
昨天介绍了踝关节创伤性关节炎,有朋友咨询距下关节炎的诊治问题。今天我们就聊一聊距下关节炎的诊治。
距下关节又称为距跟关节,在跟骨与距骨之间,分前中后三组关节面。前中关节与距舟关节为距下关节前部也称跟距舟关节。跟距关节后部称为“跟距后关节”与前部被跗骨窦及跗骨沟管分开,两者互不相通。
单独的距下关节炎最常见的原因来自创伤,特别是跟骨或距骨骨折后。从简单的反复扭伤到距下关节脱位引起的距下关节不稳也可使患者患关节炎。除了外伤之外,距下关节炎的其他原因包括原发性骨关节炎,继发性关节炎,炎症性关节炎(类风湿、牛皮癣),残余先天性畸形(跟距联合)以及由肌肉不平衡引起的畸形(胫后肌腱功能障碍、腓骨肌萎缩症)。
据报道,创伤性关节炎占距下关节炎的67%,原发性骨关节病占23%,跗骨联合占5.3%,炎性关节病占4.2% 。
50%~100 % 的距骨颈骨折将进展为创伤性距下关节炎。多达17%的关节内跟骨骨折需要第二次手术治疗症状性创伤后距下关节炎。
距下关节炎的主要症状是:在不平整的地面行走时疼痛是距下关节炎患者的常见症状。很多这样的患者疼痛部位就在跗骨窦,并伴有深压痛。距舟关节痛或者跟骰关节痛常见于跗横关节的关节炎。
但是不像其他一些下肢关节,距下关节炎的治疗除了对所累及的关节进行关节融合以外,保守治疗的手段和效果都比较有限。距下关节炎的保守治疗策略包括使用支具和/ 或矫形器、非甾体抗炎药(NSAIDS)、距下关节内皮质类固醇注射剂和活动限制,还可以通过更换更合适的鞋子和改变生活习惯来改善症状。这些措施很少会阻止疾病的进展,但是很多患者会因此推迟手术。
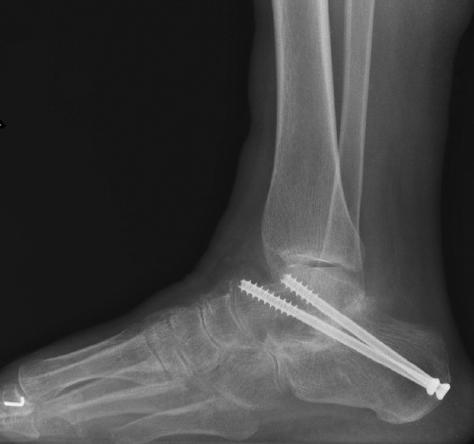
关节融合术仍然是治疗对保守治疗无效的疼痛性距下关节炎的金标准。其主要目标是实现疼痛缓解和恢复后足的力线。当关节炎只存在于距下关节时,对于保留后足运动,减少邻近关节炎发展的可能性,单纯距下关节融合术优于双重或三重关节融合术。单纯距下关节融合术已被证实可将距舟关节运动减少74%,跟骨运动减少44% 。从功能上讲,这导致完全失去了内翻/ 外翻; 然而,踝关节背屈和跖屈,以及通过横行的跖跗关节的部分内收和外展仍然保留。