时间一晃,柯女士离自己染上肺结核后已经过去十多年了,十多来年,治疗的路上磕磕碰碰,走过的弯路不少。其实最开始的时候柯女士并不是肺曲霉菌病,只是普普通通的感冒,那些年因为夫妻关系不和睦,经常和丈夫吵架,拖着拖着也就没有治疗。后来有一次和丈夫吵了一次架之后,就独自一个人去了外地,当时在外地的麻辣烫店工作,这种店子大家应该都知道,环境本来就不这么好,工作环境不通风,食品的卫生也不合格,这让她当时的感冒雪上加霜,而且她本来气管就不怎么好,然而就在这种情况下,他还去了她患有肺结核的朋友家里休息,在自己不知情的情况下,被传染了肺结核。

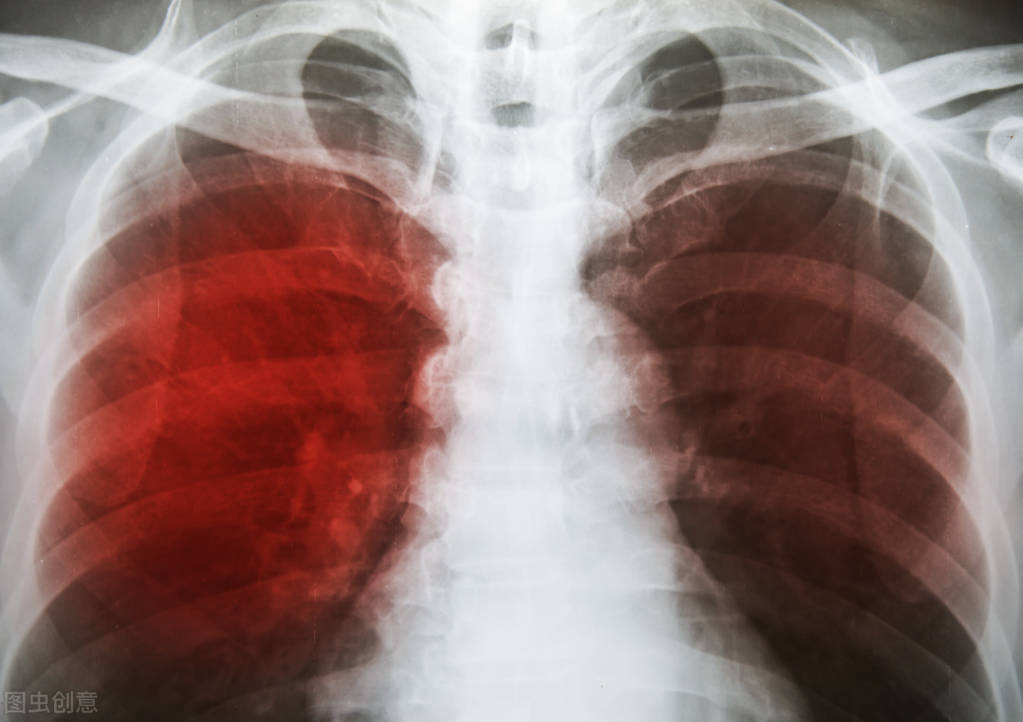
她患上肺结核的时间是在08年,当时她家里人都说医疗水平提高了,这种病都算小病了,只要配合医生随便就治好了。柯女士来到了当地的结核病医院治疗,他的病情比一般人要严重很多,除了肺结核常见的发烧咳嗽之外,肺部影像上还显示她的肺部有很大的空洞,连着三个月,每天就是吊药水,吃药,渐渐地她也从一开始的发烧走不了路,一直咳痰的症状中脱离出来了。出院回家之后,开始保守治疗,边打针边口服抗结核的药物。

因为家庭的条件不怎么样,在出院后的半年,柯女士就开始出去上班了,在一家宾馆做客房员,在一次收拾床单时,突然吐了一大口血,但由于家庭条件原因,她没有第一时间去医院,直到后来又吐了几次血,这不去也得去了,没想到这次去医院直接吃了个闭门羹,县医院那边说,他们这不收治,建议她直接去省结核医院。但是他丈夫却是个死脑筋,就认准了他们县里的医院,找了很多的人才住上了院。
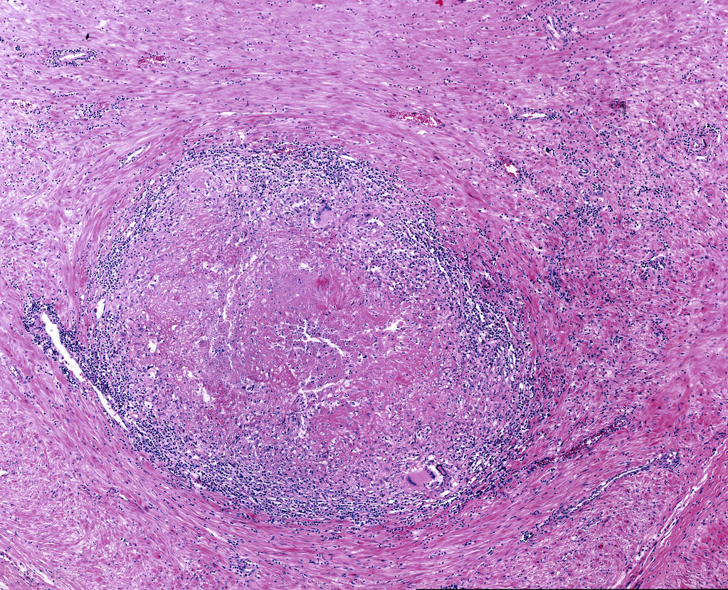
随着年龄的增大,柯女士咳血的次数越来越频繁了,第二次治疗结束后,再次复查的结果,出乎他们的意料,本来他体内的肺结核病灶就已经开始钙化了,而且空洞也在变小,但是这次复查却显示,肺部出现了大量的曲霉血菌球,碍于县里面的医疗水平,这种病是很罕见的,加上家庭经济实力有限,最后去了省里的结核医院治疗。

经过熟人介绍,他们选择了一名比较出名的内科大夫,在医院住了两个多月的时间,治疗的方法当然还是按照肺结核那一套,而她肺里面的曲霉菌却没有相对应的治理方案。偶然之间,她的女儿陪着她在医院周边住宿,柯女士在和旅店的老板闲聊,这次闲聊中,她得知了老板也有一个朋友和她的情况一样,他朋友后来直接就通过手术把这些有病变的肺组织给切了,现在恢复得很好。
通过老板的介绍,在做了一段时间的肺结核治疗后,准备安排肺部切除手术,由于柯女士的情况比较特殊,在这次手术前,医院的内科大夫还进行了联合的会诊,柯女士的主治医生劝她不要做手术,如果出意外了,到时候的情况可能还不如现在。但是当时柯女士满脑子想的都是尽早切除肺部坏掉的组织,态度很强硬,最后还是把手术给做了。一系列的治疗下来,除了花了很多钱之外,柯女士也遭了很多罪,但在术后大概七天她又吐血了,当时大夫来查房的时候说应该没有太大关系正常。

出院之后就回家调理了,本来得了肺结核的人的呼吸就会出问题,再经历了一场手术,柯女士的身体变得越来越差,稍微受点凉可能就会感冒,但是她心里仍然认为,只要切掉了病灶一切就还好。是还好,可也就刚出院的那几天还好,后来又开始吐血,吐血的量从痰中带血丝到一碗一碗地吐,吐血的间隔也变得越来越短,期间她去复查过好几次,主治大夫说柯女士这种情况很少见,可能是被之前县医院的治疗耽误了病情。
没办法,她又一次踏上了治疗的道路,这一次他们去了省里面的两家大医院,外科和内科以及介入科都咨询了,外科大夫说可以再做一次手术切除病灶,介入科大夫说目前情况没有办法介入,只有等她出血的时候才能找到出血的点,但这两种情况柯女士都不是很赞同,她做完手术才多久啊?,身体还没完全康复,再做手术肯定受不了,假如把出血点堵住并不能解决实际性问题。最后她们打算去大城市看,没想到在老家很棘手的病,在这里医生一眼就看出来了。

最后在这里给大家提个醒,得了肺结核千万不要拖,拖得越久,不仅是治疗费用越拖越多,而且在这其中还会被许多的其他疾病找上,比如柯女士就感染了曲霉菌。另外看这种疾病,如果你觉得当地的医院没有这个能力,最好就去大城市,两者之间的医疗水平是不在一个档次的,可能会让你少走很多的弯路。
一、为何肺结核仍然在世界各地流行
好像一直以来,肺结核给我们的感觉就是距离我们极其遥远的,那天我和几位朋友聊到了肺结核相关的事情的时候,他们甚至还以为结核病已经被我们消灭了,真是让人哭笑不得。那关于结核病,它真正的事实是什么呢?其实肺结核一直活跃在我们的身边,你如果稍微不注意的话,它可能就会突然跳出来,可能如柯女士这般,庆幸的是,柯女士的病并没有大规模的传染。但是不知道大家知不知道,去年的十月份,江苏某大学20多名同学感染的新闻。

接下来带大家了解一下全球范围内的结核病流行情况
目前全球大约有四分之一的人感染了结核病,当然这四分之一的人里最后可能只有5%到15%的人会演变成活动性的结核病,其中绝大一部分虽然感染了结核,但是却不会出现任何症状,这种类型的结核不具备传染性,下面给大家看看世卫组织的一项报告:
2019年一年之内,结核病患者超过1000万,因为结核病而死亡的人数高达140万,位列人类十大死亡原因之一。其中有8个国家的结核病患者占到了总数的三分之二,我国以8.4%位于第三,排名第一的是印度,占比数高达27%。
但那同样有一点是不可否认的,就是这么多年下来,我们在抗击结核病这方面已经取得了很大的成就。在2000年到2019年的这段时间内,挽回了超过6000万名结核病患者的生命。而且在世界范围内,结核病的发病率每年都在下降,15年到19年的五年时光里,发病率就下降了9%。
每个国家的所有年龄段中都存在结核病患者,2019年的1000万结核病患者中,其中男性占到了560万,除去另外320万的女性中,还有120万的儿童,是的,你没看错,儿童同样也是会患上结核病。

结核病的污名化
我们对结核病的污名化助力了它的流行,在过去,结核病常常是多发于家庭内部,一人发病了就会有数人跟着发病,这样一来,很容易就会让人认为这时一种遗传性疾病。在封建年代中,结核病会被人误认为是存在于家庭中的祸根,可能家族里的几代人都会受到别人的非议。更有甚者,他们会认为结核病的来源就是女性。
即便是到了现在,我们已经知道了结核病是一种传染病,但是还是有很大一部分人对它有错误认知,对他的某些污名化仍然根深蒂固。就拿世界上结核病患者最多的国家印度来说,曾经有相关专家做过一项调查,他在印度地区招募了20名成年的女性结核病患者,她们在被问到是否会告知新郎自己患病时,20名女性的答案几乎一致,她们担心自己会因为这种病被男方抛弃。和那些年龄较大的女性相比,这类年轻的未婚女性更容易遭受别人的非议。
除此之外,我们对结核病还有一个错误的认知,就是认为它与贫穷有关。因为结核病中有百分之九十五的案件和死亡都是在发展中国家,所以大部分人就将它与贫穷划上了等号,认为只有穷人才会得结核病。这当然是一个错误的观点,我们现在能看到很多并不贫穷的人患上肺结核病的。

它作为一种传染病,并不是你有多么有钱就能远离它的,真要遇上了你也逃不脱。但是有一点不可否认的是,如果你是体质较差的,或是居住环境较差的话,的确会为结核病的传染提供便利,这也是为什么会有人将它与贫穷挂钩了,这加深了人们对它的刻板印象。
也正是这些错误的认知,患者可能会因为害怕被人歧视不愿看医生,最后错过了最佳的治疗时机,最后可能会使得疾病加剧,传染给周围的人,而自身可能也会因此而死亡。要知道肺结核一旦发展到晚期,最后治疗的效果可能就不会太好,很多手段在这时候都会大大降低。另外,也是因为这些“污名化”,让患者不愿去坚持治疗,肺结核的治疗周期很长,也很容易被周围人发现,多数人跨不过这条心理障碍,肺结核这类的结核病如果不接受定期治疗的话,很容易就会产生耐药性,可以说污名化无疑是导致结核病流行的罪魁祸首。
我们国内的结核病形势如何?
看了世卫组织公布的数据之后,我们不难发现,我国的结核病不管是发病率还是复发的概率都在逐年下降,虽然这是一个很值得高兴的数据,但是结核病的整体形势并不值得乐观,我们需要从以下2点来考虑。

1、患病的基数大,各地分布不均匀
如果你看了前面的内容就会知道,我国结核病患者的人数都是位于世界前列的。根据第四次全国结核病流行病学抽样调查报告发现,保守估计,我国有5.5亿的患者感染了结核杆菌,虽然说这些结核杆菌并不具备传染性,但是却像是一个定时*弹炸**,可能随时就会被引爆。除了艾滋病之外,结核病是我国致死率最高的传染病,各个地区对结核病的控制程度也不一样,我国发病率高的省份和最低的省份之间差了十多倍。
2、大众对它的认知不足
众所周知,一个传染病的防控是要全民一起来参与的,因为只有这样才能够提高人们对它的认知,但是就目前来说,我国人民对结核病的认知还有待提高。这点我们从09年的一项调查中就可以发现,6.9万人里面。只有89%的人知道这个病,但是深入了解的仅仅15%出头,其中还有绝大一部分人对结核病有错误的认知,及我上面说的污名化。即便是到了10年之后的2019年,再次做类似调查的时候,情况也没有得到好转,因此在防控结核病这条路上,我们还有很多路要走。
二、深入了解肺结核,看它是如何致病的
导致肺结核的主要的罪魁祸首就是结核杆菌,那他是如何让我们生病的呢?
肺结核的传染源?
结核杆菌可以分为牛结核杆菌和人结核杆菌,但是在我国,牛结核杆菌造成的感染案例少之又少,所以这里我们主要要讲的就是人结核杆菌。顾名思义,结核杆菌的主要传播方式就是人,而传播的途径则是通过呼吸道传播,几乎所有能从呼吸道排出结核杆菌的人都是行走的传染源,这类型又叫做活动性肺结核患者。
但是要注意的是,这类患者在做痰涂片的时候,不一定能从上面找到结核杆菌,可能仅仅表现为患者身体出现发热、咳嗽、咯血、乏力、消瘦的症状,亦或是胸部ct的影像显示边缘模糊不清的斑片状阴影或空洞。如果拍出来的胸片上面仅仅表现为钙化或者硬结的时候,在做完三次痰涂片仍然显示为阴性的话,那么这就是无活动性肺结核,这种类型的肺结核不具备传染性,这也是大部分的结核杆菌携带者所处的类型。一般来说虽然活动性肺结核患者在做痰涂片时能被检测出阴性的,但是检测出阳性的患者传染性要更强。

结核杆菌的传播方式?
结核杆菌的主要传播方式就是空气传播,患者在咳嗽、打喷嚏甚至是说话的时候,体内的结核杆菌都会通过呼吸传播到空气当中。这些进入到空气里的结核杆菌能够存活6个小时以上,作为一种下呼吸道疾病,只要我们吸入了携带结核杆菌的飞沫,当它经过上呼吸道到达肺泡后,就会发生传播。
以空气传播的方式,在室外发生传染的几率较小,因为在一个开放的空间里,它会被无限稀释。所以往往那些封闭的室内环境才是结核杆菌的主要传播场所,这其中最主要的就是人口密集的公共场所(医院、诊所、工厂、监狱等等),当然像地铁、公交车之内的公共交通也包括在其中。
吸入多少结核杆菌才会发生感染呢?
这个问题主要与患者自身的身体条件有关,这里我们拿豚鼠来举例,当感染者本身完全没有免疫力或是具有完全的易感性的时候,可能只需要吸入一点就会造成感染。但是人和人之间的抵抗力强度都是不同的,因此对结核杆菌的感染力也存在变化,所以目前很难评估到人体到底要吸入多少结核杆菌才会造成感染,即便如此,那些身体好,免疫力强的的人并不会每一次吸入结核杆菌后都会造成感染,由此可见锻炼的重要性。

结核菌进入人体后会发生什么?
由于常年与细菌作斗争,我们的普通气道早已经被锻炼的一身铜皮铁骨了,结核杆菌一进入基本上就会被杀死。但是结核杆菌也不是吃素的,既然在这里待不了,那就去别的地方。于是它就一路往下,最后到达肺泡这个世外桃源。
而这里就不得不提一提人体的巨噬细胞了,这是我们体内一种很重要的细胞,是人体免疫系统的先锋军,可是与其他细胞不同的是,他不是很能干,只有当它占据了绝对的优势时,才能够消灭感染,不然的话,可能会成为结核杆菌生存繁衍的温床。
结核菌有很多手段来躲避巨噬细胞,它本身就能够抑制巨噬细胞的生长,使其变成适合自己生存的环境。同时还可以抑制巨噬细胞产生活性氧,活性氧是巨噬细胞杀灭结核杆菌的主要手段,它如此多的手段,能够安安稳稳的生活在我们人体内。

如何预防结核杆菌感染
1、儿童接种卡介苗
儿童在接种了卡介苗之后,会提高身体的抵抗力,但是也不要掉以轻心,前面就说了,结核菌逃避免疫系统的方法有很多,即便是接种了疫苗,在面对结核病人时也要做好相应的隔离。另外要注意的是,卡介苗并不具备终生免疫的作用,新生儿在接种之后大概到了15岁抗体就会消失,而且卡介苗对成年人的效果较差,因此成年之后接种卡介苗一般是不主张的。
2、戴好口罩
如果你要去医院,或者是要与结核病患者交流的话,一定要佩戴好口罩,如果自己本身就是肺结核患者的话,也一定要带好口罩。
3、勤通风
前面说了肺结核主要的的传播场所就是密闭的空间之内,因此一定要加强室内的通风,避免结核杆菌的传播。