今年遇到两位晚期肝癌的患者,都是从农村老家过来的长辈,乏力、不爱吃饭一个多月,一个是14厘米,一个是16厘米的巨大肿瘤,并且广泛转移了。
结局也很遗憾,一个活了45天,另一个仅仅活了23天,这是晚期中的晚期。所幸走得不算痛苦,从感觉到癌性疼痛到死亡,都是一周左右的时间。
原发性肝癌,在我国的恶性肿瘤发病率中排名第四,在肿瘤致死率中排名第三,很可怕!
但随着肿瘤治疗技术的提升和完善,实现长期生存的肝癌患者其实也越来越多了,只是不要等到肝脏都长满了肿瘤才治疗。
本篇介绍一例生存5年以上的晚期肝癌患者,希望对大家有所启发!星星之火可以燎原,期待以后出现更多的奇迹。
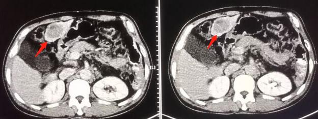
病例:男性,48岁,乏力,间断性右上腹痛1年

肝右叶肿块,中心有坏死,符合肝癌,已经8cm了,综合考虑后选择了介入治疗。
先后做了3次TACE(经导管肝动脉化疗栓塞),显示肿瘤明显缩小:

复查增强CT,发现有部分存活的肿瘤组织,又联合了射频消融治疗,再次复查肿瘤继续缩小,肝右叶萎缩,肝左叶代偿性肥大,AFP(甲胎蛋白,原发性肝癌的重要肿瘤标志物)也恢复正常:

该患者已经生存了接近5年。
关于TACE
肝动脉化疗栓塞(TACE)是通过栓塞肿瘤供血动脉,阻断肿瘤血供,使肿瘤缺血缺氧,达到杀灭肿瘤细胞或抑制生长的目的。肝癌组织95%以上是由肝动脉供血,所以肝动脉局部化疗效果非常好!局部药物浓度较全身化疗高达数十倍,并且全身不良反应少。
但是有一部分病例会复发,复发的原因可能是存在某些寄生动脉、变异动脉,或由少许门静脉供血肝癌组织。所以术前常常需要做一个多层螺旋CT的血管成像,找出肿瘤的所有供血血管,有的放矢地进行栓塞;有些病人还需要配合射频消融治疗,降低复发几率。
下面是另一个长期生存的病例:

男性,51岁,乙肝多年,乏力、腹痛1个月,肝左叶肝癌

肝动脉化疗栓塞术后5年,无复发征象。但患者肝硬化进展,肝功能减退,出现少量腹水