
今天是世界睡眠日。
看到有作者把去年发表在《大脑》上标题为“临床前和早期症状性阿尔茨海默病患者睡眠和纵向认知能力变化(Sleep and longitudinal cognitive performance in preclinical and early symptomatic Alzheimer’s disease)”

解读为“睡多了就没事?错!研究:睡眠时间过长对大脑影响更大”,这并不是科普,只能说是为了博眼球的故意歪解。
睡眠障碍,阿尔茨海默病的表现?
科学家早就认识到了睡眠与阿尔茨海默病之间存在关联。

患有痴呆症的老年人往往表现出明显的睡眠障碍,包括睡眠持续时间较短,睡眠不连续,昼夜休息/活动颠倒,以及睡眠呼吸障碍(带有呼吸暂停的严重的打呼噜)。
开始,这些睡眠障碍通常被解释为阿尔茨海默氏病等神经退行性疾病的后果;后来,科学家开始探讨睡眠障碍是否也可能是导致或增加阿尔茨海默氏病的风险因素呢?
这一点非常重要。
这是因为,一旦确认睡眠不良与阿尔茨海默氏病之间存在因果关系,那么就可以通过改善睡眠来实现对阿尔茨海默氏病的预防和治疗。
睡眠缺乏、睡眠不良与认知能力降低相关

科学家在这方面进行了大量的观察性研究,对睡眠的检测方法,有的是通过问卷调查,还有的通过被称为“黄金方法”的多导睡眠图监测,或者相对简单的可穿戴设备的活动描记法。
无论是使用什么方法,多数研究都获得了相对一致性的结果,睡眠缺乏,睡眠质量差,尤其是慢波睡眠(深睡眠)时间少,睡眠碎片化,睡眠呼吸障碍,以及经常使用催眠药,都与认知能力的下降有关。
比如,一项非常难得的超过2300名芬兰双胞胎中年人(平均年龄 52岁)睡眠与认知障碍和痴呆 平均长达20年 (18年至26年)的长期随访研究发现,睡眠时间短(< 7小时)和长(> 8小时),睡眠质量差,以及每年使用催眠药物> 60天,都报告与较低的认知综合得分有关。
尤其引人注目的是,睡眠时间长与阿尔茨海默病风险增加也相关。
当然,这个阶段科学家主要关注的是睡眠时间短和睡眠质量差与认知能力降低之间的关系。
但是,这些研究归根结底都属于流行病学调查,不能得出确定性的因果关系,因此只能称为存在关联,需要更多更客观的研究来确定这种关系。
睡眠与阿尔茨海默氏病的病理之间的关系
科学家还观察到,睡眠改变与经过生物学标志或尸检得到的阿尔茨海默氏病病理学改变之间存在明确的联系。

比如,有的研究发现,在认知能力正常的中老年人,脑脊液中Aβ42蛋白水平低(代表阿尔茨海默氏病标志性淀粉样变Aβ蛋白高)的人睡眠效率较差;同时,睡眠质量差的人,脑内病理性蛋白水平就高。
睡眠与阿尔茨海默氏病生物标志物的关系
一些动物实验中,科学家提供了睡眠与阿尔茨海默氏病之间令人信服的因果关系。

比如,阿尔茨海默氏病小鼠模型中,脑内Aβ蛋白水平随着清醒时间的增加而增加,睡眠剥夺进一步增加了Aβ的沉积——阿尔茨海默氏病的特征性病理改变。

另一项小鼠研究则发现,自然发生的慢波睡眠( 深睡眠)可以清除脑内病理蛋白 。
睡眠为什么会与认知水平降低和阿尔茨海默氏病发生相关呢?
目前已经有几个机制可以解释观察到的睡眠障碍与认知能力下降和阿尔茨海默氏病病理学之间的关系。
其中,最引人瞩目的是有关缺觉与Aβ病理蛋白之间的联系。
如上所述,已经有研究证明,深睡眠会增加大脑对Aβ的清除,因此睡眠缺失就会反过来增强Aβ在脑内的集聚。
还有研究发现,睡眠不足会直接导致神经元损伤,从而导致认知能力下降。
另外,也有研究表明,睡眠呼吸障碍引发的低氧血症和睡眠碎片化同样可以导致认知能力下降和Aβ沉积。
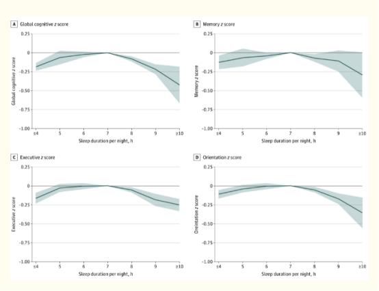
睡眠时间与认知能力之间呈倒U形关系?
如上所述,芬兰双胞胎研究中,睡眠时间短和长都与认知能力下降有关。
这种关系在稍后更多的研究中被观察到。

比如,2020年发表的一项包括英国老龄化纵向研究和中国健康和退休纵向研究共超过20000人平均超过5年的随访发现,与每晚睡眠7小时的对照组相比,睡眠时间少于4小时,或睡眠时间长于10小时,认知能力都呈现更快的下降。

就是说,睡眠持续时间和整体认知下降之间的倒U形相关关系。
而且,睡眠时间长与程度更低的认知相关联。

但是,作者在讨论部分指出,本研究虽然数据庞大,但由于属于观察性研究,不能得出睡眠与认知能力下降之间的因果关系;而且,两者之间还可能存在反向因果关系,睡眠时间长或短,都可能是阿尔茨海默氏病的临床表现,而不是原因或危险因素 。
而更多的作者则倾向于认为,睡眠时间短和睡眠质量低,尤其是缺乏深睡眠或可能是阿尔茨海默氏病的危险因素;而 睡眠时间长则更可能是阿尔茨海默氏病的一种早期迹象。
也就是说, 睡眠时间长的老年人更容易发展成阿尔茨海默氏病。
华盛顿大学探索更好的研究方案

2021年10月份,华盛顿大学医学院发表在《大脑》上的研究,主要目的并不是探讨睡眠时间与认知能力下降之间的关系,更在于探索一种更好的研究方法。
这项探索性研究的改进在于,研究者使用了可穿戴家庭用单极睡眠脑电图仪来记录睡眠,并与阿尔茨海默病生物标志物,以及认知能力纵向变化之间进行了分析。
使用可穿戴家庭睡眠脑电图仪替代睡眠问卷和腕部活动描记仪的优势不仅是更客观地记录睡眠信息,而且可以获得不同阶段睡眠时间,从而更有利于分析不同阶段睡眠,比如深睡眠与认知能力改变之间的关系。
本研究的结果与此前此类研究基本一致,就是睡眠时间与认知能力下降之间呈倒U关系,似乎睡眠时间长与认知能力更大程度的下降相关。
作者在讨论部分,以及

同期评述文章都指出,本项研究增加的新的信息是,由于 使用了新式*器武** ,除了总睡眠时间,研究还显示非快速眼动睡眠时间、快速眼动睡眠时间、睡眠效率,以及深睡眠(< 1 Hz和1-4.5Hz非快速眼动慢波活动)时间低和高值,都与阿尔茨海默氏病生物标志物和测试获得认知功能纵向下降有关。
也正是一种研究方法的探索性研究,受试者仅有100个样本,获得的结果证据性更小一些。
作者最后强调, 这项研究最大的意义在于为将来开展大规模研究铺平了道路 。
可见, 睡眠时间长也与认知能力下降相关,并非是一种新发现 ;而且没有证据表明这种关联属于因果关系。
也就是说, 没有任何证据可以支持任何人可以说“睡眠时间过长对大脑影响更大”这样的话 。
#研究:睡眠时间过长对大脑影响更大#
#辟谣#