
预防龋齿
该涂氟还是窝沟封闭?
“
把宝宝的蛀牙扼杀在摇篮中是每个宝妈的梦想。然而残酷的现实告诉我们,我国10个孩子中有7个都有蛀牙。
某牙医在博客发布了个史上最恐怖案例:男孩5岁,爷爷奶奶带,1岁起每天3瓶可乐,每天睡前一大杯牛奶,从来不刷牙。结果是20颗牙,8颗烂得只剩牙根,6颗齐根折断,不仅吃饭成了难题,现在就连话都说不清。
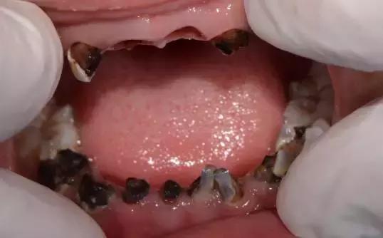
下图高能,怕不舒服请别看

稍微好点的案例有,不过恐怖指数也很高了。。。
下图高能,怕不舒服请别看

上面两种基本都只存在于很落后的农村偏远地区,而下面这种在大城市都很常见了。

主要还是父母认为,反正都是乳牙,迟早会掉的,蛀牙了也没关系。
预防蛀牙,从宝宝做起。该涂氟就涂氟,该窝沟封闭就及时窝沟封闭。
涂氟
涂氟,就是牙医生用一种含氟的物质,对每一颗牙齿表面进行氟化处理。氟化物可以抑制细菌生长,阻止残余食物发酵,所以预防龋齿非常有效。
涂氟在国外早就开展40多年了,临床是经过考验的,所以就不要再问有没有风险,会不会把娃毒死这种笨问题了。

怎么做?
- 牙医将带有果味的氟化物涂到娃牙齿表面,只需1分钟。不会让宝宝有任何痛苦,特别是对刚长出的牙效果更佳。
- 涂氟后半至1小时,娃不要喝水、喝饮料以及吃东西、漱口就行了。
涂氟的好处
1、坚固牙齿:对娃刚萌出的牙齿加强钙化,使它们变得坚固,可预防牙齿发生不完全钙化。
2、修复蛀牙:如果乳牙发生早期龋齿,涂氟后可有再钙化的作用。因此,有修复龋齿的作用。
3、减少过敏:很多娃对冷、热、酸等味道的食物过敏。涂氟后可防止牙本质发生过敏。
年龄和频次
涂氟常用于乳牙,可以从娃3岁起,每半年到牙科做定期回诊,同时做全口牙齿涂氟,直到6岁。频次嘛,一年一次保本,半年一次最佳。

什么娃不能涂
对树脂或其他任何成分过敏,溃疡性牙龈炎,口腔炎, 支气管哮喘的宝宝禁止涂氟。
窝沟封闭
窝沟封闭是目前国际公认的,预防磨牙咬合面生龋齿的最有效办法。是世界卫生组织推荐的预防蛀牙方法。
窝沟就是磨牙咀嚼面上的凹坑和裂隙,细菌和食物容易藏在这里。

刷牙、漱口等方法很难深入窝沟,因为70%-80%以上的龋齿都发生在窝沟。只要把窝沟部位保护好,就会大大降低娃得龋齿的可能。

医生用一种树脂类的物质,把“六龄牙”(6岁长出的第一个恒磨牙)面上的裂隙或较深的窝填平。


当然,乳磨牙也可以做窝沟封闭。
年龄和频次
最理想的情况下(尤其是龋齿风险比较高的娃,例如窝沟深的),窝沟封闭应该做3次:
乳磨牙在3-4岁时做1次,
第一恒磨牙(“六龄齿”)在6-7岁做1次,
双尖牙和第二恒磨牙在12-13岁做1次。
不然呢,那起码“六龄齿”(恒牙)长出后做一次,这是最基本的!
过程如何,痛不痛
做1颗第一恒磨牙一般只需要10分钟左右,整个过程不超过30分钟,娃张嘴配合医生操作即可。因为不需要磨除牙体,所以是不会有任何痛苦滴,也不会之后有异物感。

窝沟封闭步骤
会不会有毒有害?
封闭材料是无毒高分子树脂材料,对身体完全无害,即使吃进肚子里也可以排出,不会对身体造成任何危害。
注意事项
娃在操作过程中如果口水多,或者以后窝沟封闭剂脱落,家长又没有及时发现,那就会呵呵哒。
所以家长平时可以检查一下,间隔半年到1年定期去医院复查。
两者区别
处理方式不同
牙齿涂氟,就是用一种含氟的物质,对每一颗牙齿表面进行氟化处理。
窝沟封闭就是医生用树脂类的物质,把磨牙咀嚼面上的裂隙或较深的窝沟进行封闭,防止食物残渣和细菌藏匿其中。
时机不同

孩子长牙之后就可以涂氟,并且会根据年龄控制涂氟的量,要听从牙科医生的建议,根据孩子牙齿的具体情况来定。
关于窝沟封闭的时机,应在磨牙完全萌出,尚未发生龋坏的时候进行。乳磨牙3-4岁,第一恒磨牙6-7 岁,第二恒磨牙11-13岁,前磨牙9-13岁
过程不同

PK

各有优势

PK

涂氟和窝沟封闭哪个效果好?
两者各有侧重。
涂氟适用于全口牙齿,而窝沟封闭主要针对磨牙(包括乳磨牙和恒磨牙),因为磨牙最容易发生龋坏。
建议家长们听从牙医的意见,在不同时期为孩子做针对性的预防措施。


康贝佳口腔有专业的团队为您服务
让您安心,让您放心
康贝佳口腔医院咨询电话
0512-67873033
苏州康贝佳口腔
关爱牙齿,更关心你
本文部分内容转载于网络,版权归原作者所有
如涉及侵权请告知,本平台会及时做出处理