烤瓷牙俗称牙冠、牙套,是由惰性金属和烤瓷制成,内冠是一层金属材料,常见镍铬合金,钛合金,钴铬合金。外冠是瓷粉。通过高温烧结融附而成。烤瓷牙既有金属的强度又有烤瓷的美观性。是目前比较常见的修复牙齿缺损的有效方法。
其实烤瓷牙真的是一个很有争议性的话题,而谈到烤瓷牙,小编建议大家不要仅仅只是为了贪图快速,贪图美观而去选择做烤瓷牙冠。还是需要综合自身的情况,看看自己究竟适不适合做烤瓷牙。更不要因外边宣传的广告而掉入烤瓷牙的“低价陷阱”。

一般来说做烤瓷牙只需要将牙齿表面均匀磨掉约1.5-2mm,这个磨除的程度是不会伤害到牙本质的。如果只是为了美观,就磨掉原先健康的牙齿,那当然是不划算的,但是以下这些牙齿本身有问题的人,烤瓷牙修复就不失为好的选择:
适合范围:
⊙严重蛀牙做了根管治疗,没有神经的脆弱牙齿
⊙牙体缺损较大,甚至单颗牙缺失的
⊙牙齿变色或者色调不佳的,如釉质发育不全的、四环素牙、锥形小牙等
⊙牙齿形状特异、不美观,同时又不适合做矫正的(异形牙、错位牙)
⊙部分咬合不正常的

但是,在磨牙过程中,如果医生技术或者材料达不到标准的话,那么就会出现上图这样的惨剧。此外,磨牙还会伤害到牙龈组织或牙髓,甚至会使烤瓷牙与原牙不密合,烤瓷牙边缘刺激牙龈使牙龈肿痛,得牙周疾病。
烤瓷牙出现这几种情况,必须拆
1牙龈黑线的
这种也是佩戴劣质烤瓷牙后最常出现的情况,因其价格低廉备受欢迎,但是在长期的佩戴过程中会出现牙龈发黑的现象,这是因为非贵金属烤瓷牙在口腔内氧化成灰色氧化物,时间久了沉淀于牙龈,造成牙龈黑线,若不及时拆除,很可能会出现牙龈炎、牙周炎甚至牙齿脱落。

2引起真牙蛀牙的
如果医生备牙不合格,牙齿模型不精致,烤瓷牙加工厂技术不到位,佩戴后出现边缘不密合的情况,会给细菌提供有利条件,这些细菌进入牙冠里面但是又出不来,你只能眼睁睁的看着牙齿慢慢烂完。真是赔了夫人又折兵,在这种情况下,必须拆。
3未治疗好牙周疾病的情况下
一些牙医和患者在做烤瓷牙的时候急于求成,对牙龈牙周没有做一个详细的评估,比如本身有牙龈炎症,牙龈红肿、萎缩等,在没有治疗的情况下安装烤瓷牙导致一系列问题的应该尽快拆除。
4烤瓷牙崩瓷
选择什么样的加工厂,患者是否粗暴对待烤瓷牙?用用就知道了,崩了会怎么样?崩瓷边缘较尖锐,会造成舌头,唇部粘膜创伤,而且崩瓷后金属外露,在长时间的食物摩擦及唾液的作用下发生化学反应,那就一个字,拆!

5牙体预备失败
总体说来,提醒:千万别掉入烤瓷牙的“低价陷阱”。
劣质的烤瓷牙
边缘密合性差;与人体的生物相容性差,部分患者配戴一段时间后颈缘处的牙龈组织会出现“黑线”,甚至还有此类烤瓷牙引发过敏反应的病历报道,临床上较容易出现崩瓷现象。

烤瓷牙如使用3—5年便开始出现各种症状,如崩瓷、失真透光、色泽欠佳、脱落、咀嚼无力、牙龈出血、牙龈变色、牙周病变等。以上各种情况均属于烤瓷牙失败,其中牙冠边缘出现黑线是非常常见的情况,对于这种情况,应尽早修复,避免二次伤害。
在做烤瓷牙之前一定要考虑全面,烤瓷牙用得好,能够解决不少牙齿问题,这就需要咨询专业牙医来为你量身定制。我们看待烤瓷牙要保持理性,不能存在偏见。
牙冠优选全瓷牙
根据制作材料,牙冠可以简单分为烤瓷牙和全瓷牙。

烤瓷牙价格参考:镍铬合金烤瓷冠 < 镀金烤瓷冠 < 钛金烤瓷冠 < 金铂合金烤瓷冠 < 金沉积烤瓷冠全瓷牙:
全瓷牙价格参考:玻璃陶瓷< 氧化铝基全瓷冠 < 氧化锆基全瓷冠
当然条件允许的话,我们建议选择全瓷牙,全瓷牙磨牙较少,更大程度地保留自己的原配牙齿,没有金属基底冠的存在,有效避免了金属过敏和牙龈黑线等问题的出现,形态颜色更加自然逼真。
冠修复案例:

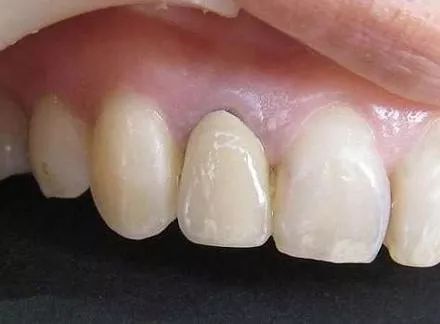
这个案例的旧牙冠是镍铬合金烤瓷冠,所以牙龈边缘会有黑线透出来;而且旧牙冠做的比较外突,和左侧门牙之间有一个缝隙;两颗门牙的牙龈高度不一致。这些都导致用户笑容的美观度大打折扣。
材料再好,找个好医生进行治疗才是重中之重:
牙冠也不是100%终身有效的,如果做得不好的话,容易出现里面的牙齿龋坏。毕竟是后来贴上去的材料,不像牙釉质和牙本质天生严丝合缝,贴得不好的话,细菌就容易通过材料和牙体粘合的缝隙处往里侵蚀,所以烤瓷牙的牙颈部容易龋坏,也可能出现牙周炎症,对牙齿的寿命是有影响的。
医生的技术水平是决定牙冠做的好不好最重要的因素。如果医生水平比较高、又认真负责,做出来的牙肯定使用的更久。所以一定一定要找技术好的医生做,尽量做到贴面或瓷冠材料和牙体的密合。
本文来源于网络;版权归原作者所有,如有违规、侵权请联系我们,本平台会及时做出处理。