相信很多人都有一个毛病,长了痘痘会忍不住想要去挤,挤出白色分泌物的时候会感到无比的酸爽。往往我们挤痘痘的时候是在痘痘消退的过程中,大力的挤压或者使用的工具没有消毒好的话(例如用手挤)会伤及皮肤真皮层,使真皮层胶原蛋白受到缺失。
如果手法太过“残暴”的话,会导致皮肤组织的局部坏死,痘痘周围的正常皮肤组织也会受到殃及,新的细胞没办法继续生长顶替旧的细胞,这就形成了恼人的痘坑。

市面上的涂抹的药物对于痘坑作用是有限的,这是因为可以把痘坑理解成在*疮痤**后产生的瘢痕结构,这时候其实需要很强的方法去对于局部的胶原产生破坏,然后胶原重塑才能够达到治疗的效果,也就是所谓的不破不立。往往在市面上的一些所谓的涂抹可以改善痘坑都是不切实际虚假宣传。
这篇文章是专门介绍医美手段治疗痘印和痘坑的,因为这是疗效明确的治疗手段,加之前面一篇治疗痘痘的,那就是一个一站式解决痘痘、痘印和痘坑了,希望能给大家带来帮助。有图有真相!
痘坑的治疗方法有如下这些:
1. 各种点阵激光,包括剥脱性的超脉冲二氧化碳点阵激光和铒激光(2940nm),非剥脱性的点阵激光,主要是各种近红外线和中红外线点阵激光:1320nm(cooltouch)、1440nm+1320nm双波长(赛诺秀的affirm),1540nm(帕罗马时光机)、1550nm、1927nm双波长(FRAXEL)、1565nm(王者之冠多功能平台)等等。

这些点阵激光都是利用激光对组织的热损伤作用,启动组织的自我修复过程、刺激真皮层胶原蛋白重构和新生从而使痘坑慢慢平复的。
超脉冲二氧化碳点阵激光一般建议3-6个月做一次,通常需要2-3次治疗,严重者或者病人期望值高者也可以做5次治疗。铒激光一般2个月治疗一次,一般需要3-5次治疗。各种非剥脱点阵激光一般需5次以上治疗,间隔1个月1次。

2. 点阵射频:射频的电流通过点阵状分布的针来发射。有从皮肤表面发射的点阵射频(赛*龙诺**公司的EMATRIX和VENUS CONCEPT公司的VIVA),针进入真皮层内后再发射的点阵射频(以色列BODYTITE),还有既可以从皮肤表面发射又可以进入进皮内发射射频能量的以色列ENDYMED3D相控点阵射频, 韩国LUTRONIC INFINI点阵射频。
点阵射频本质上还是高频电磁波,主要是通过加热真皮层内的水分子,快速摩擦生热从而刺激胶原新生,逐渐平复痘坑。
不同点是皮肤表面发射的点阵射频会有结痂,一般5-7天脱落,脱落后红斑不明显,极少产生色素沉着。针进入真皮层内发射的点阵射频一般没有结痂,术后仅有3-5天红斑,微微肿胀。只要接触良好,能量不过高,基本没有色沉风险。一般需3次以上治疗,间隔1-2个月1次。

3. Plasma(等离子体):它不是激光而是通过等离子能量来刺激真皮胶原蛋白新生,重新塑形作用,不受表皮色素影响。治疗后红肿、结痂,皮肤反应比超脉冲二氧化碳点阵激光稍轻,但治疗疼痛反应不比超脉冲二氧化碳点阵激光轻多少。一般5次左右,间隔2个月1次。术后红斑常见,一般10-15天左右消退。
4. 微针:通过带针滚轮对真皮层的机械刺激结合生长因子刺激真皮胶原新生,一般需要治疗5次以上,1月1次治疗。可以和各种其它方法联合治疗。
5. 皮下分离术:最适合滚轮型痘坑。滚轮型痘坑表皮并没有缺失,而是皮下组织纤维化的拉扯力导致皮肤凹陷。
因此可使用特殊针具将组织纤维化的拉扯力切断,让皮肤能不受拉力重新修复排列,同时也利用创伤后组织的自我愈合、胶原新生,促进萎缩性瘢痕(痘坑)恢复。很容易很其它各种治疗方法联合治疗,联合时通常先进行皮下分离术,再做其它治疗。

6. 强脉冲光、脉冲染料激光:特别适合初期红色的浅表萎缩性瘢痕(凹陷性痘坑)。
7. 注射填充:注射玻尿酸、左旋聚乳酸等。
8. TCA CROSS(三氯醋酸皮肤化学重建术):利用百分之五十到百分之百浓度的TCA CROSS(三氯醋酸)外用在痘坑局部,刺激真皮层胶原新生,1到3个月治疗一次,通常需要3到6次治疗。多数人可以取得50%以上改善。
风险为色素异常(局部颜色加深或者变白),多数人一过性,少数人持续性。部分痘坑刚掉痂时痘坑看起来加深了,过段时间再慢慢变浅。另一个风险是少数相邻瘢痕融合导致外观变大。
总体上来说它是一种经济,安全,有效的方法,也有人认为它风险可控性不高。它是一种中等层次的化学剥脱剂,高浓度时可以达到真皮深层。另外高浓度甘醇酸如70%浓度多次治疗也可改善痘坑,这些方法切不可脑子发热自己做,否则可能导致毁容。

方法这么多,可能大家都看花了,接着我们讲下不同痘坑治疗方案的选择。
多数人的痘坑是有多同形态同时存在的,因此最好的治疗方法是根据凹坑形态结合相应最优的治疗方法。通常来说滚轮样痘坑治疗效果是最好的,后面接着是浅厢车状、深厢车状,冰凿样疗效最差。
下面是痘痘形态的治疗方法选择
滚轮样痘坑:各种点阵激光(以二氧化碳点阵和 铒 激光点阵为主)、点阵射频,皮下分离
浅厢 车状:各种点阵激光、点阵射频、TCA,也可以结合皮下分离
深厢车状:二氧化碳或铒激光点阵联合超脉冲二氧化碳或铒激光磨削或结合皮下分离或TCA
凿冰样:痘坑局部TCA,或者痘坑局部磨削联合面部高浓度果酸、微针或者点阵激光的综合治疗。
最后经历过痘痘、痘印、痘坑的治疗,大家都成为最为坚韧的“战痘士"了,相信一句话:付出就有回报!
接着上图了:

疗前 3次强脉冲光治疗后痘痘、痘印明显好转

手欠,扣了之后的,痘印个头大,颜色深,强脉冲光治疗后恢复也慢,4次治疗
四次果酸治疗后黑褐色痘印基本消退,仅有几颗晒斑

二次30%水杨酸治疗后褐色痘印改善

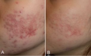
2次脉冲染料激光治疗后痘痘和红色痘印显著好转

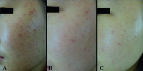
两次点阵射频(lutronic INFINI)治疗后红色痘印和浅表痘坑显著好转)

5次1550点阵激光治疗后红色痘印和坑痘好转

3次点阵射频治疗后4周

两次超脉冲二氧化碳点阵激光治疗后2月
如果文章对你有用,觉得好,点个赞哦!