在很多人的认知中,认为美牙冠就是烤瓷牙,就是换了一个好听点的名字。但是实际上烤瓷牙真的不等同于美牙冠,两者之间还是有很大的区别的,甚至可以说烤瓷牙只是美牙冠其中的一个小分支而已。
美牙冠是需要一定的技术能力,所以并不是所有的医院都能够开展美容冠修复的。
那美牙冠到底是什么呢?
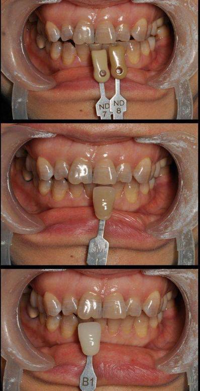
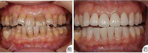
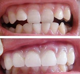
美牙冠是快速实现牙齿美容的技术,可以在较短的时间内,对一些畸形牙冠进行快速整容,较快的达到美白牙齿整齐的目的。

下面我们来讲一下什么样的人群适合做美牙冠
1、畸形牙。牙齿排列不整齐,影响个人形象。
2、色素牙。牙齿泛黄,存在色素沉积(例如四环素牙等无法消除的色素沉积)。


美牙冠是在烤瓷牙的基础上发展起来的,通过对错位牙、畸形牙的牙冠部分施以专业手段,后用美牙冠加以修复。
- 美牙冠矫正时间短。传统的牙套技术相对来说时间就长很多,需要几年时间,而且还需要每个月进行一次复诊,而美牙冠能通过迅速的针对几个牙齿做出调整,可以让牙齿排列得美丽,使牙齿形态也得到相应的改变。只需5天时间就可轻松拥有一口靓牙
- 美牙冠可改变牙齿的一些问题。 美牙冠可以解决牙齿的不整齐的问题,而且还可以解决牙齿颜色,使牙齿变白,像四环素牙这种无法治疗的色素问题就可以得到极大改善。
- 美牙冠可以在不损伤正常牙齿、牙龈的前提下,根据牙槽骨的形态对牙齿做修整,仅对不整齐的凸出部位进行精细打磨,无需拨牙。

虽然美牙冠能达到快速美牙的效果,但是同时美牙冠也存在一些弊端,这些可能出现的问题做之前要搞清楚
1、对牙龈的危害
制作过程中把好牙磨除,做成假的。正常人的牙齿是一个整体,牙齿磨除破坏了牙齿的整体形态。而且,处理过的牙齿肩台处理不好,会造成牙龈红肿,容易出血,形成封闭。
2、磨除大量牙体组织
磨牙磨掉得是牙釉质,牙套与牙齿没有紧密贴合,在结合处留有缝隙,时间长了,牙齿会从里面烂掉。

3、磨牙后牙齿酸痛
美牙冠磨牙,磨除到了牙本质层,造成牙釉质丧失,亚本质受损,小管间液不平衡。在受到外界轻微刺激,就会开始疼痛。
4、形态改变后易折断
做完美容冠后,很多由于牙齿畸形做的美牙冠的牙根与牙冠方向不一致,成一定角度。因此,咬合时会在牙颈部形成不良的应力,颈部容易折断或出现其他问题,所以牙医建议因为牙齿畸形而想做美牙冠的人选择传统的牙齿矫正会更好一些。

选择什么样的美牙冠比较好?美牙冠的主要材料有以下几种:
1、钴铬合金美容冠:其生物相容性优于非贵金属,耐腐蚀,不易出现崩瓷,可以避免牙龈出血及黑色牙龈的现象出现。而且经济、实用,适合大多数牙齿的修复,尤其适合后牙固定桥等固定修复。
2、贵金属美容冠:它是理想的修复材料之一,强度更高,无刺激,而且金与瓷的结合很牢固,与组织的相容性更好,美观性好,能满足美容修复的要求。
3、全瓷牙美容冠:全瓷牙的色泽能够保持自然色,且质量较轻,佩戴更舒服。导热性能低,更有利于保护牙髓健康,有更好的美观结果。
因此,一般来说牙医都会比较推荐全瓷牙美牙冠。


牙齿问题是大事,任何时刻都不要掉以轻心。牙齿不整齐或是一口老黄牙,如果对牙齿美观程度需求比较高的话可以考虑去做一口美容牙冠,真的还你一口漂亮的大白牙。

我是牙科医生黄征难,36年从业经历,如果你有任何口腔问题,欢迎关注后在主页私信咨询,或评论留言!可以私信牙片,我来帮你免费问诊!