注意!这是真实事件!
今天的故事,要从新冠说起.......
春天到了,阳光这么好,疫情也好转了,小明再次投入大自然的怀抱!

然而,事情总是曲折发展的。小明和小伙伴们一起骑车游西湖,心情明媚,车速就快了起来,一个急刹车导致自己飞了出去,结果门牙部位先着地了。
朋友们扶起他,告诉他一个不幸的消息:你的门牙被撞歪了!

小明第一时间来到了浙大口腔医院急诊科。
“医生,我这个门牙还能保住么?还能变回原状么?”
医生检查发现,小明的两颗上前牙都被撞倾斜了,向内凹陷,好在松动程度并没有很严重,也没有发现很明显的折断。医生在确定他没有恶心、呕吐、头晕、头痛等颅脑损伤症状后,进一步拍片检查了门牙牙根的情况。
拍片显示, 小明的两颗门牙存在一定程度的脱位,但万幸的是没有出现明显的牙根折断。

医生宽慰小明:“对成年人来说牙齿撞歪以后比较容易伴有牙根的折断,现在牙根没有折断,我们会尽量保住这两颗牙,把它们恢复到原本的位置。”
qiao敲hei黑ban板
牙齿撞歪、撞脱位都是十分常见的牙外伤,需要及时来医院就诊复位。这种牙外伤在患者就诊及时、按时复诊的情况下预后一般都不错,但是还是存在牙根吸收、最终拔除这个牙齿的可能性。”
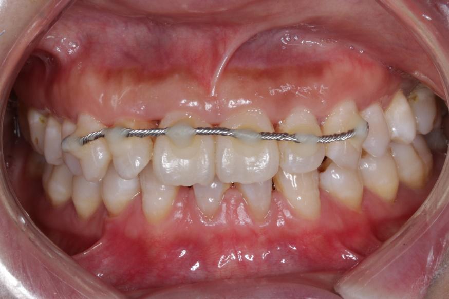
复位是在局部麻醉下进行的,医生试着将小明的门牙恢复到原来的位置,随后对外伤牙两侧的牙齿进行酸蚀,利用树脂以及钢丝对复位的门牙进行固定。在复位固定后,医生还对树脂和钢丝进行了调磨,让它们变的更光滑,尽量减少异物感以及对嘴唇的影响,同时对两颗门牙进行了调磨,减轻患牙的受力。
一阵忙碌后,小明的治疗暂时结束了,撞歪的门牙基本恢复了正常。

复位小贴士
建议不要用门牙吃东西,减轻它们的受力。一般来说需要固定2-3周左右,有的患者可能存在牙槽骨的骨折,这种情况需要额外再固定1-2周左右,固定期间可以正常刷牙,必须保证门牙处的口腔卫生。值得注意的是,门牙在受到外伤之后牙神经容易坏死,可能需要做根管治疗,这个下次复诊的时候会再检查,然后确定需不需要做。
两周后医生为小明拆除了固位的钢丝,两颗门牙基本回到了原来的位置,检查确认门牙的牙髓活力尚存,暂时不需要治疗。

复位的两颗门牙
医生叮嘱
牙髓的活力会随时间而变化,如果出现牙齿变暗变黑,牙齿疼痛,或者是牙龈起包等情况,一定要及时就诊。如果一般情况良好,那么要在4周、6-8周、6个月、1年定期复查,不能懈怠。最重要的是,一定要注意交通安全,千万别再撞伤牙齿了!
小明不好意思地笑了,牙齿真的很重要,以后一定定期复诊,维护好自己的口腔健康。
医生想用小明的亲身经历告诉大家:
遇到事情不要慌,可以先自己拍照留个念。

发生牙外伤时不要着急,首先检查一下是否有头晕、头痛、恶心、呕吐等颅脑外伤表现。如果不存在上述症状,请勿自行复位患牙,尽快到口腔医院就诊。此外,在固定期间应注意避免使用外伤牙,在拆除固定装置之后要定期复查,谨遵医嘱。牙外伤的预后存在不确定性,良好的使用习惯加上复诊习惯,会让外伤牙保留的时间更长、恢复得更好。
作者/浙大口腔医院急诊科 王晓侃