10岁患儿脑干星形细胞瘤瘤内出血致早期脑积水头痛呕吐嗜睡,李小勇脑脊液科控制脑积水下切除肿瘤,气管切开至封闭后,身体渐变完全健康
患者女10岁,山西省大同市人。
一、李小勇脑脊液科入院前病史
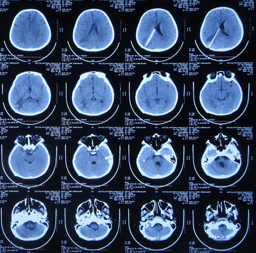
患儿于2022年10月10日,无诱因出现颈部疼痛,伴恶心呕吐、精神差,当时意识清楚,没有就诊,5天后即2022年10月16日,凌晨再次出现恶心呕吐多次,精神差,变得嗜睡,能被叫醒,就诊于山西省大同市浑源县某医院,查颅脑CT( 图-1 )示“小脑出血”,给予止血对症治疗。

图-1: 2022年10月16日颅脑CT上午11点
家属当天决定了直接到北京北亚骨科医院的李小勇脑脊液科治疗。
二、李小勇脑脊液科治疗过程和结果
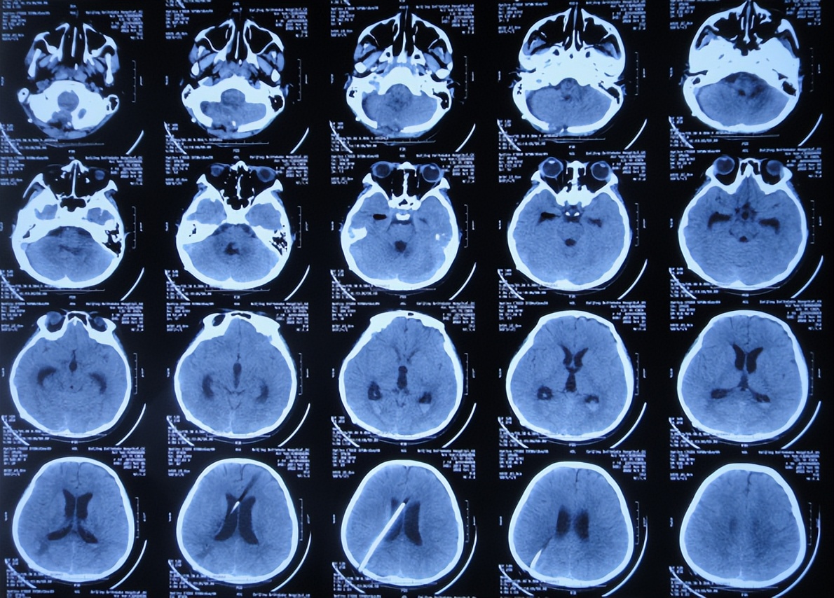
2022年10月16日(小脑出血当天晚上)住入李小勇脑脊液科。入院时:嗜睡,能被叫醒;时有恶心呕吐( 图-2 )。查头颅CT示小脑出血,脑室有扩张( 图-3 );肺部感染( 图-4 )。

图-2: 2022年10月16日入院时

图-3: 入院时颅脑CT晚上8点

图-4: 2022年10月16日肺部CT
当天进行了脑室腹壁外引流术( 图-5 )。

图-5: 2022年10月17日术后颅脑CT
进一步检查颅脑血管造影( 图-6 )和颅脑核磁增强( 图-7 )示延髓偏后方占位伴延髓损伤,考虑中线胶质瘤伴出血可能性大。

图-6: 2022年10月17日颅脑血管造影

图-7: 2022年10月17日颅脑核磁增强
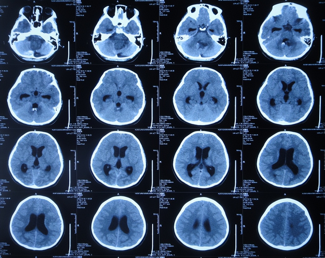
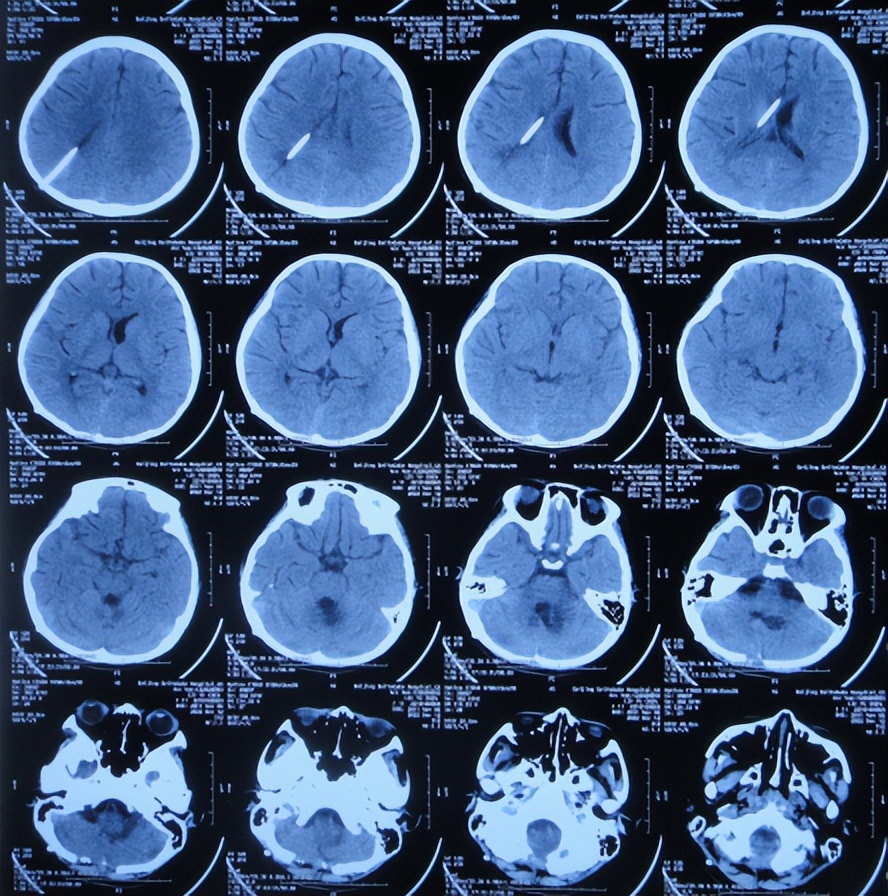
但脑室腹壁外引流术后2天即2022年10月19日,患儿症状并未明显减轻,查颅脑核磁示脑室有缩小( 图-8 ),计划明日进行脑瘤切除术。

图-8: 2022年10月19日颅脑核磁增强
2022年10月20日(住院治疗4天),进行了正中入路延髓占位切除术( 图-9 );术后不能拔除气管插管,转入重症监护病房。

图-9: 2022年10月20日颅脑CT
2022年10月21日(住院治疗5天),两侧引流出脑脊液颜色不同:一侧血色,一侧淡黄色引流管壁内有少量血色脑脊液( 图-10 )。

图-10: 2022年10月21日
术后3天即2022年10月23日,病理回报示星形细胞瘤(胶质瘤中的一种)2级。
2022年10月28日(住院治疗12天),一侧引流出的脑脊液仍是血色,但脑脊液量变少( 图-11 )。

图-11: 2022年10月28日
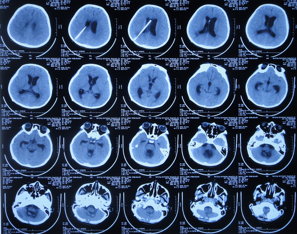
2022年10月30日(住院治疗14天),头痛加重,查颅脑CT示脑室又有扩张( 图-12 );肺部感染( 图-13 )。

图-12: 2022年10月30日颅脑CT

图-13: 2022年10月30日肺部CT
2022年10月31日(住院治疗15天),进行了脑室腹壁外引流管调整术( 图-14 )。

图-14: 2022年10月31日颅脑CT
继续治疗1个月,治疗期间脑脊液化验蛋白一直挺高,因不能拔除气管插管于2022年11月1日,进行了气管切开术;2022年11月6日转回普通病房;期间痰培养示肺炎克雷伯肺炎,给予对症治疗。
2022年12月12日(住院治疗57天),颅脑CT示脑室引流术后状态( 图-15 ),给予夹闭引流管。

图-15: 2022年12月12日颅脑CT
但夹闭5天后即2022年12月17日,患儿出现不适,查颅脑CT示脑室有扩张( 图-16 ),打开引流管。

图-16: 2022年12月17日颅脑CT
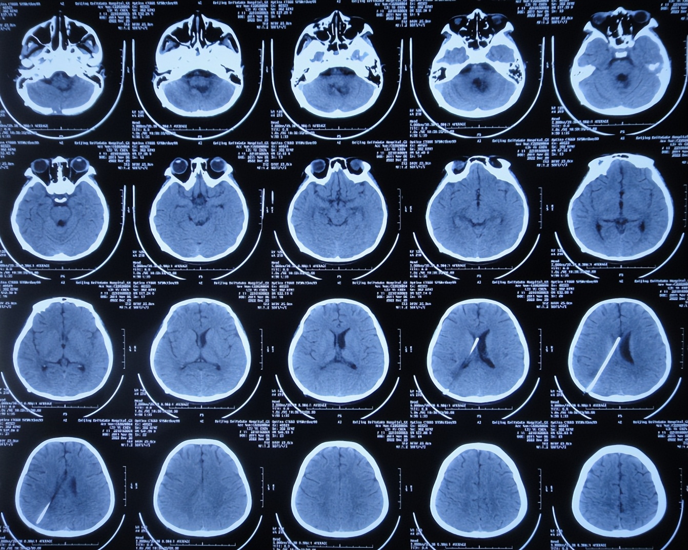
2022年12月20日(住院治疗65天),查头颅CT示脑室缩小( 图-17 ),肺部CT示感染好转( 图-18 )。

图-17: 2022年12月20日颅脑CT

图-18: 2022年12月20日肺部CT
2022年12月27日(住院治疗72天),进行了脑室腹腔分流术。
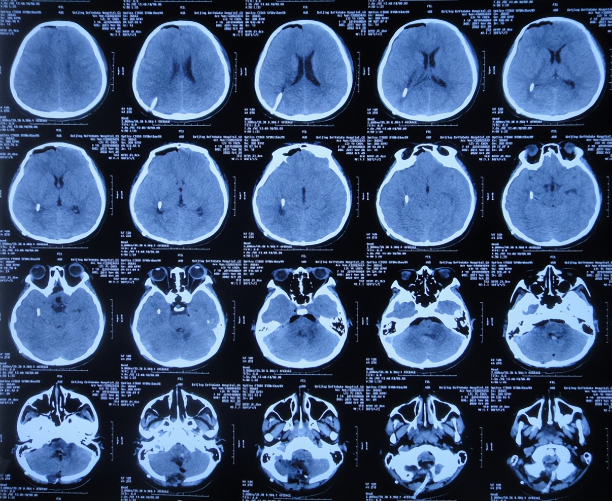
2023年1月9日(住院治疗85天即脑胶质瘤切除术后81天)出院,出院时:意识清楚,头痛恶心完全消失,自己走路不稳( 图-19 );出院时肺部感染变好、颅脑CT示无异常( 图-20 )。

图-19: 2023年1月9日出院时

图-20: 出院时颅脑CT
三、出院后随访
出院后5个月即2023年5月,家属发来视频:孩子身体变完全健康正常,走路、蹦跳、蹲起均正常( 图-21 )。

图-21: 2023年5月