今天,我们谈谈胆囊的话题~
(本文略长,但说得很全
让你看完觉得胆囊很安全~)

先跟大家一起来分享一下几个案例:
↓↓↓
案例一
31岁男性,体检发现胆囊多发结石来门诊就医,寻求药物治疗或保胆取石手术,经专科医生详细分析利弊,最终选择腹腔镜手术切除胆囊,切除的胆囊内发现数百颗小结石,术后第二天顺便出院。

案例二
34岁男性,发现胆囊单发结石(直径约5mm)多年,近年来多次发作急性胆囊炎,为寻求保胆取石手术来门诊就医,经专科医生详细解释保胆取石手术的“利与弊”,最终放弃保胆。术前检查发现胆囊颈部小结石嵌顿,手术共计耗时25分钟完成腹腔镜胆囊切除术,术后第二天即恢复出院。

案例三
58岁中年男性,胆囊多发结石并慢性胆囊炎多年,一直抗拒手术治疗,感染性休克,多器官功能衰竭入住重症监护室,检查提示急性坏死性胰腺炎,前后花费过百万,住院时间超过半年保住性命。
案例四
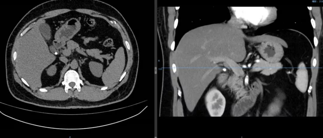
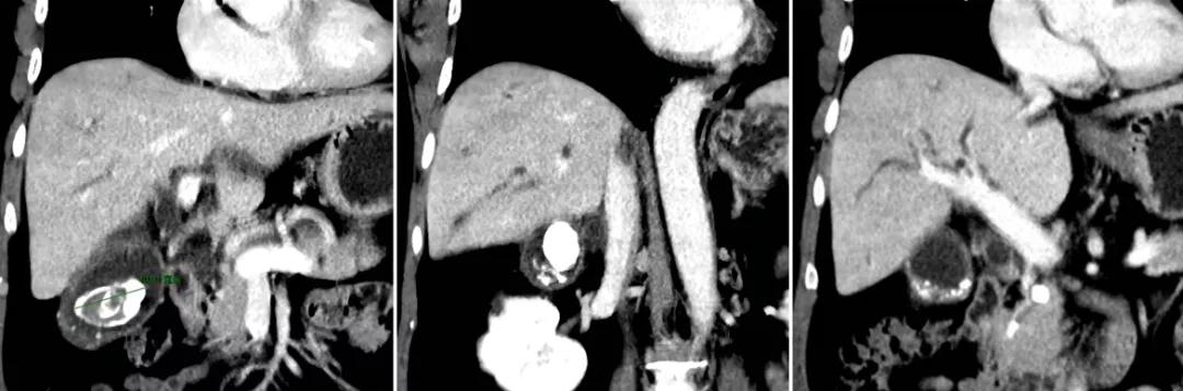
47岁男性,胆囊结石多年,未予重视。与朋友聚餐后突发腹痛并身目黄染急诊入院,检查提示胆囊最大结石直径超过4cm,胆总管下端小结石堵塞致肝内外胆管扩张,总胆红素超过300μmol/L(正常值为小于21μmol/L),行“腹腔镜胆囊切除+胆总管切开探查取石+T管引流”,术后症状缓解,黄疸逐步消退。

案例五
28岁女性,右上腹部不适多年,半年前检查提示胆囊结石,遂在外院行“保胆取石术”,术后不适症状未见明显改善,来门诊寻求进一步的帮助,检查提示胆囊多发小结石,再次行腹腔镜胆囊切除术,术后不适症状明显改善。
案例六
60岁女性,胆囊结石多年,一直未予重视,亦无规律随访复查。因偶然体检发现胆囊结石、胆囊占位就诊,完善检查后不排除胆囊癌,遂入院行“胆囊癌根治术(胆囊切除+肝部分切除+肝外胆管切除+区域淋巴结清扫+胆管-空肠吻合术)”,术后病例提示低分化胆囊腺癌,目前密切随访治疗中。
以上的病例其实仅为我们接诊病例中的冰山一角, 希望能引起大家对胆囊结石,对胆囊良性疾病的重视 。

近日,《胆囊良性疾病外科治疗的专家共识》(2021版)正式发表,《共识》明确反对对胆囊良性疾病实施「保胆取石手术」;不推荐使用药物溶石、排石和体外冲击波碎石等治疗方法;胆囊切除术是胆囊良性疾病的唯一治愈性手段。
我院 肝胆胰脾外科主任万云乐主任医师 指出, 胆囊结石是最常见的胆囊相关疾病 ,也是我国的常见病和多发病,随着健康检查的普及, 无症状的胆石病的发现明显增多 ,尤其是 年轻的白领、蓝领,更是其中的高发人群 。
“医生,我有胆囊结石
但平时也没什么不舒服啊,需要处理吗”
“我就偶尔有点隐痛,可以不管吗”
“听说胆囊结石一定要做手术,吃药能行吗”
“能不能只取掉结石,保留胆囊啊”
... ...
诸如此类的咨询
几乎出现在每一个肝胆外科的门诊单元

为了更好的回答上述的问题,我们需要了解一下胆囊的局部解剖结构及毗邻关系, 胆囊通常粘附在肝脏的脏面,与胃、十二指肠关系紧密 ,因此很多按照 “胃病”治了很长时间 的朋友,一直没有办法彻底解决问题,原因就是小小 胆囊惹的祸 。

胆囊在人体扮演了怎么样的角色?
肝胆胰脾外科副主任李国林副主任医师介绍到,人体绝大部分的胆汁都是由肝脏产生,胆囊的主要功能可以理解为储存胆汁的中转站,其具体功能如下:
1、浓缩储存胆汁: 胆囊容积仅为30-60ml,但胆囊黏膜吸收水和电解质的功能很强,可将胆汁浓缩5-10倍而储存于胆囊内。
2、排出胆汁: 胆汁的分泌是持续的,而胆汁的排放则随进食而断续进行,这一过程可通过胆囊平滑肌收缩和 Oddi 括约肌松弛来实现,受神经系统和体液因素(胃肠道激素、代谢产物、药物等)的调节。
3、分泌功能: 胆囊黏膜每天分泌约 20ml 黏液性物质,主要是黏蛋白,有润滑和保护胆囊黏膜的作用。

胆囊结石有什么症状?
大多数的胆囊结石病人都没有明显的症状 ,临床上称为无症状胆囊结石, 大部分无症状胆囊结石都是通过常规的健康体检或者偶然的机会发现 。
胆囊结石引起的典型症状,通常是由于胆囊功能的下降或者各种原因引起的急性或慢性胆囊炎表现。常见的表现如下:
1、胆绞痛
典型的发作是在饱餐、进食油腻食物后或睡眠中体位改变时,疼痛位于右上腹或上腹部,呈阵发性,或持续疼痛阵发性加剧,可向右肩胛部和背部放射,部分病人因剧痛而不能准确说出疼痛部位,严重者可伴有恶心、呕吐甚至寒战高热。
2、上腹隐痛
多数病人仅在进食过多、吃肥腻食物、工作紧张或休息不好时感到上腹部或右上腹隐痛,或者有饱胀不适、嗳气、呃逆等,常被误诊为"胃病"。
3、胆囊积液
胆囊结石长期嵌顿或阻塞胆囊管但未合并感染时,胆囊黏膜吸收胆汁中的胆色素,并分泌黏液性物质,导致胆囊积液。积液呈透明无色称为白胆汁。
4、其他: 黄疸或胆管炎的表现。

胆囊结石有什么危害?
其实结合前文的病例就可以看出
胆结石如果长期不管
可以导致多种问题!!!
1、结石刺激引起急性胆囊炎:典型表现有肩背部放射性疼痛,严重者可出现寒战高热、恶心呕吐等表现。
2、结石掉落堵塞胆管引起梗阻性黄疸及胆管炎,严重者可引起感染性休克等重症胆管炎表现。
3、结石掉落堵塞胆胰管出口引起急性胰腺炎,严重者可引起多器官功能衰竭甚至危及生命。
4、反复结石刺激导致慢性胆囊炎:胆囊壁增厚,胆囊功能下降。
5、结石及炎症的长期刺激可诱发胆囊癌

胆囊结石需要如何治疗?
最新版的《共识》指出,胆囊切除术是胆囊良性疾病的唯一治愈性手段。万云乐表示,具有以下情况时应积极手术治疗:
(1)有症状和(或)并发症的胆囊结石;
(2)有相关并发症,如继发性胆总管结石、胆管炎、胆源性胰腺炎等;
(3)具有胆囊癌危险因素,如胆囊萎缩、充满型结石、瓷化胆囊、胆囊壁增厚(≥3 mm)、胆囊肿瘤性息肉等;
(4)合并先天性胰胆管汇合异常、原发性硬化性胆管炎、肥胖与糖尿病等;
(5)胆囊畸形等。

对于有手术指征的胆囊良性疾病推荐实施胆囊切除术。而腹腔镜胆囊切除(Laparoscopic Cholecystectomy, LC)作为目前胆囊切除手术的金标准术式,具有 损伤小、恢复快、疼痛轻、癫痕不易发现 等优点,配合目前快速康复的理念, 绝大部分病人在手术后第二天即可出院 。
而随着腔镜外科技术的不断进步以及各种手术设备的更新换代, 单孔腹腔镜胆囊切除术、隐匿性切口腹腔镜胆囊切除术等亦逐渐成为部分患者的首选 。
针对无法耐受胆囊切除手术的急症患者,胆囊引流术是临时有效的治疗手段,PTGBD是首选术式,待全身情况改善,胆囊炎症消退后再择期实施胆囊切除手术。
对于暂不接受手术治疗的无症状胆囊结石患者,应密切随访,如出现症状、胆囊结石相关并发症及胆囊癌危险因素时,应及时实施胆囊切除术。
与此同时,《共识》明确 反对对胆囊良性疾病实施“保胆手术”。亦不推荐使用药物溶石、排石和体外冲击波碎石等治疗方法 。
如何合理的“保胆”?
李国林指出 ,大家应该树立正确的“保胆”观念,应该保护胆囊的功能,而非仅仅为了保留胆囊这一个器官,保留一个已经没有功能的器官,实际上就是给自身埋下一个定时*弹炸**。对于胆囊良性的疾病,是否进行外科手术干预,其实就是博弈的过程,一个权衡利弊的选择题。 如果病人无法从手术中获益,那么手术就不应该进行 。
正如国内部分教授倡议的那样,我们从来不推荐对正常的胆囊做任何手术,但正常的胆囊是不会产生结石的,保胆取石把胆囊这个器官保留下来了,但却已无法改变胆囊发生了病变的事实,因此我们应该 在胆囊出现病变之前就打响胆囊保卫战 ,对于 无功能、高危的胆囊坚决予以切除 。
合理的“保胆”应该从调整饮食习惯开始 :规律作息及饮食,尤其是规律的吃早餐,能有效的降低胆囊结石(息肉)的发生率,避免长期大量摄入高脂肪、高蛋白食物,喜欢喝茶的朋友也应注意避免长期喝浓茶。

此外需要 重视每年的体检 ,常规的健康体检需要包含肝胆胰脾的彩超,对于胆囊的良性疾病做到早期发现,早期干预。
当有明确的手术切除指证时应及时的进行外科手术干预,对于没有明显症状、引起其他严重后果风险不高、胆囊功能良好的年轻朋友,可密切进行观察随访, 一旦发现有不良的苗头积极进行手术,尤其对于有生育要求的女性朋友,对于胆囊良性疾病的处理应该采取更加积极的干预措施。

“保胆”,你学会了吗?
中山六院肝胆胰脾外科简介

我院肝胆胰脾外科是国家临床重点专科普外科的重要组成部分。自2012年建科以来,依托我院拳头学科胃肠外科的平台,我科承担了胃肠道肿瘤肝转移的诊治工作,业已完成了数百例肝转移瘤的外科手术治疗,与胃肠外科、肿瘤内科、放疗科、影像科、超声科等团队合作,为患者的5年生存率的提高做出了极大的贡献,同时我科针对胃肠道肿瘤肝转移已经形成了先进的外科治疗理念及完善的个体化治疗体系。
得益于医院领导的重视及手术室麻醉科等相关科室的鼎力支持,中山大学附属第六医院肝胆胰脾外科迎来了高速发展的快车道,在万云乐主任及李国林副主任医师的带领下,腹腔镜肝切除、腹腔镜胰十二指肠切除、腹腔镜胰体尾切除、腹腔镜胆囊癌根治以及腹腔镜胆道探查一期缝合等肝胆胰复杂手术均逐渐成为了科室常规开展的术式。
目前科室肝胆胰手术微创率超过80%,在结直肠癌肝转移的精准外科治疗、肝胆胰恶性肿瘤的根治性微创手术切除以及良性/低度恶性肿瘤的器官功能保护手术等方面逐步形成科室的特色。
本文指导专家

肝胆胰脾外科 万云乐 主任医师
医学博士,博士生导师,主任医师。获“岭南名医”,“羊城好医生”称号。
学术任职:
广东省健康管理学会肝胆胰微创专业委员会第一届委员会副主任委员;
广东省医师学会外科分会常委;
广东省医学会肝胆外科分会常委;
广东省医师协会肝胆外科医师分会常委;
广州市医师协会乳腺病分会常委;
广东省抗癌协会肝癌专业委员会委员;
广东省临床医学学会华南名医专家委员会医学专家会员;
中国医师协会器官移植分会委员;
中国研究型医院学会移植医学专业委员会委员。
专长:一直从事普通外科临床工作,对肝胆胰脾、胃肠、甲状腺和乳腺等普通外科各类疾病的诊断和治疗有较丰富的临床经验。尤其擅长原发性肝癌,胆道疾病,胰腺疾病,肝硬化、门静脉高压症和甲状腺、乳腺疾病的诊断和手术治疗,对腹腔镜微创手术积累了较丰富的经验。
参加国家重点基础研究发展规划项目(国家973项目)1项,国家自然科学基金研究项目三项,获得科技成果奖三项,发表论文100多篇。
门诊时间:
每周一上午 肝胆外科·甲状腺门诊
每周二上午 肝胆外科·甲状腺门诊

肝胆胰脾外科 李国林 副主任医师
医学博士,硕士生导师,副主任医师,全国胰腺青年精英俱乐部成员,现任广东省临床医学学会肿瘤微创诊疗专业委员会秘书兼青年副主委,广东省健康管理学会胰腺病学专业委员会青年副主委,广东省抗癌协会胰腺癌专业委员会青年委员,广州市医师协会普通外科微创专业医师分会委员。
专长:专注于肝胆胰疾病的诊断、微创手术治疗以及中晚期肿瘤的个体化综合治疗;是国内较早参与开展肝胆胰微创手术的成员之一,参与了广东省多个腹腔镜肝胆胰“第一例”手术,在结直肠癌肝转移的精准外科治疗、肝胆胰恶性肿瘤的根治性清扫、良性(低度恶性)肿瘤的器官功能保护手术方面积累了较多的经验,目前能常规开展腹腔镜胰十二指肠切除、腹腔镜(保脾)胰体尾切除、腹腔镜肝切除、腹腔镜脾切除+贲门周围血管离断、腹腔镜胆道探查取石一期缝合胆管等高难度手术。
曾获第二届广东省腔镜基本技能大赛亚军及缝合打结单项冠军;中国普外科青年医师和基层医师手术规范化视频比赛分站冠军;广东医师协会“肝切除术围手术期管理”大赛亚军;两次晋级中华医学会金手指手术视频大赛全国总决赛。
曾获“中山大学优秀临床教学管理人员”、“住培优秀带教老师”、“叶任高-李幼姬”临床医学优秀中青年教师、“本科优秀临床教师”等称号。目前主持国家自然科学基金项目1项,在国内外专业期刊发表论著30余篇。
门诊时间:
每周二上午 肝胆胰微创专科门诊
每周四上午 肝胆胰外科门诊