胺酸(一种氨基酸)等,也可以是以上各种成分的混合物。
分类
1.依据结石的成分分类
(1)草酸钙结石尿液呈酸性,特点为质硬,不易碎,粗糙,不规则,棕褐色。
(2)磷酸钙结石尿液呈碱性,特点为易碎,粗糙,不规则,灰白色、黄色或棕色往往因尿路感染和梗阻而引起。
(3)尿酸盐结石尿液持续酸性,特点为质硬,光滑,颗粒状,黄色或棕红色,尿酸代谢异常。
(4)磷酸铵镁结石属肾脏感染,特点为光滑,面体或椎体,大多与饮食有关。
(5)胱氨酸结石为罕见的遗传性疾病,特点为质硬,光滑,蜡样,淡黄色至黄棕色,因家族性遗传性疾病。
2.依据结石的部位分类
可分为:上尿路结石包括肾结石、输尿管结石;下尿路结石包括膀胱结石、尿道结石。
临床表现
肾结石的患者大多没有症状,除非肾结石从肾脏掉落到输尿管造成输尿管的尿液阻塞。常见的症状有腰腹部绞痛、恶心、呕吐、烦躁不安、腹胀、血尿等。如果合并尿路感染,也可能出现畏寒发热等现象。急性肾绞痛常使患者疼痛难忍。
有时候患者无疼痛感,只有血尿或者血量极微,肉眼看不出来。体检时大多包含尿液检查,并且用显微镜检查尿液离心后的沉渣,如果看到红血球数目过多就表示有血尿,有时正是肾结石的早期征兆。
检查
1.尿化验
可以看到有无尿糖、尿蛋白、红细胞、白细胞、结晶物、细菌等。
2.血液检查
血常规若发现白细胞数过高表示可能有感染,也可抽血检查肾功能和血中的钙浓度。
3.X线检查
X线检查是诊断尿路结石最重要的方法。包括尿路平片、排泄性尿路造影、逆行肾盂造影、或作经皮肾穿刺造影等。
4.B超检查
可对肾内有无结石及有无其他合并病变作出诊断,确定肾脏有无积水。尤其能发现X线透光的结石,还能对结石造成的肾损害和某些结石的病因提供一定的证据。但B超也有一定的局限性,它不能鉴别肾脏的钙化与结石、不能直观地了解结石与肾之间的关系、也不能看出结石对肾的具体影响,更重要的是B超不能对如何治疗结石提供足够的证据。
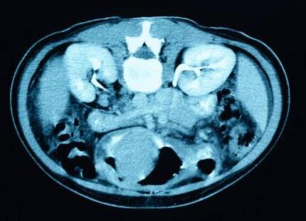
5.CT检查
CT检查是目前结石诊断的首选。CT检查可显示肾脏大小、轮廓、肾结石、肾积水、肾实质病变及肾实质剩余情况,还能鉴别肾囊肿或肾积水;可以辨认尿路以外引起的尿路梗阻病变的原因,如腹膜后肿瘤、盆腔肿瘤等;增强造影可了解肾脏的功能;对因结石引起的急性肾功能衰竭,CT能有助于诊断的确立。
6.磁共振
尿路造影对诊断尿路扩张很有效。尤其是对肾功能损害、造影剂过敏、禁忌X线检查者。也适合于孕妇及儿童。
诊断
1.无症状
多为肾盏结石,体检时行B超检查发现,尿液检查阴性或有少量红、白细胞。
2.腰部钝痛
多为肾盂较大结石如铸形结石,剧烈运动后可有血尿。
3.肾绞痛
常为较小结石,有镜下或肉眼血尿,肾区叩痛明显。疼痛发作时患者面色苍白、全身冷汗、脉搏快速微弱甚至血压下降,常伴有恶心呕吐及腹胀等胃肠道症状。

肾结石
4.排石史
在疼痛和血尿发作时,可有沙粒或小结石随尿排出。结石通过尿道时有尿流堵塞及尿道内刺痛感,结石排出后尿流立即恢复通畅,患者顿感轻松舒适。
5.感染症状
合并感染时可出现脓尿,急性发作时可有畏寒、发热、腰痛、尿频、尿急、尿痛症状。
6.肾功能不全
一侧肾结石引起梗阻,可引起该侧肾积水和进行性肾功能减退;双侧肾结石或孤立肾结石引起梗阻,可发展为肾功能不全。
7.尿闭
双侧肾结石引起两侧尿路梗阻、孤立肾或惟一有功能的肾结石梗阻可发生尿闭,一侧肾结石梗阻,对侧可发生反射性尿闭。
8.腰部包块
结石梗阻引起严重肾积水时,可在腰部或上腹部扪及包块。
治疗
首先应对症治疗。如绞痛发作时用止痛药物,若发现合并感染或梗阻,应根据具体情况先行控制感染,必要时行输尿管插管或肾盂造瘘,保证尿液引流通畅,以利控制感染,防止肾功能损害。同时积极寻找病因,按照不同成分和病因制定治疗和预防方案,从根本上解决问题,尽量防止结石复发。
1.一般治疗
(1)大量饮水较小结石有可能受大量尿液的推送、冲洗而排出,尿液增多还有助于感染的控制。
(2)解痉止痛M型胆碱受体阻断剂,可以松弛输尿管平滑肌,缓解痉挛。通常剂量为20mg,肌肉注射黄体酮可以抑制平滑肌的收缩而缓解痉挛,对止痛和排石有一定的疗效;钙离子阻滞剂硝苯地平,对缓解肾绞痛有一定的作用;α受体阻滞剂在缓解输尿管平滑肌痉挛,治疗肾绞痛中具有一定的效果。
(3)控制感染结石引起的尿路梗阻时容易发生感染,感染尿内常形成磷酸镁铵结石,这种恶性循环使病情加重。除积极取出结石解除梗阻外,应使用抗生素控制或预防尿路感染。
2.按不同成分的病因治疗
(1)高钙尿①原发性高钙尿可使用噻嗪类药和枸橼酸钾,吸收性高钙尿除噻嗪类药、枸橼酸钾外,不能耐受该类药物的需用磷酸纤维素钠,有血磷降低者需改用正磷酸盐。②高钙血症积极治疗伴随疾病,当发生高钙血症危象时,需紧急治疗。首先使用生理盐水尽快扩容,使用袢利尿剂呋塞米等增加尿钙排泄;二磷酸盐主要治疗高钙血症药物,可以有效抑制破骨细胞活性,减少骨重吸收。患者有原发性甲状旁腺功能亢进并伴有症状性高钙血症或无症状性肾结石时,首选手术切除甲状旁腺。当患者有症状性或梗阻性肾结石,在无高钙血症危象时,首先处理结石。
(2)肾小管酸中毒主要使用碱*药性**物减慢结石生长和新发结石形成,纠正代谢失调。
(3)高草酸尿原发性高草酸尿治疗较困难,可试用维生素B6,从小剂量开始,岁效果减退而不断加量,同时大量饮水,限制富含草酸的食物,可使尿液的草酸水平降至正常。
(4)高尿酸尿低嘌呤食物、大量饮水可降低尿内尿酸的浓度。
(5)高胱氨酸尿适当限制蛋白质饮食,使用降低胱氨酸的硫醇类药物加以治疗。
(6)感染石根据患者情况将结石取出,选择适宜的抗生素控制尿路感染。
3.外科治疗
疼痛不能被药物缓解或结石直径较大时,应考虑采取外科治疗措施。其中包括:①体外冲击波碎石治疗。②输尿管内放置支架,还可以配合ESWL治疗。③经输尿管镜碎石取石术。④经皮肾镜碎石术。⑤腹腔镜切开取石术。
奥秘世界(微信号:ms1390)致力为广大奥秘爱好者提供一切奥秘的权威平台。