急腹症是影像学检查的常见指征,但是 CT 上我们常常忽略胃的情况,本文将介绍几种非恶性胃部疾病导致的急腹症的 CT 表现。
No.1
胃炎
一项纳入 1 0 00 例急性腹痛患者中,胃炎约占 5.3%。 CT 上,胃炎通常表现为胃壁增厚,严重情况下,胃壁粘膜下水肿及炎症表现为胃壁密度减低,可表现为晕征,尤其见于动脉期。 尽管胃炎多数表现为弥漫性胃壁增厚,少数情况下也可表现局灶性或节段性胃壁增厚,尤其见于 HP 感染或口服非甾体类抗炎药的患者中。 这种局灶性胃壁增厚与胃癌表现类似,常需要胃镜进一步明确。

75 岁男性,急性胃炎,恶性呕吐就诊。CT 增强示胃壁弥漫性增厚,粘膜明显强化,可见粘膜下水肿。

中年女性,因坐骨神经痛使用强的松治疗后出现恶心。冠状位 CT 示胃窦部偏心性增厚及粘膜下水肿,胃体部正常。内镜活检证实为急性胃炎。
No.2
气肿性胃炎
气肿性胃炎是一种罕见的发生于胃部的致命性疾病,临床上以胃壁内出现游离气体为主要特征。 病因包括感染、缺血、药物及特发性等,常见的病原菌包括链球菌、大肠杆菌、金葡菌等。 易感因素包括免疫力低下(如糖尿病及恶性肿瘤患者)、既往有胃黏膜损伤病史(如酗酒、服用 NSAIDs)等。 患者多以急性腹痛、发热、恶心甚至消化道出血为主要表现。
CT 表现为:胃壁增厚及粘膜下水肿,胃壁内积气,这些气体可进入门脉系统致门脉系统积气。

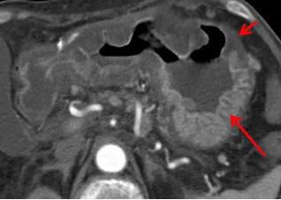
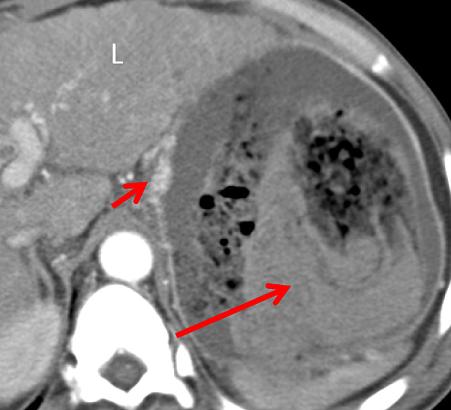
中年男性,突发恶心、呕吐。CT 增强门脉期示胃体部胃壁稍增厚,增厚的胃壁内可见散在气体,另外肠系膜静脉积气。

老年男性,气肿性胃炎,上腹部疼痛。CT 平扫示胃壁积气,腹腔及门静脉积气。
No.3
消化性溃疡
消化性溃疡: 胃 溃疡临床上较为常见,常与 HP 感染及口服药物有关。 CT 上表浅的溃疡难以显示,但可显示位置较深的溃疡。 当溃疡穿孔时表现为腹腔积气。

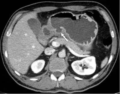
胃溃疡,CT 增强示胃小弯侧形成的火口样溃疡。

胃溃疡穿孔,CT 增强示胃窦部溃疡,周围渗出,腹腔积气。
No.4
胃扭转
凡 胃的部分或全部大小弯位置发生变换均为胃扭转,多与周围韧带先天性发育异常有关,如胃结肠韧带、肝胃韧带过长或松弛,也可继发于膈膨出、膈疝或溃疡、肿瘤等因素的推挤牵拉,但也可无任何诱因。 临床上急性扭转起病急,表现为持续性干呕,突发严重短暂的胸部或上腹部疼痛,胃内难以插入胃管为特征。 而慢性胃扭转则症状轻重不一,或有食后胀满,上腹部疼痛等非特异性症状。
根据扭转方式不同,可分为 3 型:(1)器官轴型或纵轴型:以贲门与幽门连线为轴心,向上翻转,致小弯向下,大弯向上。(2)网膜轴型或横轴型:以长轴垂直的方向,向左或向右翻转。(3)混合型:兼有上述两型不同程度的扭转。三种类型中以器官轴型扭转常见,网膜轴型次之,混合型少见。

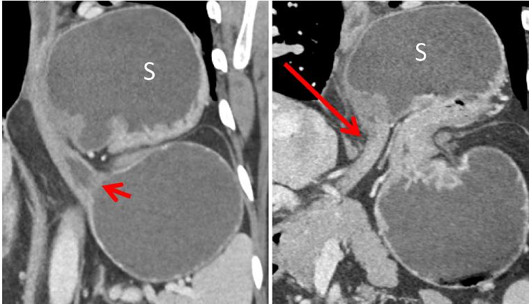
中年男性,突发吞咽困难。冠状位 CT 增强静脉期示胃体部位置上移至幽门上方,食管胃连接处位置仍正常。
No.5
胃套叠
胃 套叠常 发生儿童,仅约 5%-16% 发生于成人,且 70%-90% 是由其他并存异常情况引起。 套叠可以发生于胃肠道任何部位,常见的套叠包括回-结肠,小肠-小肠,回肠-盲肠及结肠-结肠,也可发生于胃。 胃套叠 CT 表现与其他肠套叠表现相似,多平面重组有利于显示病变。

中年男性,突发恶心呕吐。冠状位 CT 增强门脉期示胃窦部套叠,伴胃内容物潴留。手术证实为胃窦部增生型性息肉所致套叠,此息肉在 CT 上显示不清。
No.6
胃出血
引起胃出血常见病因包括溃疡、静脉曲张、贲门粘膜撕裂综合症、血管病变及肿瘤。 临床症状取决于出血的量和速度,可无症状甚至休克。 增强 CT 可能显示出血的部位,表现为出血处造影剂外漏。 平扫 CT 上胃内异常高密度可能代表血肿。

中年男性,既往肝硬化,头晕就诊。CT 增强动脉期示胃腔内异常高密度,代表血肿。胃壁上见多发迂曲的小血管。
No.7
Bouveret 综合症
Bouveret 综合症 是由胆道系统结石通过胆肠瘘或经 Oddi 括约肌进入胃肠道引起的机械性消化道梗阻,常发生于老年女性中。 临床症状包括恶心呕吐、腹痛等。 CT 表现为肠管积液积气扩张,异位结石和胆道系统积气。

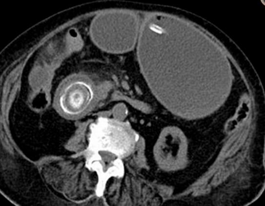
老年女性,腹痛、呕吐就诊。CT 平扫示胃腔扩张,十二指肠降部腔内见高密度结石。

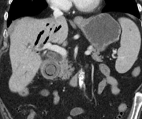
老年女性,右上腹疼痛、呕吐。CT 增强示十二指肠球部结石,十二指肠球部及胆囊相通,存在瘘。
【版权声明】本平台属公益学习平台,转载系出于传递更多学习信息之目的,且已标明作者和出处,如不希望被传播的老师可与我们联系删除